Найти в Дзене

Воспалилась десна зуба. Причины, лечение.

Десна – это защитная ткань, которая покрывает внутреннюю поверхность зубов и альвеолярную часть кости. Здоровая десна бледно-розового цвета, гладкая, блестящая, равномерно увлажнена, имеет ровный симметричный контур, плотно прилегает и обхватывает каждый зуб. Поскольку десна – это мягкая и подвижная ткань, то она может воспалиться вследствие травмы, микроорганизмов, или изменения костной части челюсти. Воспаление десны может быть локализованным в области одного или нескольких зубов, и генерализованным , при котором десны воспалена в области всех зубов. Воспаление десны называется гингивит. А десна, которая воспалилась между двух зубов, называется папиллит: Десна, которая воспалилась, приобретает красную и ярко-красную окраску, сосуды расширяются, десна становится крупнее, отёчнее, возникает кровоточивость при дотрагивании, контур десны меняется и приобретает сглаженные очертания. Причины воспаления десны у зуба по степени распространённости: Лечение воспаления десны: Способ лечени
Оглавление

Десна – это защитная ткань, которая покрывает внутреннюю поверхность зубов и альвеолярную часть кости.

Здоровая десна бледно-розового цвета, гладкая, блестящая, равномерно увлажнена, имеет ровный симметричный контур, плотно прилегает и обхватывает каждый зуб.
Здоровая десна.
Здоровая десна.

Поскольку десна – это мягкая и подвижная ткань, то она может воспалиться вследствие травмы, микроорганизмов, или изменения костной части челюсти.

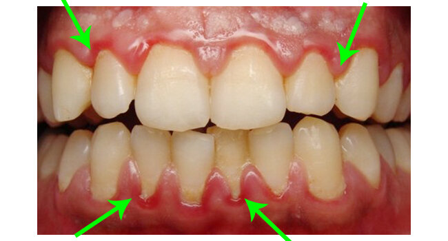
Воспаление десны может быть локализованным в области одного или нескольких зубов, и генерализованным , при котором десны воспалена в области всех зубов. Воспаление десны называется гингивит.

Воспаление десны - гингивит.
Воспаление десны - гингивит.

А десна, которая воспалилась между двух зубов, называется папиллит:

Воспаление межзубного сосочка - папиллит.
Воспаление межзубного сосочка - папиллит.

Десна, которая воспалилась, приобретает красную и ярко-красную окраску, сосуды расширяются, десна становится крупнее, отёчнее, возникает кровоточивость при дотрагивании, контур десны меняется и приобретает сглаженные очертания.

Причины воспаления десны у зуба по степени распространённости:

  • Задержка пищи между зубов. Самая распространённая причина дискомфорта и возникновения кровоточивости десны – это вовремя неубранная пища из межзубных промежутков. Как справляться в такой ситуации я подробно рассказывал в этих двух статьях: «Застревание пищи между зубами. Как справляться?» И «Застревает пища между зубами. Рекомендации, симптомы.»
  • Наличие зубных камней и зубного налёта. Все виды зубных отложений вызывают раздражение и воспаление мягких тканей десны. Такая ситуация приводит к появлению кровоточивости. Даже при регулярной очистке зубов часть зубного налёта остаётся и межзубных и дистальных пространствах, а также углублениях и поднутрениях зубов. Для решения данной ситуации рекомендуется обращаться к стоматологу для проведения профессиональной чистки зубов. О снятии зубного камня можно узнать в этой статье, которую я недавно опубликовал.
  • Пломбы и коронки неудовлетворительного качества на зубах, которые нависают над десной, вызывают задержку пищи и не позволяют полностью дома выполнить гигиену. В таком случае рекомендуется корректировка пломб или замена на новые.
  • Так называемый гингивит при беременности. Часто основная причина – это изменение гормонального фона. При наличии такой ситуации рекомендуется обратиться к врачу стоматологу для осмотра полости рта.
  • Приём некоторых лекарственных препаратов, изменяющих уровень проницаемости сосудистой стенки. О возможном возникновении кровоточивости десны написано в инструкции к препаратам. В данном случае рекомендуется обратиться к вашему лечащему доктору.
  • Воспаление десны, вызванное травмой слизистой оболочки десны острыми краями пищи, раздражающими и пряными специями, резким использованием индивидуальных средств для гигиены полости рта: зубной щёткой, зубным ёршиком, зубной нитью. Скорость эпителизации и восстановления десны у всех разная, в среднем до 5ти дней и зависит от объёма повреждения. При значительном повреждении рекомендуется обратиться к врачу стоматологу.
  • Применение в домашних условиях отбеливающего геля без контроля, которое может привести к химическому ожогу десны. В таком случае необходим осмотр специалиста.

Лечение воспаления десны:

Способ лечения десны зависит прежде всего от причины возникновения. Для каждой ситуации есть свой протокол лечения и средств. Лечение воспаления десны в любой ситуации рекомендуется после консультации стоматолога, который назначит доступные и эффективные средства для домашнего применения.

  • Чаще всего причина воспаления десны стоматологического плана: зубной налёт, пломба, протез, коронка. Поэтому вначале у стоматолога устраняем причину, а затем выполняем рекомендации доктора для устранения симптомов дома.

Если у Вас остались вопросы или что-то нужно уточнить, обращайтесь ко мне лично на приём или спрашивайте в комментариях.

Рекомендую посмотреть: