Добавить в корзинуПозвонить
Найти в Дзене
Coronavirus

Заболевшая коронавирусом рассказывает о симптомах

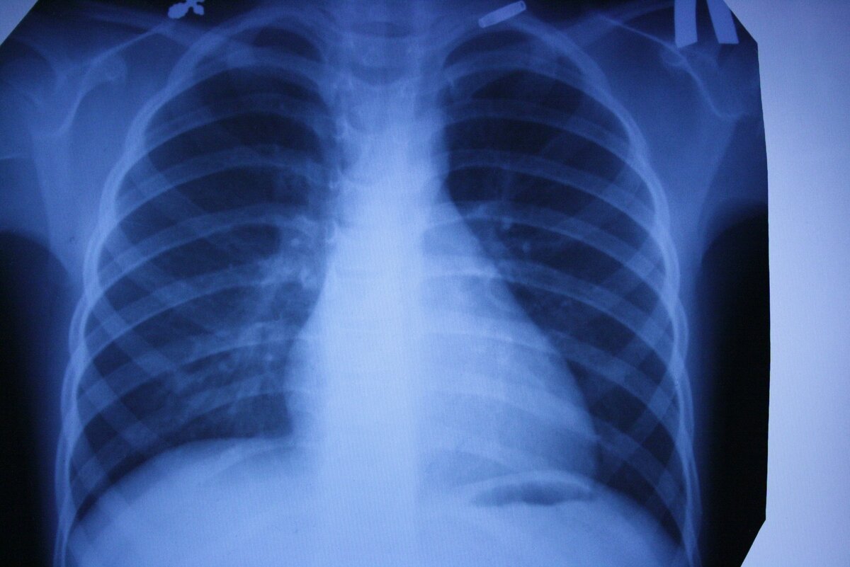
Коронавирус поражает легкие. Симптомы начинаются с лихорадки, сопровождаемой сухим кашлем, который может привести к проблемам с дыханием. По словам ученых, в среднем требуется пять дней, чтобы начать показывать симптомы, но у некоторых людей симптомы появляются гораздо позже Всемирная организация здравоохранения (ВОЗ) сообщает, что инкубационный период длится до 14 дней. Но некоторые исследователи говорят, что может быть до 24 дней.

Коронавирус поражает легкие. Симптомы начинаются с лихорадки, сопровождаемой сухим кашлем, который может привести к проблемам с дыханием.

коронавирус  поражает легкие
коронавирус поражает легкие

По словам ученых, в среднем требуется пять дней, чтобы начать показывать симптомы, но у некоторых людей симптомы появляются гораздо позже

Всемирная организация здравоохранения (ВОЗ) сообщает, что инкубационный период длится до 14 дней. Но некоторые исследователи говорят, что может быть до 24 дней.