Найти в Дзене
Календарь Науки

14 марта 1854 родился врач-иммунолог, основоположник химиотерапии, Пауль Эрлих

Пауль Эрлих (1854-1915) знаменитый прусский ученый, медицинский биолог, иммунолог, морфолог и терапевт. Лауреат нобелевской премии 1908 года за исследования в области иммунологии. Основатель и первый директор научно-исследовательского института Пауля Эрлиха в Германии. Открытия Пауля Эрлиха: Гематология Одним из первых выдающихся результатов его диссертационных исследований стало открытие нового типа белых клеток крови - тучных клеток, содержащих медиаторы воспаления, пролиферации и миграции клеток. Продемонстрировал существование ядросодержащих эритроцитов,
а также предшественников эритроцитов. Эрлих, таким образом, заложил основу для анализа анемий. В 1881 году он опубликовал новый способ анализа мочи, который способен был отличить различные типы брюшного тифа от простых случаев диареи. Интенсивность окрашивания сделала возможным оценить прогноз заболевания, а раствор пигмента, который он использовал, сегодня известен как реагент Эрлиха. Иммунология Пауль Эрлих совместно с Эми
foto: smithsonianmag.com
foto: smithsonianmag.com

Пауль Эрлих (1854-1915) знаменитый прусский ученый, медицинский биолог, иммунолог, морфолог и терапевт. Лауреат нобелевской премии 1908 года за исследования в области иммунологии. Основатель и первый директор научно-исследовательского института Пауля Эрлиха в Германии.

Открытия Пауля Эрлиха:

Гематология

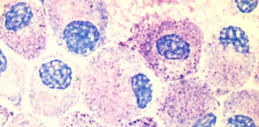
Одним из первых выдающихся результатов его диссертационных исследований стало открытие нового типа белых клеток крови - тучных клеток, содержащих медиаторы воспаления, пролиферации и миграции клеток.

Тучные клетки (foto: wikipedia.org)
Тучные клетки (foto: wikipedia.org)

Продемонстрировал существование ядросодержащих эритроцитов,
а также предшественников эритроцитов. Эрлих, таким образом, заложил основу для анализа анемий.

В 1881 году он опубликовал новый способ анализа мочи, который способен был отличить различные типы брюшного тифа от простых случаев диареи. Интенсивность окрашивания сделала возможным оценить прогноз заболевания, а раствор пигмента, который он использовал, сегодня известен как реагент Эрлиха.

Иммунология

Пауль Эрлих совместно с Эмилем Берингом, работая в Берлинском институте инфекционных болезней, разработал средство для лечения дифтерии и столбняка. В ​​начале 1894 года клинические испытания были успешно проведены, и в августе химическая компания Hoechst начала продавать «Средство от дифтерии, синтезированное Беринг-Эрлихом».

*Эмиль фон Беринг стал лауреатом первой Нобелевской премии по медицине в 1901 году за вклад в исследования дифтерии.

Еще одним достижением в обрасти иммунологии стала теория о боковых цепях клеток. Эрлих высказал идею о том, что клетки, ответственные за иммунные реакции, имеют на поверхности антиген-распознающие структуры — рецепторы. Эта идея, сыграет большую роль в развитии иммунологии и будет изучаться еще многие десятилетия.

Химиотерапия

Эрлих впервые разработал систематическое тестирование химических соединений, которое в настоящее время практикуется в фармацевтической промышленности. При поддержке своего помощника в 1909 году Эрлих обнаружил, что соединение 606, арсфенамин, эффективно борется с бактериями spirillum spirocheetes, один из подвидов которых вызывает сифилис.

Salvarsan (foto: wikipedia.org)
Salvarsan (foto: wikipedia.org)

После обширных клинических испытаний компания Hoechst начала продавать соединение под названием Salvarsan. Salvarsan оказался удивительно эффективным, особенно по сравнению с обычной терапией солями ртути. Это был самый эффективный препарат для лечения сифилиса, пока пенициллин не стал доступен в 1940-х годах.

Жизнь и творчество Эрлиха были показаны в фильме 1940 года в США «Волшебная пуля доктора Эрлиха» с Эдвардом Г. Робинсоном в главной роли. Основное внимание в фильме уделялось его лекарству от сифилиса - сальварсану («соединение 606»).