Добавить в корзинуПозвонить
Найти в Дзене
Stomdevice

Как бороться с повышенной стираемостью зубов

Наличие единственного набора постоянных зубов делает человека достаточно уязвимым. Ведь кроме потери зубов, возрастных изменений зубной ткани, механических повреждений и сколов, многие люди подвержены повышенной стираемости. Попробуем разобраться, как распознать патологию, и как с ней бороться. На протяжении всей жизни наша зубная ткань постепенно стирается. Это нормальный физиологический процесс, и начинается он сразу же после появление первого зуба. С возрастом степень стираемости зубов повышается. В 30 лет стираемость ограничивается пределами эмали. К 40 годам в процесс вовлекается дентин. К 50-60 годам наблюдается значительное стирание как боковых, так и передних зубов. Наряду с физиологическим стиранием, встречается патологическое, которое характеризуется более интенсивной потерей твердых тканей зуба. К характерным признакам патологической стираемости относят грубое нарушение анатомической формы и целостности зуба (или зубов) уже в самом начале заболевания. Человека, страдающег

Наличие единственного набора постоянных зубов делает человека достаточно уязвимым. Ведь кроме потери зубов, возрастных изменений зубной ткани, механических повреждений и сколов, многие люди подвержены повышенной стираемости. Попробуем разобраться, как распознать патологию, и как с ней бороться.

На протяжении всей жизни наша зубная ткань постепенно стирается. Это нормальный физиологический процесс, и начинается он сразу же после появление первого зуба.

С возрастом степень стираемости зубов повышается. В 30 лет стираемость ограничивается пределами эмали. К 40 годам в процесс вовлекается дентин. К 50-60 годам наблюдается значительное стирание как боковых, так и передних зубов.

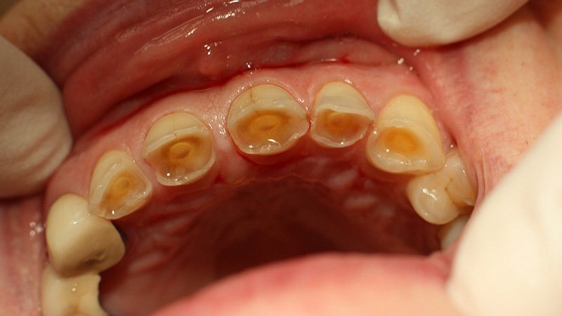
Наряду с физиологическим стиранием, встречается патологическое, которое характеризуется более интенсивной потерей твердых тканей зуба. К характерным признакам патологической стираемости относят грубое нарушение анатомической формы и целостности зуба (или зубов) уже в самом начале заболевания. Человека, страдающего этой патологией, можно легко выявить по характерным дефектам зубов, обычно воронкообразного вида.

воронкообразная стираемость
воронкообразная стираемость

Чаще всего к развитию повышенной стираемости приводит бруксизм, нарушение прикуса, неправильно установленные зубные протезы, отсутствие одного или нескольких зубов. Специфические условия работы на промышленных предприятиях также снижают прочность зубной ткани. В случае таких заболеваний, как гипоплазия, эрозия эмали, клиновидный дефект и флюороз, наблюдается патология – истонченная эмаль и недостаточная твердость костной ткани, что приводит к ускоренной деформации зуба. Кроме того, патологическая стираемость зубов возникает и при системных заболеваниях, в частности, при нарушении функции желез внутренней секреции.

Чем дольше пациент не обращает внимания на симптомы повышенного истончения, тем сложнее и заметнее становятся признаки патологии. Определить серьезность поражения зубной ткани можно по ряду признаков. Среди них встречаются: повышенная чувствительность зубов, боли во время приема пищи, изменение оттенка эмали, появление шероховатости на поверхности зуба, возникающее при сжатии ощущение слипшихся челюстей, нарушение процесса жевания и даже визуальное изменение нижней части лица.

Для борьбы с повышенным исчезновением зубной ткани используется ряд методов, обращенных, в том числе, и на профилактику дальнейшей стираемости. Основные усилия специалистов направляются на устранение этиологических факторов возникновения патологии, восстановление утраченных твердых тканей и нормализацию окклюзионных взаимоотношений. Проводится коррекция минерального обмена, лечение патологий внутренних органов, борьба с вредными привычками, установка или замена протезов. Назначают прием минерально-витаминных комплексов, электрофорез, аппликации фторсодержащих препаратов, а способные повредить окружающие ткани острые края зубов пришлифовывают. При бруксизме назначается ношение ночной защитной каппы.

защитная капа
защитная капа

Восстановление анатомической формы зубов (эмали, режущего края, коронковой части) может включать реставрацию зубов с помощью пломбировочных материалов, культевых вкладок, искусственных коронок, виниров и люминиров. В запущенных случаях протезированию должны предшествовать подготовительные мероприятия по повышению прикуса с помощью назубных и зубодесневых кап.

Если продолжительное время игнорировать стираемость зубов и вовремя не корректировать высоту прикуса, то впоследствии приобретенная патология так или иначе негативно скажется на жевательных мышцах и челюстных суставах.