Добавить в корзинуПозвонить
Найти в Дзене

Что такое палочкоядерные нейтрофилы и причины повышенных у взрослого?

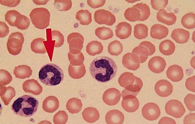
Не все люди знают, что такое палочкоядерные нейтрофилы, и какие функции они выполняют. Такие нейтрофилы являются одной из разновидностей лейкоцитов — наиболее важных компонентов крови, своевременный анализ отклонений от нормы позволяет предупредить или диагностировать различные заболевания. Лейкоциты в свою очередь представляют группу белых кровяных клеток, которые нейтрализуют и уничтожают множество болезнетворных бактерий и микробов. Палочкоядерная форма нейтрофилов выполняет защитную функцию, эти форменные элементы крови нейтрализуют все вредоносные элементы. При осуществлении процесса уничтожения патогенов нейтрофилы гибнут, а их место занимают вновь сформированные. Кроме того, нейтрофилы палочкоядерные являются поставщиками антитоксических веществ, принимают активное участие в процессе фибринолиза. Проверить наличие или отсутствие воспалительного процесса в организме можно благодаря клинической диагностике состава крови. Врач во время его расшифровки анализирует полученные значен
Оглавление

Не все люди знают, что такое палочкоядерные нейтрофилы, и какие функции они выполняют. Такие нейтрофилы являются одной из разновидностей лейкоцитов — наиболее важных компонентов крови, своевременный анализ отклонений от нормы позволяет предупредить или диагностировать различные заболевания. Лейкоциты в свою очередь представляют группу белых кровяных клеток, которые нейтрализуют и уничтожают множество болезнетворных бактерий и микробов.

Палочкоядерная форма нейтрофилов выполняет защитную функцию, эти форменные элементы крови нейтрализуют все вредоносные элементы. При осуществлении процесса уничтожения патогенов нейтрофилы гибнут, а их место занимают вновь сформированные. Кроме того, нейтрофилы палочкоядерные являются поставщиками антитоксических веществ, принимают активное участие в процессе фибринолиза.

Проверить наличие или отсутствие воспалительного процесса в организме можно благодаря клинической диагностике состава крови. Врач во время его расшифровки анализирует полученные значения показателей лейкоцитов, в том числе и нейтрофилов.

Подготовка к анализу и его проведение

Общий анализ крови и проверка уровня нейтрофилов необходима в следующих случаях:

  • в течение продолжительного периода наблюдается повышенная температура от 37 до 38 °C;
  • наличие симптоматики, сопутствующей ОРВИ;
  • для постановки точного диагноза.

Проведение анализа возможно в любой медицинской клинической лаборатории. В анализе крови отображаются показатели нейтрофилов всех разновидностей. Для исследования не требуется от пациента специальная подготовка.

Основным условием является то, что забор крови должен происходить в утренние часы на голодный желудок. В таком случае можно получить точные результаты измерений. Накануне забора крови лучше отказаться от обильной и тяжелой пищи во время ужина. Кроме того, увеличение уровня лейкоцитов и их составляющих могут спровоцировать следующие факторы:

  • хроническая усталость и постоянные стрессовые ситуации;
  • тяжелый физический труд;
  • прием некоторых лекарственных средств.

В некоторых случаях повышенное количество палочкоядерного нейтрофила может быть индивидуальной особенностью человека.

Нормальные значения в зависимости от возраста

Показатель нормы палочкоядерных нейтрофилов может варьироваться в зависимости от возраста и пола человека. У взрослых женщин и мужчин абсолютное число нейтрофилов совпадает. При этом нормативными считаются показатели, если уровень данных элементов крови находится в пределах 1-3%.

-2

Повышение их уровня может свидетельствовать о том, что в организме развивается инфекционный или воспалительный процесс. Правильная диагностика и анализ количества таких клеток осуществляется с применением специальной лейкоцитарной формулы, которая регламентирует содержание всех форм лейкоцитов в составе крови.

В результатах анализа обозначение количества палочкоядерной формы нейтрофилов приводится в процентах к общему количеству белых кровяных телец или абсолютных единицах на литр.

У женщин

Как показывает таблица, норма у женщин варьируется от 1 до 6%. Нейтрофильные клетки у женщин по возрасту сохраняют свои нормативные значения, но в некоторых случаях возможны и небольшие возрастные отклонения.

У беременных

Нормативные показатели многих элементов в период беременности в крови у женщин могут отличаться от привычных цифр. Организм пациентки переживает сильную гормональную перестройку, в результате чего повышение или понижение некоторых показателей считается нормой.

-3

В крови у беременных женщин уровень нейтрофилов может быть увеличен почти на 20%. И такое значение будет входить в нормативные границы. Следует обратить внимание на количество нейтрофильных клеток в том случае, если проявляются сопутствующие симптомы патологических процессов.

Если палочкоядерный нейтрофил имеет отклонение от нормы в период беременности, то это значит, что в организме женщины происходит развитие патологического процесса, способного повлиять на состояние матери и будущего ребенка.

Плановые заборы крови в период беременности помогут выявить и исключить развитие патологических процессов. Правильная трактовка результатов анализа может указать на наличие нейтрофилеза — чрезмерно повышенного уровня лейкоцитных элементов. Своевременное выявление отклонений убережет от преждевременных родов или выкидыша.

