Найти в Дзене
Блог стоматолога СПб

Брекеты: результат работы наших врачей-ортодонтов

Многим людям трудно решиться на установку брекетов: лечение длиной в 18–20 месяцев кажется вечностью. Чтобы мотивировать себя, посмотрите на результат работы наших врачей: ровные, красивые зубы, правильный прикус. Ради такой улыбки стоит потерпеть полтора года (тем более к брекетам быстро привыкают и не ощущают их). Зачем нужны брекеты, если зубы ровные? Иногда зубы могут визуально быть ровными, а прикус при этом неправильным. Но, хотя пациент не испытывает неудобств, в будущем все равно могут быть негативные последствия. Поэтому мнение врачей однозначно: прикус нужно исправлять для сохранения здоровья, а не только для красоты. Вот пример, как наша пациентка исправила глубокий прикус (при котором верхние зубы слишком сильно перекрывают нижние). Также после лечения закрылась диастема – щель между резцами. А вот еще пример: сочетание глубокого прикуса со скученностью зубов. Брекеты Damon Q (одна из наиболее популярных безлигатурных систем) позволили увеличить ширину зубного ряда, придав
Оглавление

Многим людям трудно решиться на установку брекетов: лечение длиной в 18–20 месяцев кажется вечностью. Чтобы мотивировать себя, посмотрите на результат работы наших врачей: ровные, красивые зубы, правильный прикус. Ради такой улыбки стоит потерпеть полтора года (тем более к брекетам быстро привыкают и не ощущают их).

Зачем нужны брекеты, если зубы ровные?

Иногда зубы могут визуально быть ровными, а прикус при этом неправильным. Но, хотя пациент не испытывает неудобств, в будущем все равно могут быть негативные последствия.

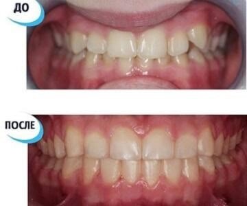
Поэтому мнение врачей однозначно: прикус нужно исправлять для сохранения здоровья, а не только для красоты. Вот пример, как наша пациентка исправила глубокий прикус (при котором верхние зубы слишком сильно перекрывают нижние). Также после лечения закрылась диастема – щель между резцами.

Пример исправления глубокого прикуса и диастемы
Пример исправления глубокого прикуса и диастемы

А вот еще пример: сочетание глубокого прикуса со скученностью зубов. Брекеты Damon Q (одна из наиболее популярных безлигатурных систем) позволили увеличить ширину зубного ряда, придав ему правильную параболическую форму, так что все зубы образовали ровный ряд. После такого лечения улыбка становится более широкой, открытой. А главное – это правильное смыкание зубов.

Пример исправлений глубокого прикуса
Пример исправлений глубокого прикуса

Глубокий прикус и скученность

Пример исправления скученности и глубокого прикуса: использованы металлические брекеты Damon Q. Хотя некоторые пациенты не хотят выбирать их из-за того, что они заметны на зубах, тем не менее с точки зрения функциональности металл ничуть не хуже керамики. Такие брекеты легко очищаются, они прочные, а главное, быстро работают. Всего 18 месяцев – и пациентка радуется красивой улыбке.

Исправление глубокого прикуса брекетами Damon Q
Исправление глубокого прикуса брекетами Damon Q

Врач-ортодонт Вероника Фокина.

Врач-ортодонт клиники «Super Смайл» Вероника Фокина
Врач-ортодонт клиники «Super Смайл» Вероника Фокина

Еще один вариант глубокого прикуса

Всего за 18 месяцев с помощью брекет-системы Damon Q исправили недостаток прикуса: на фото «до» видно, что верхние зубы перекрывают нижние, смыкание неправильное. В данном случае пациентке 25 лет – эмаль зубов еще не успела пострадать из-за нарушения прикуса, но в будущем это последствие неминуемо проявилось бы.

Исправление глубокого прикуса брекетами Damon Q
Исправление глубокого прикуса брекетами Damon Q

Дистальный прикус – в чем особенность?

Это один из вариантов, когда верхние зубы перекрывают нижние больше, чем должны, к тому же верхние зубы выдвинуты вперед. Нижняя челюсть при этом может быть меньшего размера, из-за чего подбородок кажется маленьким, скошенным. За 24 месяца брекеты Damon Q полностью исправили все недостатки прикуса. Такое лечение благоприятно сказывается не только на внешнем виде улыбки: лицо тоже становится более правильным и гармоничным.

-6

Врач-ортодонт Анна Бройтман.

Стоматолог-ортодонт клиники «Super Смайл» Анна Бройтман
Стоматолог-ортодонт клиники «Super Смайл» Анна Бройтман

Для начала лечения у ортодонта требуется подготовка: лечение всех очагов кариеса и профессиональная гигиена. Все этапы подготовки вы можете пройти в нашей клинике. Это выгодно: скачав наше приложение, вы можете накапливать бонусные баллы и тратить их на оплату за последующие этапы лечения. А благодаря программе финансового комфорта (рассрочка без переплаты) можно не откладывать лечение надолго. Все подробности вы можете узнать у наших администраторов. Для этого просто позвоните нам по телефону +7 (812) 704-81-49.

Понравилась статья? Делитесь с друзьями, ставьте лайк и подписывайтесь на наш канал «Super Смаил - центр имплантации», чтобы не пропустить новые статьи!