Добавить в корзинуПозвонить
Найти в Дзене
БОЛЬШИЕ УМЫ

Вот что происходит с лёгкими, когда человек заражается коронавирусом COVID-19.

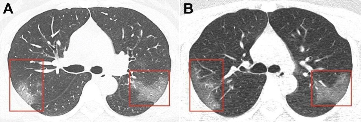
Пациентка – 33-летняя женщина из Китая. На одном снимке видны помутнения на легких. На другом, сделанном три дня спустя, видно, что пораженная область расширяется.

Пациентка – 33-летняя женщина из Китая. На одном снимке видны помутнения на легких. На другом, сделанном три дня спустя, видно, что пораженная область расширяется.