Добавить в корзинуПозвонить
Найти в Дзене
DentConsult

Удаление зубного камня ультразвуком: особенности

Сегодня заниматься профилактикой стоматологических заболеваний проще и дешевле, чем потом лечить их. И один из первых шагов на пути к здоровью – удаление зубного камня ультразвуком. С помощью этого метода можно убрать из самых укромных уголков полости рта токсичные бактериальные отложения, которые рано или поздно могут привести к потере зубов. Больно ли это, как часто можно повторять и всем ли подойдет? А что будет, если не делать процедуру? Пожалуй, пришло время поговорить об этом! Давайте разбираться. Кому грозят налет и камень? Проверьте, находитесь ли вы в группе риска Нашли себя? На самом деле формирование мягкого микробного налета на зубах происходит постоянно и у всех людей, то есть в группе риска абсолютно все. Под воздействием кислот отложения затвердевают и уже не поддаются удалению обычной щеткой и пастой в домашних условиях, а чтобы от них избавиться, и был придуман метод ультразвуковой чистки. Что будет, если я не стану удалять зубной камень? Камень – отличная среда дл
Оглавление

Сегодня заниматься профилактикой стоматологических заболеваний проще и дешевле, чем потом лечить их. И один из первых шагов на пути к здоровью – удаление зубного камня ультразвуком. С помощью этого метода можно убрать из самых укромных уголков полости рта токсичные бактериальные отложения, которые рано или поздно могут привести к потере зубов. Больно ли это, как часто можно повторять и всем ли подойдет? А что будет, если не делать процедуру?

Пожалуй, пришло время поговорить об этом! Давайте разбираться.

Фото: dentconsult.ru
Фото: dentconsult.ru

Кому грозят налет и камень? Проверьте, находитесь ли вы в группе риска

  • 👉 вы чистите зубы меньше 2 раз в день или иногда забываете это сделать,
  • 👉 вы проводите ежедневную гигиену рта неправильно (например, меньше 2 минут),
  • 👉 вы не споласкиваете рот после каждого перекуса, завтрака, обеда и ужина,
  • 👉 вы иногда едите мягкую, мучную, углеводистую и сладкую пищу,
  • 👉 вы имеете нарушения прикуса,
  • 👉 вы курите.
Нашли себя? На самом деле формирование мягкого микробного налета на зубах происходит постоянно и у всех людей, то есть в группе риска абсолютно все. Под воздействием кислот отложения затвердевают и уже не поддаются удалению обычной щеткой и пастой в домашних условиях, а чтобы от них избавиться, и был придуман метод ультразвуковой чистки.

Что будет, если я не стану удалять зубной камень?

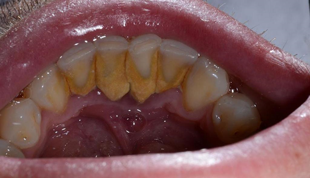
Камень – отличная среда для размножения болезнетворных бактерий, которые выделяют токсины и воспаляют десны, а также распространяются по всему организму и провоцируют заболевания внутренних органов. Когда отложений становится слишком много, то своей массой они давят на десны и даже проникают под них, нарушают питание и кровообращение слизистой, разрушают связки и костные ткани.

Так выглядит твердый зубной камень, если долго не ходить к стоматологу
Так выглядит твердый зубной камень, если долго не ходить к стоматологу

Портится красота улыбки. Десны начинают отекать, краснеть, кровоточить и болеть, появляется плохой запах изо рта. Развивается пародонтит, из-за которого начинают шататься и выпадать зубы.

Можно, но не всем! Список противопоказаний к процедуре

Ультразвуковое удаление зубного камня – совершенно безопасная процедура при условии, что учтены все противопоказания к ее проведению. Перечислим их:

  • ⛔ возраст до 14-16 лет,
  • ⛔ астма, эпилепсия,
  • ⛔ кардиостимулятор,
  • ⛔ онкология в острой форме,
  • ⛔ туберкулез, гепатит и ВИЧ.
На заметку! Если у вас стоят коронки, пломбы, импланты или брекеты, то вам МОЖНО и НУЖНО проводить ультразвуковую чистку. Процедура поможет удалить бактериальные отложения из самых труднодоступных мест, поддержит красоту и здоровье зубов и десен, а также продлит срок службы искусственных конструкций и материалов.

