Добавить в корзинуПозвонить
Найти в Дзене
Айсулу Нурдаулет

Что вы должны знать о вирусе Клетки, зараженные коронавирусом

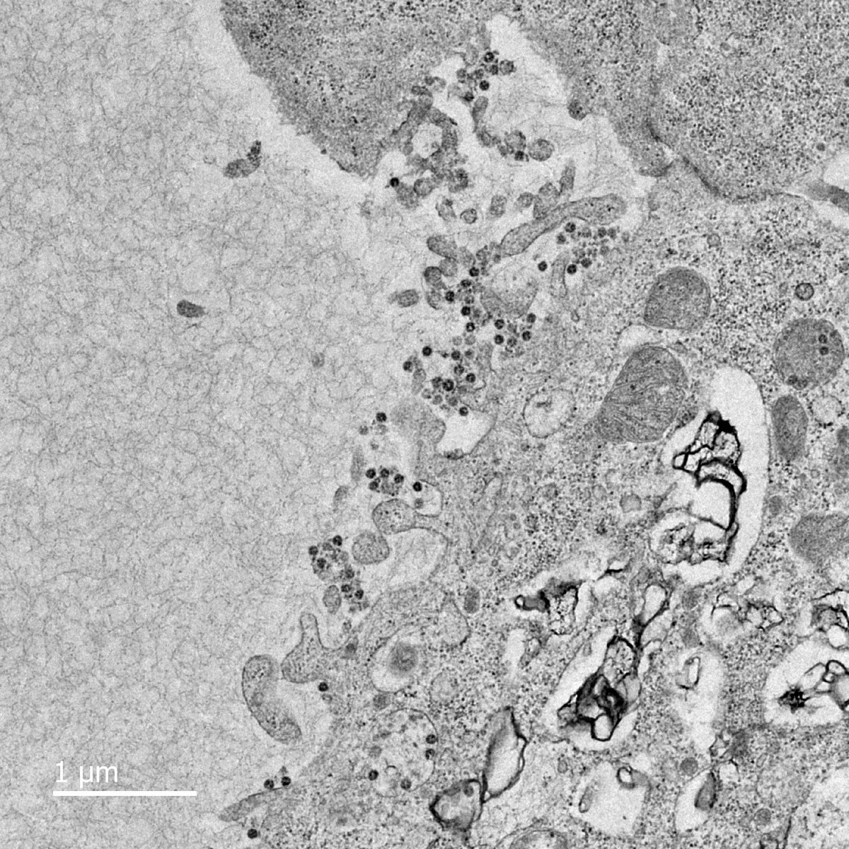
Количество смертей от коронавируса в Ухане обгоняет ОРВИ в Китае Джошуа Берлингер, Бретт Маккихан и Адам Рентон. Последнее вспышка коронавируса унесла жизни по меньшей мере 361 человека и заразила более 17 200 человек во всем мире, поскольку она продолжает распространяться за пределы Китая. Один человек за пределами материкового Китая, человек на Филиппинах, умер. Глобальное распространение: вирус был подтвержден более чем в 25 странах и территориях с момента его обнаружения в китайском городе Ухань в декабре. Гонка за сдерживание: почти 60 миллионов человек остаются взаперти в китайских городах, поскольку международные исследователи стремятся разработать вакцину и остановить ее распространение. Уханский коронавирус Что вы должны знать о вирусе Клетки, зараженные коронавирусом, взяты из образца пациента и выращены учеными в Гонконге. Клетки, зараженные коронавирусом, взяты из образца пациента и выращены учеными в Гонконге. Медицинский факультет Гонконгского университета Мы еще многое

Количество смертей от коронавируса в Ухане обгоняет ОРВИ в Китае Джошуа Берлингер, Бретт Маккихан и Адам Рентон.

Последнее вспышка коронавируса унесла жизни по меньшей мере 361 человека и заразила более 17 200 человек во всем мире, поскольку она продолжает распространяться за пределы Китая. Один человек за пределами материкового Китая, человек на Филиппинах, умер. Глобальное распространение: вирус был подтвержден более чем в 25 странах и территориях с момента его обнаружения в китайском городе Ухань в декабре. Гонка за сдерживание: почти 60 миллионов человек остаются взаперти в китайских городах, поскольку международные исследователи стремятся разработать вакцину и остановить ее распространение.

