Добавить в корзинуПозвонить
Найти в Дзене
bezzubov.su

Десна отходит от зуба – срочно к стоматологу!

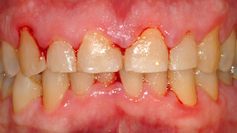
Не все придают серьезное значение, когда замечают нездоровый вид десен. Лечение народными средствами или полосканиями, использование специальных паст в определенных случаях может быть неэффективным. Как правило, только профессиональный врач сможет помочь пациенту справиться с возникшей проблемой. Если развивается пародонтит, то без лечения зубы начнут смещаться из-за давления во время жевания, потом выпадать. Вот почему при позднем визите к стоматологу цена промедления может быть намного больше, нежели это думается изначально. В статье пойдет речь о том, насколько опасным признаком является состояние, когда десна отходит от зуба. Содержание Причины Появление данного признака не просто неприятность – это следствие деформации края десны, который крепится к зубам, осуществляемого за счет эпителиоцитов. Последние по причине воспаления гибнут, что приводит к отслоению мягкой ткани. Как правило, такой процесс не начинается спонтанно. Ему предшествуют различные проблемы (симптомы гингивита)
Оглавление

Не все придают серьезное значение, когда замечают нездоровый вид десен. Лечение народными средствами или полосканиями, использование специальных паст в определенных случаях может быть неэффективным.

Как правило, только профессиональный врач сможет помочь пациенту справиться с возникшей проблемой. Если развивается пародонтит, то без лечения зубы начнут смещаться из-за давления во время жевания, потом выпадать.

Вот почему при позднем визите к стоматологу цена промедления может быть намного больше, нежели это думается изначально. В статье пойдет речь о том, насколько опасным признаком является состояние, когда десна отходит от зуба.

Содержание

Причины

Появление данного признака не просто неприятность – это следствие деформации края десны, который крепится к зубам, осуществляемого за счет эпителиоцитов. Последние по причине воспаления гибнут, что приводит к отслоению мягкой ткани. Как правило, такой процесс не начинается спонтанно.

Ему предшествуют различные проблемы (симптомы гингивита):

  • отеки;
  • гематомы или синюшность;
  • кровотечения;
  • гиперемия и прочие.
Обратите внимание. Нежелание лечить гингивит является первопричиной отхождения десен от зубов.

По мере отхождения плоти, образовавшееся пространство обсеменяется различной бактериальной микрофлорой, среди которой достаточно большая численность патогенных штаммов. Размножаясь, последние проникают глубже, провоцируют воспаления и формируют поддесневые зубные отложения.

Последнее указывает на то, что обычное, и на первый взгляд, безобидное отслоение десенной ткани, преобразовалось в серьезное заболевание – хронический пародонтит.

Кровоточивость десен – один из признаков воспалительного процесса
Кровоточивость десен – один из признаков воспалительного процесса

Уже на начальных этапах патогенеза начинается деформация костной ткани возле основания зуба и волокон, отвечающих за крепление последнего к челюсти. Это ведет к усугублению негативных явлений, в результате зубы начинают шататься.

Важно. Зубной налет по причине недостаточной гигиены ротовой полости в разы увеличивает вероятность формирования пародонтита.

Кроме самого действия бактерий, они продуцируют вредные метаболиты, увеличивающие воспаление десен. В таком случае нужна только профессиональная очистка, выполненная стоматологом. После пациенту дается инструкция по правильному уходу за зубами и полостью рта.

Генерализованный пародонтит
Генерализованный пародонтит

Однако больные не всегда спешат в клинику по разным причинам (высокая цена процедуры, нехватка времени и прочее) и начинаются заниматься самолечением.

Это приводит к тому, что бактериальный компонент не устраняется, зато сглаживается негативная клиника, что делает патогенез латентным до тех пор, пока ситуация не станет критической:

  • деформируются десна и отходят от зуба;
  • начинается разрушаться эмаль и другие твердые ткани;
  • формируются пародонтальные карманы, где находятся поддесневые зубные отложения;
  • происходит хронизация генерализованного пародонтита.
Зубной налет – одна из причин отхождения десен от зубов
Зубной налет – одна из причин отхождения десен от зубов

Диагностика

Основное обследование осуществляет стоматолог. Он осматривает ротовую полость, оценивает состояние зубов и десен, направляет пациента на рентген.

-5

По полученному фото можно оценить:

  • серьезность патологии;
  • степень разрушения костной ткани;
  • глубину образовавшихся карманов;
  • выбрать правильную лечебную тактику.

Лечение

Способ, вид и объем терапии оценивает врач, на основании детальной диагностики. Хорошие результаты удается получить на ранних стадиях патогенеза (стабильные зубы, глубина карманов не более 3 мм), когда есть все шансы полностью остановить распространения патогенеза и вылечить болезнь.

В других случаях все будет решаться в индивидуальном порядке. Основные стадии терапии указаны в таблице и подробно описаны на видео в этой статье.

Таблица. Лечение десен при отхождении от зубов:

ЭтапХарактеристика

Удаление зубных отложений Проводится тщательная чистка зубных отложений и поддесневых зубных отложений (в карманах) при помощи ультразвука, как правило, за несколько процедур.
Удаление зубных отложений Проводится тщательная чистка зубных отложений и поддесневых зубных отложений (в карманах) при помощи ультразвука, как правило, за несколько процедур.
Надлежащая гигиена полости рта Врач должен научить пациента за правильным уходом зубов и десен. Это: чистка после и перед сном, после еды использование флосса, для санации пародонтальных карманов придется пользоваться ирригатором.Ads by optAd360
Надлежащая гигиена полости рта Врач должен научить пациента за правильным уходом зубов и десен. Это: чистка после и перед сном, после еды использование флосса, для санации пародонтальных карманов придется пользоваться ирригатором.Ads by optAd360

По показаниям может быть назначено протезирование утраченных и шинирование шатающихся зубов.

Чистка зубов портативным ирригатором необходима при наличии пародонтальных карманов
Чистка зубов портативным ирригатором необходима при наличии пародонтальных карманов

Заключение

Если десна начала отходить от зуба, то нужно срочно обратиться за помощью к стоматологу. Самолечение помогает временно облегчить состояние, путем ложного купирования признаков гингивита и начала пародонтита.

Последний таким образом переходит в латентное течение и проявляется уже при хронизации патогенеза (начинают шататься и разрушаться зубы). При ранней диагностике и своевременной терапии прогноз благоприятный – заболевание полностью вылечивается.

Читать дальше...