Найти в Дзене

Что такое абсцесс зуба?

Что такое абсцесс зуба? Абсцесс зуба правильнее будет называть абсцессом околозубных тканей (десны, кости, связочного аппарата) или флюсом. Болезнь сопровождается отеком лица, повышением температуры, ухудшением самочувствия. При отсутствии лечения флюс может привести к опасным осложнениям, поэтому необходимо знать, как правильно лечить абсцесс зуба. Почему возникает абсцесс зуба? Причиной возникновения абсцесса является инфекция, находящаяся в зубе (корневой канал, связки) или окружающих его тканях (лунка челюсти, десна, слизистая оболочка). Обычно организм сдерживает распространение микробов, но при ослаблении иммунитета (простуда, изнуренность, стресс) может нарушаться его барьерная функция. Абсцесс зуба может появиться также после травмы (удар по зубам, падение), из поврежденных сосудов кровь выходит в окружающие ткани, образуя припухлость. Плохая гигиена полости рта, обилие зубного налета и камней так же являются источником инфицирования, и у человека со слабым иммунитетом могут
Оглавление

Что такое абсцесс зуба?

Абсцесс зуба правильнее будет называть абсцессом околозубных тканей (десны, кости, связочного аппарата) или флюсом. Болезнь сопровождается отеком лица, повышением температуры, ухудшением самочувствия. При отсутствии лечения флюс может привести к опасным осложнениям, поэтому необходимо знать, как правильно лечить абсцесс зуба.

Почему возникает абсцесс зуба?

Причиной возникновения абсцесса является инфекция, находящаяся в зубе (корневой канал, связки) или окружающих его тканях (лунка челюсти, десна, слизистая оболочка). Обычно организм сдерживает распространение микробов, но при ослаблении иммунитета (простуда, изнуренность, стресс) может нарушаться его барьерная функция.

Абсцесс зуба может появиться также после травмы (удар по зубам, падение), из поврежденных сосудов кровь выходит в окружающие ткани, образуя припухлость. Плохая гигиена полости рта, обилие зубного налета и камней так же являются источником инфицирования, и у человека со слабым иммунитетом могут вызвать флюс.

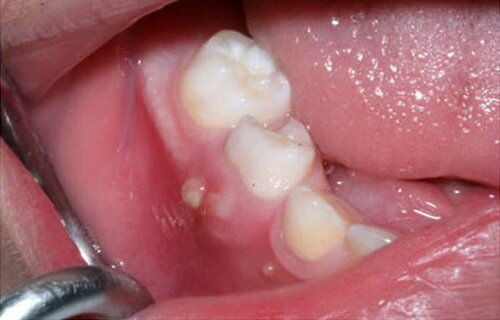
Признаки и симптомы заболевания

Симптомы абсцесса зуба заключаются в появлении припухлости со стороны щеки или неба. Слизистая оболочка над ним становится красной, может появиться свищ с выделением гноя. Человек ощущает боль сначала при прикосновении к абсцессу, а затем и в покое. Температура тела повышается до 38 градусов, ухудшается состояние.

Абсцесс зуба можно перепутать с некоторыми другими заболеваниями, чаще всего с доброкачественными новообразованиями. Отличие между ними в том, что последние безболезненны, не вызывают неприятных симптомов. На сайте можно задать вопрос врачу, который поможет опознать болезнь по признакам и точно поставить диагноз.

Как лечить абсцесс зуба

После появления абсцесса необходимо лечить причинный зуб. Лечение может заключаться в обработке корневых каналов, их дезинфекции и пломбировке. Если же отек большой, то проводят разрез десны и удаление зуба. Затягивать с посещением стоматолога и заниматься самолечением при появлении флюса не рекомендуется.

Акции