-2

Уханский коронавирус

Что вы должны знать о вирусе Клетки, зараженные коронавирусом, взяты из образца пациента и выращены учеными в Гонконге. Клетки, зараженные коронавирусом, взяты из образца пациента и выращены учеными в Гонконге. Медицинский факультет Гонконгского университета Мы еще многое не знаем о коронавирусе, и ученые всего мира стремятся собрать данные и разработать лечение. Вот что мы можем вам сказать: Есть ли лекарство? Не в данный момент. Исследователи успешно выращивают вирус в лаборатории, что является важным шагом на пути к разработке вакцины, но может пройти год или больше, пока она не станет доступной. Каковы симптомы? Симптомы коронавируса могут выглядеть как грипп, лихорадка, проблемы с дыханием. Если вы показываете эти симптомы и недавно уехали в Китай, или были в контакте с кем-то, кто посещал, специалисты советуют сходить к врачу. Как распространяется вирус? Считается, что вирус распространяется от человека к человеку через дыхательные капельки, выделяющиеся при кашле или чихании, но неясно, когда именно человек становится заразным. В настоящее время нет никаких доказательств того, что вирус находится в воздухе, то есть, например, он не распространяется через большую комнату. Кто подвержен риску заражения? Люди всех возрастов могут быть заражены этим вирусом, но пожилые люди и люди с уже существующими заболеваниями особенно уязвимы для серьезных осложнений. Как я могу защитить себя? Примите те же меры предосторожности, что и во время сезона гриппа. Часто мойте руки с мылом и водой, прикрывайте нос и рот, когда вы чихаете или кашляете, избегайте тесного контакта с людьми или большими скоплениями людей и носите маску для лица. Безопасно ли путешествовать? Авиакомпании приостановили полеты, и тысячи иностранных граждан в китайском городе Ухань были эвакуированы обратно в свои страны. Многие страны, в том числе США, рекомендовали не ездить в Китай.

-3

Китайские рынки открылись впервые после лунного Нового года сегодня с большими потерями От CNN Business 'Лора Хе в Гонконге Китайские акции упали в понедельник в первый день, когда инвесторы могли отреагировать на вспышку коронавируса более чем через неделю. Shanghai Composite открылся снижением на 9%. Индекс компонентов в Шэньчжэне также резко упал на 9%. Оба по-прежнему снижаются более чем на 7%. Фондовые биржи в Шанхае и Шэньчжэне были закрыты с 24 января на Лунный Новый год. Рынки в других местах резко упали на прошлой неделе, так как страхи по поводу вируса усилились. Более 14 300 человек были инфицированы, подавляющее большинство из них в материковом Китае. Китай заявил до открытия рынков, что он будет качать миллиарды долларов на свои рынки, чтобы поддерживать их стабильность. В воскресенье Народный банк Китая заявил, что он направит 1,2 триллиона юаней (173 миллиарда долларов) на китайские рынки, используя покупку краткосрочных облигаций, чтобы укрепить способность банков кредитовать деньги. Эта мера поможет поддерживать «достаточно большую ликвидность» в банковской системе и поддерживать стабильность валютных рынков. Чистый объем ликвидности, вводимой на рынки, будет значительно ниже. Согласно расчетам Reuters с использованием данных центрального банка, в понедельник срок погашения других краткосрочных облигационных соглашений превысит 1 триллион юаней. Это приводит к тому, что чистая сумма денежных потоков на рынки снизилась до 150 млрд юаней (22 млрд долларов).

-4

Как вспышка коронавируса стала глобальной за два месяца Первый случай коронавируса был обнаружен в центральном Китае в начале декабря. Теперь, спустя почти два месяца, это глобальная чрезвычайная ситуация, в которой зарегистрировано более 17 205 случаев по всему миру. Вот оглянемся на то, как мы сюда попали: 8 декабря: у первого пациента развились симптомы коронавируса Ухань 31 декабря: о самых ранних случаях заражения вирусом сообщили во Всемирную организацию здравоохранения (ВОЗ) 1 января: Рынок морепродуктов и дикой природы в Ухани, где, как считается, произошла вспышка, закрыт для дезинфекции 7 января: китайские ученые идентифицируют патогенный микроорганизм как новый штамм коронавируса 9 января: первая смерть связана с вирусом 20 января: сообщалось о случаях в Пекине и Шэньчжэне 23 января: Ухань заблокирован, движение остановлено в городе или за его пределами. В общей сложности 60 миллионов человек страдают от ограничений на поездки в Ухань и соседних городах. ВОЗ заявляет, что вирус еще не является чрезвычайной ситуацией в области общественного здравоохранения, имеющей международное значение 28 января: число погибших превысило 100. Количество подтвержденных случаев заболевания в материковом Китае превышает смертельную вспышку атипичной пневмонии в 2003 году. 30 января: ВОЗ объявляет чрезвычайную ситуацию в области общественного здравоохранения, имеющую международное значение 31 января: число погибших 200 1 февраля: число погибших достигает 300 2 февраля: первая смерть от коронавируса в Ухане за пределами материкового Китая.

