Добавить в корзинуПозвонить
Найти в Дзене

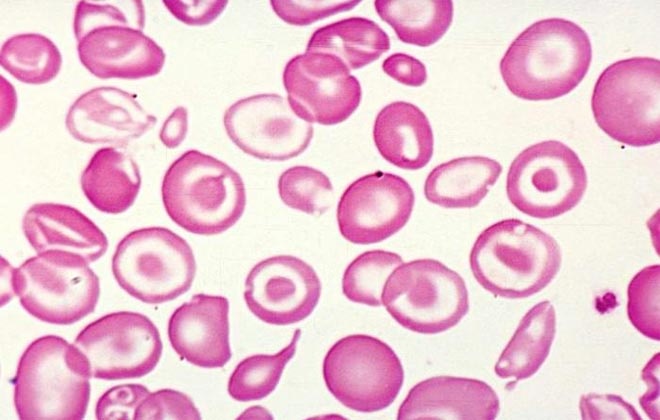
Что такое пойкилоцитоз в общем анализе крови (диагностическое значение)

Пойкилоцитоз — это патологическое состояние, характеризующееся деформацией и нарушением функций эритроцитов. Последние представляют собой красные кровяные клетки, отвечающие за доставку кислорода в органы и ткани. Многие пациенты задаются вопросом, пойкилоцитоз — что это такое, из-за чего он возникает. Практически всегда причинами патологии являются острые или хронические заболевания. Степень проявления Расшифровка биохимического анализа крови содержит информацию о количестве поврежденных кровяных клеток. На основании этого показателя устанавливается степень выраженности пойкилоцитоза. Выделяют 4 стадии патологического процесса: Разновидности и формы Пойкилоцитоз классифицируется на основании вида деформации эритроцитов. Существует 8 форм патологического состояния: Почему возникает? Возникновению патологических изменений в строении эритроцитов способствуют следующие причины: Способствующие появлению пойкилоцитоза в общем анализе крови причины выявляются с помощью лабораторных и аппара
Оглавление

Пойкилоцитоз — это патологическое состояние, характеризующееся деформацией и нарушением функций эритроцитов. Последние представляют собой красные кровяные клетки, отвечающие за доставку кислорода в органы и ткани. Многие пациенты задаются вопросом, пойкилоцитоз — что это такое, из-за чего он возникает. Практически всегда причинами патологии являются острые или хронические заболевания.

Степень проявления

Расшифровка биохимического анализа крови содержит информацию о количестве поврежденных кровяных клеток. На основании этого показателя устанавливается степень выраженности пойкилоцитоза. Выделяют 4 стадии патологического процесса:

  • Первая. Отличается слабой степенью выраженности симптомов. Деформации подвергается 10-25% красных кровяных телец. Патология хорошо поддается терапии и редко вызывает опасные осложнения.
  • Вторая. Умеренная форма пойкилоцитоза сопровождается трансформацией 25-50% эритроцитов. Клетки перестают выполнять свои функции, из-за чего появляются признаки снижения уровня гемоглобина.
  • Третья. Выраженный пойкилоцитоз приводит к существенному ухудшению самочувствия пациента. Патология сопровождается повреждением 50-75% красных кровяных клеток.
  • Четвертая. Эта степень характеризуется деформацией всех эритроцитов. В таком случае наблюдается высокая вероятность возникновения опасных осложнений, поэтому лечение должно начинаться незамедлительно.

Разновидности и формы

Пойкилоцитоз классифицируется на основании вида деформации эритроцитов. Существует 8 форм патологического состояния:

  • Дакриоцитоз. В таком случае эритроциты приобретают овальную форму и заостренные концы. Патологическое состояние возникает на фоне железодефицитной анемии и заболеваний кроветворной системы.
  • Эллиптоцитоз. В образце крови обнаруживаются красные тельца овальной формы, имеющие скругленные края. Эллиптоцитоз характерен для выраженной анемии различного происхождения.
  • Акантоцитоз. Красные кровяные тельца в этом случае приобретают заостренные отростки, расположенные на большом расстоянии друг от друга. Наиболее часто эта форма пойкилоцитоза обнаруживается при заболеваниях печени.
  • Эхиноцитоз. Эритроциты округлой формы покрываются наростами, напоминающими шипы. Патологическое состояние развивается на фоне заболеваний пищеварительной и выделительной систем.
  • Кодоцитоз. Форма эритроцита не меняется, однако центральная часть клетки приобретает темный цвет. Такие элементы в крови обнаруживаются при отравлении тяжелыми металлами и разрушении тканей печени.
  • Дрепаноцитоз. Красные кровяные тельца приобретают удлиненную дугообразную форму. Концы клеток заостряются. Такое патологическое состояние развивается на фоне гипоксии.
  • Микросфероцитоз. Характеризуется появлением круглых элементов уменьшенных размеров. Наблюдается при тяжелом течении анемии.
  • Гидроцитоз. Эритроциты приобретают вогнутую форму. Патология возникает у пациентов, имеющих генетическую предрасположенность к стоматоцитозу. Деформированные клетки отличаются большими размерами.
  • Преобладание пузырчатых клеток. На поверхности кровяных телец образуются округлые наросты невыясненного происхождения. Патологическое состояние возникает при выраженном снижении уровня гемоглобина.