Как действует ультразвук

Самый эффективный способ избавиться от всех видов налета – это ультразвуковая чистка зубов. Процедура проводится в стоматологическом кабинете с помощью устройства с названием скалер или скейлер. Ультразвуковые волны, подающиеся этим прибором, заставляют налет отделяться от зуба, разрушают, дробят и буквально истирают его в порошок. И все это благодаря действию высокочастотных волн.

Скалер (или скейлер) оснащен наконечником с металлической насадкой, который врач направляет на зубы пациента. Одновременно насадка обеспечивает поток воды для вымывания отставших от зубов отложений.
Скалер (или скейлер) оснащен наконечником с металлической насадкой, который врач направляет на зубы пациента. Одновременно насадка обеспечивает поток воды для вымывания отставших от зубов отложений.

А будет ли больно во время чистки

Если отложений скопилось много, они основательно успели проникнуть под десны и плотно обхватить корни и шейки зубов, то процедура может доставить дискомфорт. Однако чтобы не было больно, врачи предварительно обрабатывают десны «заморозкой».

Важно! Для проведения процедуры обращайтесь только в клиники, оснащенные современной аппаратурой. В некоторых стоматологиях до сих пор используют устаревшие модели скалеров, которые могут травмировать и истончить эмаль, повысить чувствительность зубов и поранить десны. Там, где работают на современных приборах, это исключено, ведь они действуют бесконтактно и мягко, и чтобы удалить налет, врачу не надо прикасаться к эмали и деснам.

После чистки десны и эмаль могут иметь повышенную чувствительность, но дискомфорт быстро проходит, если пользоваться реминерализующими пастами, а также на время отказаться от употребления «раздражающей» пищи (твердое, горячее, острое, соленое).

Основные моменты, которые нужно знать про ультразвуковую чистку

1⃣ Процедуру можно провести только в стоматологии. На все уйдет около часа вашего личного времени.

2⃣ Ультразвуковая чистка – лишь первый шаг. Чтобы усилить эффект, сделать эмаль действительно чистой, гладкой и блестящей, после нее врачи проводят Air-Flow. Для удаления налета и полировки эмали могут применять ручные инструменты, щеточки, пасты, штрипсы.

«Эир Флоу» может применяться как самостоятельная методика бережной чистки эмали от мягкого налета, но чаще проводится после чистки ультразвуком
«Эир Флоу» может применяться как самостоятельная методика бережной чистки эмали от мягкого налета, но чаще проводится после чистки ультразвуком

3⃣ После удаления отложений зубы становятся восприимчивы к любому положительному (и отрицательному) воздействию, поэтому врачи укрепляют их фторированием.

Фторирование повышает сопротивляемость эмали к внешним факторам. В комплексе с ультразвуком – это отличная профилактика стоматологических заболеваний
Фторирование повышает сопротивляемость эмали к внешним факторам. В комплексе с ультразвуком – это отличная профилактика стоматологических заболеваний

4⃣ Если вы сделали чистку 1 раз, то не избавитесь от налета на всю жизнь. Для поддержания здоровья полости рта процедуру нужно делать периодически. Рекомендуемая периодичность – 1-2 раза в год. По показаниям (например, нарушение минерального обмена) – до 3-4 раз в год.

5⃣ После ультразвуковой чистки важно поддерживать положительный результат как можно дольше. В этом поможет тщательная гигиена полости рта и разумная диета (меньше продуктов с красителями и сахаров, больше овощей и фруктов). И да, обязательно приобретите ирригатор!

Ирригатор эффективно препятствует образованию бактериального налета и камня, а еще он бережно массирует десны
Ирригатор эффективно препятствует образованию бактериального налета и камня, а еще он бережно массирует десны

А вы хоть раз делали ультразвуковую чистку зубов? Надолго ли сохранился результат? Делитесь в комментариях!

Ставьте лайк 👍, если нашли для себя что-то полезное, и задавайте вопросы в комментариях!

Подписывайтесь на дзен-канал DentConsult, если вы следите за здоровьем и красотой своих зубов.

Вам будет интересно! DentConsult – блог практикующего врача-стоматолога. Всегда свежая, достоверная и насущная информация о стоматологии и решении стоматологических проблем.