Найти в Дзене
Всяко Разно

КТ-СКАНИРОВАНИЕ ПОКАЗАЛО, ЧТО КОРОНАВИРУС СДЕЛАЛ С ЛЕГКИМИ СТРАДАЮЩИХ КОВИД-19.

Медицинские снимки людей, страдающих КОВИД-19, вызванной SARS-CoV-2, показывают, как это заболевание влияет на легкие пациентов. КТ-сканирование стало "первой линией защиты" в диагностике подозрительных инфекций, особенно учитывая текущую нехватку тест-наборов, по данным Рентгенологического общества Северной Америки (RSNA), которое опубликовало серию снимков в нескольких научных работах. Кардиоторакальная томография, которая описывает случай 44-летнего мужчины, который был сотрудником транспортной службы на рынке морепродуктов Хуанани в Ухане, Китай, который, как полагают, является местом возникновения вспышки. Мужчина страдал от высокой температуры и кашля в течение 13 дней, когда был госпитализирован 25 декабря 2019 года. Там ему поставили диагноз - тяжелая пневмония - состояние, характеризующееся воспалением воздушных пространств в легких и острым респираторным дистресс-синдромом, согласно исследованию. В конце концов, врачи поставили ему диагноз КОВИД-2019, исключив инфекцию друг

Медицинские снимки людей, страдающих КОВИД-19, вызванной SARS-CoV-2, показывают, как это заболевание влияет на легкие пациентов.

КТ-сканирование стало "первой линией защиты" в диагностике подозрительных инфекций, особенно учитывая текущую нехватку тест-наборов, по данным Рентгенологического общества Северной Америки (RSNA), которое опубликовало серию снимков в нескольких научных работах.

Кардиоторакальная томография, которая описывает случай 44-летнего мужчины, который был сотрудником транспортной службы на рынке морепродуктов Хуанани в Ухане, Китай, который, как полагают, является местом возникновения вспышки.

Мужчина страдал от высокой температуры и кашля в течение 13 дней, когда был госпитализирован 25 декабря 2019 года. Там ему поставили диагноз - тяжелая пневмония - состояние, характеризующееся воспалением воздушных пространств в легких и острым респираторным дистресс-синдромом, согласно исследованию.

В конце концов, врачи поставили ему диагноз КОВИД-2019, исключив инфекцию другими патогенными микроорганизмами, которая может привести к пневмонии. Несмотря на усилия по его спасению, человек, к сожалению, умер примерно через неделю.

"Этот случай, произошедший при эпицентральной вспышке КОВИД-19 пневмонии, иллюстрирует потенциальную тяжесть этого заболевания, в то же время подчеркивая роль визуализации для мониторинга прогрессирования болезни",

"Более того, компьютерная томография может также играть важную диагностическую роль, особенно при отсутствии подтверждающих тестов".

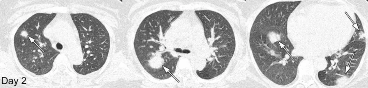
На КТ легких отчетливо видны белые пятна. Обычно это признак аномалии, которую рентгенологи называют "помутнением стекла" - или частичным заполнением воздушных пространств в легких.

Шон Йоргенсен Каллахан (Sean Jorgensen Callahan), доцент кафедры внутренних болезней Университета штата Юта, который не участвовал ни в одном из тематических исследований, сказал, что КОВИД-19 может вызвать воспаление в маленьких воздушных пространствах легких, вызывая накопление жидкости. Это означает, что кислород не может нормально переноситься из легких в кровоток.

"Когда это происходит, у пациентов может не хватать воздуха в легких, а следственно низкий уровень кислорода, кашель и другие респираторные симптомы",

Кэллахэн отметил, что важность компьютерной томографии в диагностике КОВИД-19 зависит от пациента: "Если у вас есть пациент, который, по вашему мнению, подвергся воздействию КОВИДА и имеет типичные симптомы, то рентгеновский снимок грудной клетки, который выглядит как КОВИД-инфекция, скорее всего, достаточен, и пациенту не нужна КТ", - сказал он. "Важно отметить, что мы видим много впечатляющих результатов компьютерной томографии, но эти результаты неспецифичны.

Помутнение также можно увидеть на КТ легких 54-летней женщины из Вухана, которая также заразилась новым коронавирусом, известным и атипичной пневмонией (SARS-CoV-2). Однако, в отличие от предыдущего случая, эта женщина выжила. Сканирование, проведенное после нескольких дней поддерживающего и противовирусного лечения, показало значительное улучшение степени и плотности помутнения грунтового стекла.

-2
-3

Такие помутнения наблюдаются и у пациентов, страдающих ТОРС (тяжелый острый респираторный синдром) и МЕРС (ближневосточный респираторный синдром), которые оба входят в семейство коронавирусов ТОРС-CoV-2.