Добавить в корзинуПозвонить
Найти в Дзене

Пародонтоз. Симптомы и лечение у взрослых.

Как определить пародонтоз? Какие симптомы и как вылечить пародонтоз? В этой статье подробно расскажу о клинических проявлениях и способах лечения. Пародонтоз – это патология тканей пародонта, характеризующаяся дистрофическими нарушениями. Наблюдается не локализованное, а генерализованное (то есть распространённое) снижение высоты альвеолярного отростка (альвеолярная часть) челюстей, возникает рецессия десны при отсутствии в ней воспаления. В среднем, частота распространения пародонтоза 3-12% случаев. Пародонтоз отличается по клиническим проявлениям, причине и способам лечения от пародонтита. Для пародонтоза характерно медленное и часто бессимптомное клиническое течение, вследствие чего пациенты обращаются за помощью в поздние сроки. В этот период могут возникать воспалительные явления, что делает диагностику пародонтоза затруднительнее. Причины пародонтоза. Нарушение работы нервной системы и сердечно - сосудистой системы; Влияние отрицательных факторов внешней среды: радиационное
Оглавление

Как определить пародонтоз? Какие симптомы и как вылечить пародонтоз? В этой статье подробно расскажу о клинических проявлениях и способах лечения.

Пародонтоз – это патология тканей пародонта, характеризующаяся дистрофическими нарушениями. Наблюдается не локализованное, а генерализованное (то есть распространённое) снижение высоты альвеолярного отростка (альвеолярная часть) челюстей, возникает рецессия десны при отсутствии в ней воспаления.

В среднем, частота распространения пародонтоза 3-12% случаев. Пародонтоз отличается по клиническим проявлениям, причине и способам лечения от пародонтита.

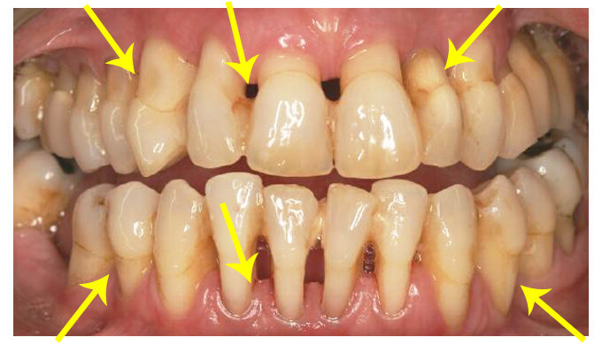
Клиническое проявление при пародонтозе. Жёлтыми указателями указана убыль костной ткани и бледная окраска десны, отсутствие видимых зубных отложений.
Клиническое проявление при пародонтозе. Жёлтыми указателями указана убыль костной ткани и бледная окраска десны, отсутствие видимых зубных отложений.

Для пародонтоза характерно медленное и часто бессимптомное клиническое течение, вследствие чего пациенты обращаются за помощью в поздние сроки. В этот период могут возникать воспалительные явления, что делает диагностику пародонтоза затруднительнее.

Причины пародонтоза.

Нарушение работы нервной системы и сердечно - сосудистой системы;

Влияние отрицательных факторов внешней среды: радиационное, компьютерное, электромагнитное, бытовое излучение. А также воздействие профессиональных приборов;

Развитие пародонтоза.

Непосредственно при пародонтозе наблюдается задержка обновления костных клеток, утолщение костных трабекул в виде остеосклероза. Появляются изменения в структуре костной ткани, которые сочетаются с изменениями микроциркуляторного русла уменьшения просвета сосудов вплоть до их полной облитерации.

В поверхностном слое десны возникает белковая дистрофия клеток. В подлежащей соединительной ткани начинается снижение активности окислительно-восстановительных процессов.

В костной ткани челюстей протекают дистрофические процессы, проявляющиеся склеротическим изменением. Костный рисунок становится не чётким, слабо проявляется, во всех отделах мелкоячеистый. Уменьшается высота альвеолярного гребня; вершина межальвеолярных перегородок имеют чёткую форму, их уровень зависит от тяжести процесса.

Стадии пародонтоза:

  • Лёгкая: снижение альвеолярной части кости на 1/3;
  • Средняя: снижение альвеолярной части кости до 1/2;
  • Тяжёлая: снижение альвеолярной части кости более 1/2.
Рентгеновский снимок ОПТГ при пародонтозе. Жёлтыми указателями указана убыль костной ткани.
Рентгеновский снимок ОПТГ при пародонтозе. Жёлтыми указателями указана убыль костной ткани.

Могут ли шататься зубы при пародонтозе?

  1. При лёгкой стадии зубы фиксированы и имеют физиологическую (нормальную) подвижность;
  2. При средней стадии возникает подвижность зубов 1й степени в вестибуло-оральном направлении, то есть зубы подвижные и щёчно-язычном направлении;
  3. Для тяжёлой стадии характерна подвижность зубов 2й степени, проявляющаяся не только движением зубов в вестибуло-оральном направлении, но и дополнительно в мезио-дистальном, то есть боковое движение зуба справа налево.

Симптомы пародонтоза.

  1. При лёгкой степени возникает зуд, жжение, «ломота» в разных участках челюсти. Также возможны чувства гипертензии и чувство подвижности зубов без видимой на то подвижности. Десна нормальной или бледной окраски, сглажены десневые сосочки. Зубы устойчивы и десна плотно прилегает к ним. Клинически проявляется генерализованная (распространённая) убыль десны до 3мм.
  2. При средней степени пациенты отмечают, что их зубы стали больше по размеру, увеличиваются боковые межзубные расстояния, зубы начинают повышенно реагировать на температурные и химические раздражители. Десна может быть нормальной или бледной окраски. Также могут быть плотные наддесневые зубные отложения. Генерализованная убыль десны от 3х до 5ти миллиметров. На зубах в пришеечной части возникают клиновидные дефекты некариозного происхождения.
  3. При тяжёлой степени возникает подвижность и перемещение зубов. Десна становится бледной и плотной, зубные отложения становятся пигментированными и плотными. Проявляется генерализованная убыль десны более 5мм. Может быть значительная подвижность и выпадение зубов.

Лечение пародонтоза:

В основном, независимо от стадии и распространённости пародонтоза, лечение начинают с устранения хронических очагов и санации полости рта:

  • снятие зубных камней,
  • снятие наддесневых и поддесневых зубных отложений,
  • пломбирование и реставрация дефектов твёрдых тканей зубов,
  • полирование поверхности корней и эмали зубов,
  • покрытие чувствительных участков зубов десенсетайзерами.

После лечебных мероприятий необходимо рациональное протезирование зубов для уменьшения нагрузки на зубы и распределения жевательного давления между всеми зубами.

Врачи смежных специальностей следят за состоянием сердечно – сосудистой системы, нервной системы, профилактикой профессиональных заболеваний на предприятиях.

Если у Вас остались вопросы или что-то нужно уточнить, обращайтесь ко мне лично на приём или спрашивайте в комментариях.

Рекомендую посмотреть:

ИМЕЮТСЯ ПРОТИВОПОКАЗАНИЯ. ТРЕБУЕТСЯ КОНСУЛЬТАЦИЯ СПЕЦИАЛИСТА.