Добавить в корзинуПозвонить
Найти в Дзене

Что такое нейтрофилы в анализе крови у женщин и таблица нормы по возрасту

Нейтрофилы — это клетки из группы лейкоцитов. Чтобы иметь представление о том, что такое нейтрофилы и за что отвечают, необходимо знать, что нейтрофильные гранулоциты являются белыми кровяными клетками. Они поддерживают иммунные функции в организме. Отклонение от нормы в общем анализе крови (ОАК) может свидетельствовать о проблеме со здоровьем. Какие бывают нейтрофилы? Нейтрофилы в крови (NEUT) бывают нескольких видов и имеют различия в степени зрелости и функциях, за которые они отвечают: При попадании в организм болезнетворных бактерий и прочих вредных веществ нейтрофилы их обнаруживают и поглощают с целью обезвреживания, а затем погибают. Процесс нейтрофильной гибели сопровождается выделением ферментов, способных размягчать прилегающие ткани и способствовать образованию гноя в очаге воспаления. В состав гнойной массы входят поврежденные клетки организма, разрушенные лейкоциты, патогенные микроорганизмы и воспалительный экссудат. Когда и как проводят анализ? Анализ крови на нейтрофи
Оглавление

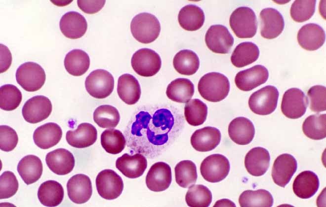
Нейтрофилы — это клетки из группы лейкоцитов. Чтобы иметь представление о том, что такое нейтрофилы и за что отвечают, необходимо знать, что нейтрофильные гранулоциты являются белыми кровяными клетками. Они поддерживают иммунные функции в организме. Отклонение от нормы в общем анализе крови (ОАК) может свидетельствовать о проблеме со здоровьем.

Какие бывают нейтрофилы?

Нейтрофилы в крови (NEUT) бывают нескольких видов и имеют различия в степени зрелости и функциях, за которые они отвечают:

  • миелобласты — незрелые стволовые клетки;
  • промиелоциты — клетки, которые развиваются из миелобластов;
  • миелоциты — молодые клетки промиелоциты, локализованные только в костном мозге;
  • метамиелоциты — молодые клетки, из которых формируется следующий вид нейтрофилов;
  • палочкоядерные — вид незрелых клеток, ядро которых похоже на палочку;
  • сегментоядерные — зрелые нейтрофильные гранулоциты в крови.

При попадании в организм болезнетворных бактерий и прочих вредных веществ нейтрофилы их обнаруживают и поглощают с целью обезвреживания, а затем погибают. Процесс нейтрофильной гибели сопровождается выделением ферментов, способных размягчать прилегающие ткани и способствовать образованию гноя в очаге воспаления. В состав гнойной массы входят поврежденные клетки организма, разрушенные лейкоциты, патогенные микроорганизмы и воспалительный экссудат.

Когда и как проводят анализ?

Анализ крови на нейтрофилы необходим, когда у взрослого человека появляются необъяснимые симптомы:

  • анемия в любой форме;
  • признаки отравления тяжелыми металлами, ядами;
  • боли ноющего характера с локализацией в суставах, костях, мышцах;
  • обмороки, головокружения;
  • потеря равновесия;
  • кожная сыпь;
  • сонливое состояние;
  • внезапное снижение веса;
  • регулярное повышение температуры тела;
  • длительная депрессия, которая сопровождается агрессивностью;
  • учащенный сердечный ритм;
  • гематомы, которые появляются без механического воздействия;
  • сложности с глотанием;
  • увеличение лимфоузлов;
  • изменение цвета мочи;
  • постоянная жажда.

Общий анализ крови на нейтрофилы необходим, если у человека долго не заживают порезы и царапины. Нейтрофилы в общем анализе крови позволяют выявить воспалительные болезни или некроз тканей.

NEUT в анализе крови проверяется у пациентов в послеоперационный период для контроля их состояния.

Анализ проводится утром натощак, перед посещением клиники следует воздержаться от:

  • физических нагрузок;
  • употребления жареной и жирной пищи;
  • курения;
  • алкоголя.