У мужчин

Палочкоядерные нейтрофилы в норме у мужчин колеблются в диапазоне от 1 до 7%.

У детей

Большой разрыв в нормативных показателях в раннем возрасте говорит о том, что детский организм имеет быстрые темпы роста и развития. Количество нейтрофильных клеток у новорожденного отличается от количества у взрослого человека, лейкоциты в большей степени представлены в виде палочкоядерных форм. По мере роста ребенка их количество постепенно приравнивается к уровню взрослого человека.

-4

Увеличение роста нейтрофильных клеток в раннем детском возрасте возможно в следующих случаях: при прорезывании молочных зубов, а также развитии воспалительных или инфекционных процессов.

Почему возникают отклонения?

Если наблюдаются повышенные палочкоядерные нейтрофилы в крови, ставится отметка о наличии нейтрофилеза, что свидетельствует о развитии патологического процесса в организме. Лейкоцитные клетки могут иметь пониженные значения, что часто сигнализирует о слабом иммунитете или истощенном состоянии организма. Часто нейтрофилы имеют низкие отметки в результате недавно перенесенного тяжелого и продолжительного заболевания.

Большая часть таких клеток сосредоточена в костном мозге, а на кровь в сосудах приходится около 30%. Нейтрофилы в крови повышаются в результате наличия следующих патологий:

  • вирусные болезни верхних дыхательных путей;
  • сахарный диабет первого и второго типов;
  • ожоги кожных покровов или слизистых оболочек;
  • заболевания почек;
  • проблемы с работой органов желудочно-кишечного тракта;
  • проявление различных аллергических реакций.

Кроме того, могут наблюдаться дополнительные случаи, когда палочкоядерные нейтрофилы повышены, причины такого отклонения от нормы следующие:

  • воспалительные и гнойные процессы;
  • интоксикация опасными для жизни веществами и металлами — ртутью, бензолом, свинцом;
  • злокачественные опухоли;
  • патологии крови;
  • сильные обморожения.

Нейтрофильные клетки отвечают за защиту организма от болезнетворных бактерий и инфекций. Поэтому при проникновении чужеродного тела наблюдается их активный рост.

Нейтропения, или понижение нейтрофилов, может указывать на течение патологии в хронической форме и уменьшение сопротивляемости организма против вирусов, бактерий, инфекционных патогенов.

Выделяются следующие виды нейтропении;

  • доброкачественного типа — является индивидуальной особенностью организма;
  • циклического типа — проявляется в некоторые периоды и сохраняется некоторое время;
  • нейтропения Костманна — генетически обусловленная патология.

Снижение уровня нейтрофилов может достаться человеку в наследство. Поэтому частыми заболеваниями при нейтропении Костманна являются пневмония, гнойные воспаления и иные бактериальные патологии.

Иногда результат анализа показывает значение «нейтрофилы 0» у взрослого. Нулевая отметка данных клеток может свидетельствовать о следующих патологиях:

  • наличие бактериальных заболеваний;
  • наличие вирусных болезней;
  • анемии;
  • негативном влиянии радиоактивного излучения на организм.

Если по результатам исследования крови отображается «нейтрофилы 1» у взрослого человека, значит, уровень клеток, скорее всего, находится в пределах нормативного значения.

Как нормализовать уровень содержания в крови?

Необходимо провести терапевтический курс, если наблюдается повышение палочкоядерных нейтрофилов в крови. Лечение происходит с использованием одной из групп медикаментозных средств в зависимости от причин отклонения. Необходимость терапии может быть обусловлена следующими факторами:

  • наличием чужеродных тел;
  • очагами воспаления во внутренних органах;
  • инфекцией.

Кроме проведенного анализа крови, потребуется сделать УЗИ и компьютерную томографию, что позволит выявить наличие опухолей или изменений в организме.

Нейтрофилез, развивающийся на фоне проникновения инфекции, может быть устранен после приема антибиотических, кортикостероидных препаратов или иммуностимуляторов.

Антибиотики

Курс приема антибиотиков необходимо пройти для нейтрализации патогенной микрофлоры. Такие средства снимают воспаления. Кроме того, медикаментозная терапия предполагает применение антибактериальных препаратов для того, чтобы устранить риск появления резистентности у бактерий.

Во время лечения может потребоваться проведение бакпосева, что позволит выявить не только разновидность бактерий, но и уровень приспособленности болезнетворного микроорганизма к лекарственным средствам.

Иммуностимуляторы

Иммуностимуляторы часто назначаются при рецидивах некоторых заболеваний или для устранения вирусной патологии. Наиболее часто используются такие медицинские средства, как Иммунал и Тималин.

Основные свойства таких медицинских препаратов заключаются в повышении иммунитета и его активизации. Иммуностимуляторы хорошо зарекомендовали себя в борьбе с различными вирусами.

Кортикостероиды

Кортикостероидные медицинские средства чаще всего используются для устранения текущего воспалительного процесса и снятия болевого синдрома. При проведении терапии с использованием кортикостероидов следует строго придерживаться схемы приема препарата.

Продолжительное применение гормональных средств может спровоцировать проявление побочных реакций. Наиболее эффективными из данной группы медицинских препаратов являются Преднизолон и Дексаметазон.