Добавить в корзинуПозвонить
Найти в Дзене
Stomdevice

Материалы реставрации зубов: плюсы и минусы. 2 часть

Продолжаем разговор о материалах эстетического восстановления зубов. Вы можете прочитать первую часть статьи здесь. В случае если зуб отсутствует полностью, его можно восстановить несколькими способами. Первый способ — это установка мостовидного протеза. Для восстановления одного зуба потребуется объединить минимум три коронки — две крайние будут держаться за существующие зубы. Второй способ восстановления — фиксация коронки на имплантате. Имплантация для восстановления разрушений — наиболее надежный способ, не повреждающий соседние зубы. Имплантат выполнен из титана, он фиксируется в кости, постепенно срастается с ней и может служить очень долго. Коронки для имплантации делаются из металлокерамики или циркония. Они крепятся к имплантатам двумя способами — на цемент или на винтовое крепление. Преимущества: Недостатки: Виниры в настоящее время находятся на пике популярности. Установка виниров решает целый ряд эстетических проблем, и имеет ряд преимуществ. Эти тонкие пластины точно п

Продолжаем разговор о материалах эстетического восстановления зубов. Вы можете прочитать первую часть статьи здесь.

В случае если зуб отсутствует полностью, его можно восстановить несколькими способами. Первый способ — это установка мостовидного протеза. Для восстановления одного зуба потребуется объединить минимум три коронки — две крайние будут держаться за существующие зубы. Второй способ восстановления — фиксация коронки на имплантате.

мостовидный зубной протез
мостовидный зубной протез

Имплантация для восстановления разрушений — наиболее надежный способ, не повреждающий соседние зубы. Имплантат выполнен из титана, он фиксируется в кости, постепенно срастается с ней и может служить очень долго. Коронки для имплантации делаются из металлокерамики или циркония. Они крепятся к имплантатам двумя способами — на цемент или на винтовое крепление.

Преимущества:

  • При необходимости можно заменить коронку на новую.
  • Крепление на цемент является очень надежным.

Недостатки:

  • Снять саму коронку будет трудно.

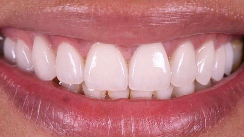
Виниры в настоящее время находятся на пике популярности. Установка виниров решает целый ряд эстетических проблем, и имеет ряд преимуществ. Эти тонкие пластины точно повторяют переднюю поверхность зуба и закрывают режущий край.

По сравнению с художественной реставрацией виниры практически не темнеют и не стираются, выглядят более естественно, особенно в том случае, когда работа проводилась над группой зубов. В отличие от ситуации с коронками, для установки накладок нет необходимости стачивать большое количество зубной ткани. Виниры не требуют специального ухода, достаточно тщательно следить за гигиеной полости рта.

К недостаткам виниров относится сравнительно высокая стоимость и невозможность самостоятельно снять накладки. Не рекомендуется также кусать твердые продукты — можно повредить установку. Кроме того, не каждому человеку разрешено ставить виниры. Если у пациента наблюдается истончение эмали, бруксизм, выраженное нарушение прикуса, накладки противопоказаны. Разнообразие виниров базируется на используемых материалах их изготовления.

Композитные виниры, или компониры изготавливаются из светоотверждаемых материалов. Это наиболее доступный тип виниров, он часто используется при сколах и трещинах эмали. Однако и у этого материала есть недостаток. Со временем компониры немного меняют цвет, особенно при курении или употреблении красящих веществ. Для сохранения внешнего вида требуется полировка. Да и срок службы таких виниров невелик — до пяти лет, но при соблюдении правил его можно продлить.

виниры
виниры

Керамические виниры широко распространены за счет того, что керамика позволяет добиваться очень эстетичного результата при высокой прочности. Стоит помнить, что при установке этого типа виниров может потребоваться обточка зуба для более плотного прилегания пластины.

Преимущества:

  • Тонкость накладки и идеальное соответствие заданной форме.
  • Отсутствие нарушения цветовых качеств.
  • Более продолжительный срок службы — 7-10 лет.

Существенный минус (как и у большинства разновидностей виниров) — необходимость аккуратного ухода. Ими нельзя кусать твердые предметы и продукты.

Циркониевые виниры — самые прочные из перечисленных, изготовлены из диоксида циркония.

Преимущества:

  • Выдерживают механическую и жевательную нагрузку.
  • Эстетичны, полупрозрачны и дают натуральный блеск.
  • Не подвержены действию красящих веществ.
  • Устойчивы к перепаду температур.
  • Требуют либо минимальной обточки зуба, либо не требуют вовсе.

Уход за винирами из диоксида циркония не отличается от ухода за другими типами виниров. Срок службы — от 10 лет для циркония с керамическим напылением, а виниры из цельного диоксида циркония прослужат 15-20 лет.

Художественная реставрация зубов стоит недешево. Гораздо выгоднее позаботиться об улыбке заранее. Тщательное соблюдение правил гигиены, бережное отношение к организму и регулярный осмотр у стоматолога позволят надолго сохранить здоровье и привлекательность. Но если возникла необходимость —реставрация зубов с применением современных материалов способна быстро вернуть улыбке естественную красоту.