Почему возникает?

Возникновению патологических изменений в строении эритроцитов способствуют следующие причины:

  • воспалительные процессы в тканях печени (инфекционные и неинфекционные гепатиты);
  • гемолитические формы анемии;
  • дефицит фермента-пируваткиназы;
  • выраженный недостаток железа и других микроэлементов в крови;
  • токсический гепатит, развивающийся на фоне хронического алкоголизма;
  • генерализованные формы гипоксии;
  • длительное течение механической желтухи, вызываемое закупоркой желчевыводящих протоков;
  • отравление свинцом и некоторыми другими тяжелыми металлами;
  • перенесенное ранее удаление селезенки;
  • желчнокаменная болезнь;
  • злокачественные опухоли печени;
  • сепсис, вызванной ожогами и инфицированием послеоперационных ран;
  • установка искусственных сердечных клапанов;
  • дефицит витамина А;
  • генетические формы анемии;
  • злокачественные опухоли кроветворной системы;
  • тяжелое течение хронической почечной недостаточности;
  • злокачественные опухоли желудка;
  • гастрит с повышенной кислотностью;
  • массивная кровопотеря.

Способствующие появлению пойкилоцитоза в общем анализе крови причины выявляются с помощью лабораторных и аппаратных методов исследования. Деформация эритроцитов у детей 1 месяца жизни считается вариантом нормы. Об анемии речь идет при сохранении пойкилоцитоза после достижения годовалого возраста. Другими причинами изменения формы кровяных клеток являются:

  • резус-конфликт (возникает при несовместимости резус-факторов и групп крови матери и ребенка);
  • серповидноклеточная анемия (патология характеризуется снижением или повышением свертываемости крови).

Лечение

Анизоцитоз эритроцитов может свидетельствовать о наличии опасной патологии, поэтому не стоит недооценивать значение диагностики и лечения. Специальных терапевтических схем не существует. В зависимости от происхождения патологического состояния подбирается способ лечения:

  • Анемия. Восстановить уровень гемоглобина помогает употребление препаратов железа (Ферретаба, Феррум Лек). В рацион пациента включают говядину, говяжью и свиную печень, гречневую кашу, бананы, яблоки.
  • Отравления. Применяются дезинтоксикационные растворы (Гемодез). Улучшить общее состояние организма и нормализовать состав крови помогают витаминные препараты.
  • Онкологические заболевания. В этом случае назначаются химиотерапевтические средства, снижающие скорость деления раковых клеток. Восстановление функций кроветворной системы способствует нормализации состава крови. Химиотерапию нередко дополняют облучением.
  • Инфекционные заболевания. При пойкилоцитозе, вызванном активной жизнедеятельностью бактерий или вирусов, назначаются антибиотики и противовирусные средства. После устранения воспалительного процесса количество деформированных эритроцитов начинает снижаться.
  • Гипоксия. В таком случае эффективными оказываются средства, восстанавливающие кровообращение (Актовегин, Курантил).
  • Кровопотеря. Улучшить состояние пациента помогает переливание донорского материала.

Профилактика

Предотвратить развитие тяжелых форм пойкилоцитоза у ребенка или взрослого можно, регулярно сдавая общий анализ крови. К другим мерам профилактики относятся:

  • правильное питание (в рацион обязательно должны входить нежирные сорта мяса, свежие фрукты и овощи, молочные продукты);
  • организация правильного режима труда и отдыха (важную роль играет качественный ночной сон);
  • умеренные физические нагрузки (способствуют насыщению крови кислородом);
  • прием фолиевой кислоты (аптечные препараты можно заменить говяжьей печенью, пивными дрожжами, шпинатом).

Чем опасно состояние пойкилоцитоза?

Деформация эритроцитов нарушает доставку кислорода в органы и ткани. Это способствует развитию тяжелых патологических состояний (инфаркта миокарда, ишемического инсульта). При длительном течении анизоцитоза сердечная мышца пытается компенсировать дефицит кислорода, что способствует перегрузке органа.