Добавить в корзинуПозвонить
Найти в Дзене
Хвосttик

Пироплазмоз собак. Чем обрабатывать собаку от клеща и как понять, что она заболела.

Пироплазмоз(бабезиоз)- сезонное паразитарное заболевание, вызываемое у собак простейшими кровепаразитами Babesia canis. Переносчики бабезиоза- иксодовые клещи. Бабезия попадает в кровь со слюной клеща при укусе, проникает в эритроцит,где размножается и делится до тех пор пока не происходит разрыв эритроцита. Вышедшие в кровоток паразиты находят новый эритроцит и цикл повторяется. В результате, снижается количество эритроцитов и возникает кислородное голодание всех органов и тканей, ведь именно эритроциты крови доставляют в органы кислород. Из-за распада большого количества эритроцитов страдает печень и повышается билирубин. При отсутствии лечения животное погибает. Как защитить собаку. Как понять,что собака уже заболела. Даже если Вы не видели на своей собаке клеща и не снимали его, но собака не обработана от клеща, это не значит, что она не может заболеть. Клещи часто садятся на задние лапы, на бедра и собака, чувствуя укус, может сама его снять. Если у Вашей собаки наблюдаются следу
Иксодовые клещи -  переносчики пироплазмоза.
Иксодовые клещи - переносчики пироплазмоза.

Пироплазмоз(бабезиоз)- сезонное паразитарное заболевание, вызываемое у собак простейшими кровепаразитами Babesia canis. Переносчики бабезиоза- иксодовые клещи.

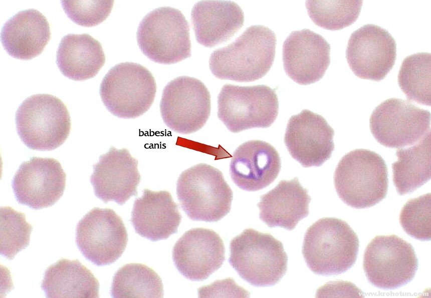
Возбудитель пироплазмоза в мазке крови.
Возбудитель пироплазмоза в мазке крови.

Бабезия попадает в кровь со слюной клеща при укусе, проникает в эритроцит,где размножается и делится до тех пор пока не происходит разрыв эритроцита. Вышедшие в кровоток паразиты находят новый эритроцит и цикл повторяется. В результате, снижается количество эритроцитов и возникает кислородное голодание всех органов и тканей, ведь именно эритроциты крови доставляют в органы кислород. Из-за распада большого количества эритроцитов страдает печень и повышается билирубин. При отсутствии лечения животное погибает.

Как защитить собаку.

  • клещ активен уже при нулевой температуре воздуха, поэтому обработку нужно начинать не в каком-то определенном месяце, а в зависимости от погодных условий.
  • по эффективности, на первом месте стоят таблетки от клеща( 100% защита), на втором - хорошие пипетки на холку( 75-85%), и на третьем - спреи и ошейники (50-70% гарантия защиты). Многие люди. начитавшись форумных критиков, боятся побочных эффектов от таблеток( что они вредны для печени). Уважаемые, пироплазмоз вреден для печени, причем так что, если собака 2 раза переболела им, на третий раз ее можно уже не спасти. И если сравнить вред от таблеток и вред от пироплазмоза, тот это будет 1/100, где 1% вреда приносят таблетки( хотя за время их использования его наличие доказано не было) и 100% вреда- это товарищ пироплазмоз.
  • Прививок от клеща не существует! Есть противопаразитарные препараты,которые колятся только если животное уже заболело пироплазмозом и они очень токсичны. Плюс защиту от клеща они держат всего 2-3 недели, тогда как даже пипетка дает защиту на месяц.

Как понять,что собака уже заболела.

Даже если Вы не видели на своей собаке клеща и не снимали его, но собака не обработана от клеща, это не значит, что она не может заболеть. Клещи часто садятся на задние лапы, на бедра и собака, чувствуя укус, может сама его снять.

Если у Вашей собаки наблюдаются следующие симптомы: вялость,отказ от корма, жажда, слабость задних конечностей, повышенная температура,оранжевый кал,кровавая или темно-коричневая моча, желтушность слизистых оболочек, то Ваша собака заболела и ее срочно нужно везти в ближайшую клинику. Для подтверждения диагноза нужно сделать мазок крови и просмотреть его под микроскопом.

Лечение:

Введение противопаразитарных препаратов, гепатопротекторов, снятие интоксикации, введение препаратов железа.

-3

Помните, проще профилактировать заболевание, чем лечить его!

Спасибо за внимание!