Канада получила 325 запросов на помощь при отъезде из провинции Хубэй из-за коронавируса От Артемиды Моштагян CNN Канадские официальные лица направили 325 запросов о помощи при отъезде из провинции Хубэй в Китае из-за коронавируса Ухань, говорится в сообщении, полученном CNN от Global Affairs Canada. В заявлении говорится, что Оттава пытается зафрахтовать самолет, чтобы доставить канадцев из Ухани обратно в Канаду. В настоящее время в провинции Хубэй насчитывается 543 канадца, которые зарегистрировались в добровольной службе регистрации канадцев за рубежом. Поскольку регистрация является добровольной, это число не является полной картиной канадцев в регионе или в Китае, говорится в заявлении. По сообщению Global Affairs Canada, только гражданам Канады, которые въехали в Китай с канадским паспортом, будет разрешено сесть на самолет обратно в Канаду. Кроме того, для посадки в самолет гражданам Канады потребуется действующий канадский паспорт и действующая китайская виза. Канадцы, появившиеся с симптомами, не смогут подняться на борт самолета, сообщает Global Affairs Canada. Страна все еще определяет протоколы для канадцев после их прибытия в Канаду.

Игровые доходы в Макао в январе снизились более чем на 10%. Коронавирус может быть виноват Посетители надевают маски для лица, когда они сидят в отеле-казино Venetian в Макао 22 января. 22 января посетители сидят в масках для лица, когда они сидят в отеле-курорте в венецианском казино в Макао. ANTHONY WALLACE / AFP via Getty Images Валовой доход от азартных игр на китайской территории Макао, крупнейшего в мире места для азартных игр, снизился на 11,3% в январе 2020 года по сравнению с январем 2019 года, сообщили власти в понедельник. Макао подтвердил несколько случаев вируса, и вспышка оказала разрушительное влияние на туризм в игорном анклаве, который в значительной степени зависит от посетителей материкового Китая. Правительство города предприняло значительные шаги, чтобы остановить распространение вируса. Всем жителям провинции Хубэй и нерезидентам, которые ездили в Хубэй в течение последних 14 дней, будет отказано во въезде в Макао, пока они не покажут письмо врача, подтверждающее, что они ясны, по словам министра по делам администрации и юстиции Чонга Вэньчона.

Количество подтвержденных случаев заболевания коронавирусом в Ухане в Китае увеличилось до 17 205 От Стивена Цзяна CNN в Пекине Национальная комиссия здравоохранения Китая заявила, что в конце воскресенья общее количество подтвержденных случаев коронавируса в материковом Китае составило 17 205, что на 2829 больше, чем в предыдущий день. Число погибших в Китае по состоянию на воскресенье составляет 361, что превышает количество людей, погибших в стране во время вспышки атипичной пневмонии в 2003 году. В субботу на Филиппинах погиб один человек - о смерти сообщили за пределами Китая.

Тайский врач говорит, что пациенту с коронавирусом лечили новую комбинацию лекарств Из Коча Оларн CNN в Бангкоке Врачи в Таиланде говорят, что они успешно лечили одного пациента с коронавирусом в Ухане с помощью комбинации противовирусных препаратов, сообщается в воскресенье на брифинге Министерства здравоохранения. Доктор Криангсак Атипорнванич, врач в больнице Раджавити в Бангкоке, сказал, что он лечил 71-летнюю пациентку из Китая комбинацией лекарств, используемых для лечения ВИЧ и гриппа. Он сказал, что пациент ранее лечился только лекарствами против ВИЧ. «Я лечил пациента с тяжелым состоянием, и результат был очень удовлетворительным. Состояние пациента улучшилось очень быстро в течение 48 часов. И результат теста также изменился с положительного на отрицательный в течение 48 часов », - сказал Атипорнванич. Официальные лица на пресс-конференции заявили, что последний лабораторный тест показал, что в дыхательной системе пациента нет никаких следов вируса. Доктор Энтони Фаучи, директор Национального института аллергии и инфекционных заболеваний в Национальных институтах здравоохранения США, сказал CNN на прошлой неделе, что в настоящее время нет проверенных эффективных лекарств для лечения вируса. Больницы в Пекине сообщили, что применяют те же лекарства, что и ВИЧ, а пациенты с СПИДом являются частью лечения коронавируса Ухань, хотя неясно, были ли они успешными. ИСПРАВЛЕНИЕ: Это сообщение было обновлено, чтобы точно отражать количество пациентов, успешно пролеченных.