Найти в Дзене
Дзен-врач на приеме

Как долго нужно пить антибиотики при пневмонии?

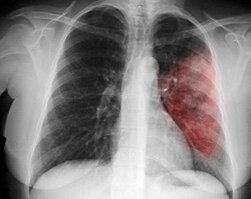
Раньше воспаление легких лечили 21 день. И это в том случае, если заболевание протекало без осложнений. Антибиотики при пневмонии обязательно вводили внутривенно или внутримышечно, а лечение проходило в больнице. Принципы современной терапии Сегодня подходы терапии существенно изменились. Воспаление легких в легкой и среднетяжелой форме лечат амбулаторно. Госпитализация в стационар требуется определенным больным: Длительность лечения В настоящее время пневмонию лечат преимущественно таблетками. Исключение составляет тяжелая форма болезни, когда пациенту требуются уколы и капельницы, а также постоянный врачебный контроль в стационаре. Длительность курса составляет от 3 до 10 дней, в редких случаях антибактериальная терапия может продолжаться 2 недели. Если врач назначает антибиотик из группы макролидов - азитромицин (Сумамед, Азицин), то его можно принимать всего лишь три дня. У этого лекарства длительный период выведения из организма. В среднем он действует около 7-10 дней. Антибиотики
Оглавление

Раньше воспаление легких лечили 21 день. И это в том случае, если заболевание протекало без осложнений. Антибиотики при пневмонии обязательно вводили внутривенно или внутримышечно, а лечение проходило в больнице.

Принципы современной терапии

Сегодня подходы терапии существенно изменились. Воспаление легких в легкой и среднетяжелой форме лечат амбулаторно. Госпитализация в стационар требуется определенным больным:

  • Пожилым людям, особенно старше 75 лет.
  • С сопутствующими заболеваниями сердца и легких, сахарным диабетом.
  • Получающим иммуносупрессивную терапию.
  • Лицам с ВИЧ-инфекцией, иммунодефицитами.
  • Детям первых лет жизни.
  • При тяжелой форме заболевания (с выраженной лихорадкой, одышкой, падением артериального давления).

Длительность лечения

В настоящее время пневмонию лечат преимущественно таблетками. Исключение составляет тяжелая форма болезни, когда пациенту требуются уколы и капельницы, а также постоянный врачебный контроль в стационаре.

Длительность курса составляет от 3 до 10 дней, в редких случаях антибактериальная терапия может продолжаться 2 недели.

Если врач назначает антибиотик из группы макролидов - азитромицин (Сумамед, Азицин), то его можно принимать всего лишь три дня. У этого лекарства длительный период выведения из организма. В среднем он действует около 7-10 дней.

Антибиотики пенициллинового ряда назначаются на 7-10 дней. Это таблетки Амоксил, Амоксиклав, Аугментин, Флемоклав, Флемоксин. Такая же длительность и при лечении цефалоспоринами. Чаще всего используется внутримышечный антибиотик Цефтриаксон.

При неэффективности вышеописанных лекарств назначают препараты резерва - фторхинолоны (они запрещены у детей). Пневмонию обычно лечат левофлоксацином (Левомак, Левофлокс) в течение 7-10 дней.

Подтверждением эффективности препарата является нормализация температуры, а также положительная динамика показателей крови. Контроль эффективности проводят через 72 часа.