Кровь забирается из пальца либо вены.

Расшифровка результатов

Количество нейтрофилов в крови показывает наличие или отсутствие патологии. Если число нейтрофилов превышено, то это значит, что иммунная система ведет борьбу с вредоносными бактериями. Такой процесс носит название нейтрофилия.

-2

Если нейтрофилы в анализе крови содержатся в недостаточном количестве, значит, развивается нейтропения. В норме этих клеток должно быть не менее 1,8 тыс./мкл.

Норма

Норма нейтрофилов в крови одинакова для обоих полов, при этом норма у женщин по возрасту имеет отличия от нормы по возрасту у мужчин. В крови у женщин в период беременности возможно повышение показателя до 7-10х10⁹.

Во время проведения исследования учитывается 2 показателя:

  • NEUT abs (абсолютное количество нейтрофилов) — измеряется в миллиардах клеток на 1 л крови;
  • NEUT % (относительное количество) — процент нейтрофильных гранулоцитов по отношению к другим лейкоцитам.

Повышение

Повышенное число нейтрофилов наблюдается в результате ответной реакции организма на проникновение бактериальной инфекции либо развитие воспаления.

-3

Если допустимая нейтрофильная норма в крови превышена незначительно, возможно, человек съел калорийную пищу, перенес сильное психоэмоциональное напряжение, выполнил тяжелые физические упражнения. Небольшое превышение нормы допускается во время беременности.

Понижение

Пониженные показатели указывают на нарушение процесса кроветворения в костном мозге, что характерно для людей с ослабленными иммунными функциями.

Нейтропения может быть:

  • врожденной;
  • приобретенной;
  • не выявленного происхождения.

Нейтропения в хронической доброкачественной форме часто бывает у детей возрастом до 2-3 лет. Затем количественное содержание нейтрофилов нормализуется. Временное понижение нормы возможно при проведении общей противовирусной терапии. Как только прием лекарств прекращается, нейтропения проходит.

Если уменьшенное число нейтрофилов долго сохраняется, то существует вероятность развития хронической болезни системы кроветворения или инфекционного заболевания.

Причины отклонений

При повышении числа нейтрофилов в крови возможно развитие воспалительного процесса:

  • локализованного или умеренного;
  • обширного;
  • генерализованного (сепсис на фоне стафилококковой инфекции).

Если в крови увеличивается число незрелых нейтрофилов, то такое состояние называется сдвигом лейкоцитарной формулы влево. Оно характерно для гнойных инфекций.

Выраженный нейтропенический синдром, при котором в кровотоке уменьшается количественное содержание нейтрофилов, происходит при следующих видах инфекций:

  • вирусных (корь, грипп);
  • бактериальных (бруцеллез, брюшной тиф);
  • риккетсиозных (сыпной тиф);
  • протозойных (малярия, токсоплазмоз).

А также при таких заболеваниях:

  • воспаления в тяжелой форме, переходящие в генерализованный инфекционный процесс;
  • анемия (гипопластическая, апластическая);
  • агранулоцитоз, при котором число нейтрофилов резко снижается.

К нейтропении может привести радиотерапия, сильное похудение, крайняя степень истощения организма, прием таких медикаментов, как анальгетики, цитостатики, пенициллины, Левомицетин.

Что делать при отклонениях?

Если норма нейтрофилов превышена или их число не достигает нормы, необходимо выяснить причины, которые могут быть временными (возникли на фоне уже развившегося заболевания) или хроническими (являются осложнением болезни).

Необходимо посетить терапевта, гематолога либо врача-инфекциониста. Специалист назначит дополнительные обследования и необходимую терапию.

В некоторых случаях можно самостоятельно принять такие меры, как отказаться от алкоголя и курения, правильно питаться и вести здоровый образ жизни.

При прохождении курса противовирусного лечения следует принимать меры профилактики: соблюдать правила гигиены, проводить своевременную вакцинацию от заболеваний, тщательно обрабатывать продукты перед употреблением, не есть в сыром виде морепродукты и яйца.