Добавить в корзинуПозвонить
Найти в Дзене
Мама-доктор

Как у пациентки при проведении МРТ позвоночника обнаружили множественные образования в печени.

Около месяца назад ко мне на УЗИ органов брюшной полости приходила обеспокоенная молодая женщина в возрасте 30 лет.
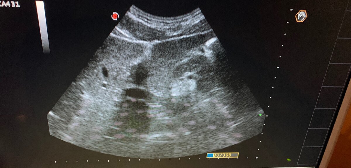
Как оказалось, накануне она выполняла МРТ позвоночника в связи с болями в грудном и поясничном отделах, и врач-рентгенолог ее обескуражил дополнительным выявлением множественных образований в печени. Доктор рекомендовал проведение УЗИ органов брюшной полости с целью определения их характера. Первое, что приходит в голову, узнав о множественных образованиях в печени, это метастатическое поражение паренхиматозного органа, поэтому прежде всего необходимо исключить вторичные очаги. При проведении УЗИ пациентке я обнаружила три гиперэхогенных образования в правой доле печени, с четким ровным контуром, однородной структуры. Такая картина характерна для доброкачественных гемангиом. Гемангиома - это доброкачественная сосудистая опухоль. Меня несколько смутил тот факт, что пациентке выполняли УЗИ органов брюшной полости около полугода назад и тогда никаких образований выявлен

Около месяца назад ко мне на УЗИ органов брюшной полости приходила обеспокоенная молодая женщина в возрасте 30 лет.

Как оказалось, накануне она выполняла МРТ позвоночника в связи с болями в грудном и поясничном отделах, и врач-рентгенолог ее обескуражил дополнительным выявлением множественных образований в печени.

Доктор рекомендовал проведение УЗИ органов брюшной полости с целью определения их характера.

Первое, что приходит в голову, узнав о множественных образованиях в печени, это метастатическое поражение паренхиматозного органа, поэтому прежде всего необходимо исключить вторичные очаги.

Слева на Узи- киста печени, справа- признаки гемангиомы
Слева на Узи- киста печени, справа- признаки гемангиомы

При проведении УЗИ пациентке я обнаружила три гиперэхогенных образования в правой доле печени, с четким ровным контуром, однородной структуры. Такая картина характерна для доброкачественных гемангиом.

Гемангиома - это доброкачественная сосудистая опухоль.

Меня несколько смутил тот факт, что пациентке выполняли УЗИ органов брюшной полости около полугода назад и тогда никаких образований выявлено не было.

Учитывая множественный характер изменений я рекомендовала женщине консультацию онколога и КТ органов брюшной полости с контрастом. Хотя по опыту, выявленная ультразвуковая картина все-таки соответствует доброкачественным гемангиомам.

Но на мой взгляд, лучше подстраховаться и провести дообследование, чтобы убедиться в отсутствии злокачественного процесса.

Спасибо, что дочитали. Понравилась статья - ставьте лайк и подписывайтесь на мой канал!