Добавить в корзинуПозвонить
Найти в Дзене

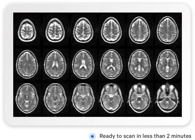
В США официально одобрен портативный МРТ-аппарат

Управление по санитарному надзору за качеством пищевых продуктов и медикаментов США разрешило продажи портативного аппарата для магнитно-резонансной томографии. Магнитно-резонансная томография активно используется для диагностики многих заболеваний, в первую очередь головного мозга, позвоночника и суставов. Недостаток технологии – в ее громоздкости: аппарат МРТ стоит от 200 тысяч долларов, весит несколько тонн и требует мощной электросети. Осенью прошлого года американская компания Hyperfine Research представила свой портативный томограф. Он не в полной мере заменяет обычное МРТ-исследование, сканирует только голову, но может использоваться для экспресс-диагностики инсульта и других проблем, а также в случаях, когда пациент не может позволить себе полное обледование. Аппарат работает от стандартной электросети, управляется с планшета, его можно приносить в палату к пациентам. Стоимость еще не озвучена, но, по заявлению компании, она в двадцать раз меньше цены стационарного МРТ. Упр

Управление по санитарному надзору за качеством пищевых продуктов и медикаментов США разрешило продажи портативного аппарата для магнитно-резонансной томографии.

Фото: hyperfine.io
Фото: hyperfine.io

Магнитно-резонансная томография активно используется для диагностики многих заболеваний, в первую очередь головного мозга, позвоночника и суставов. Недостаток технологии – в ее громоздкости: аппарат МРТ стоит от 200 тысяч долларов, весит несколько тонн и требует мощной электросети.

Осенью прошлого года американская компания Hyperfine Research представила свой портативный томограф. Он не в полной мере заменяет обычное МРТ-исследование, сканирует только голову, но может использоваться для экспресс-диагностики инсульта и других проблем, а также в случаях, когда пациент не может позволить себе полное обледование.

Фото: hyperfine.io
Фото: hyperfine.io

Аппарат работает от стандартной электросети, управляется с планшета, его можно приносить в палату к пациентам. Стоимость еще не озвучена, но, по заявлению компании, она в двадцать раз меньше цены стационарного МРТ.

Управление по санитарному надзору за качеством пищевых продуктов и медикаментов США в феврале выдало компании разрешение на продажи, которые начнутся летом, рассказывает N+1.