Найти в Дзене

Общий наркоз всего лишь из-за зубов?

☝️Наверное такая мысль пробегает у всех родителей, когда их детям по показаниям назначают лечение во сне.
«Да лечили раньше как-то, ну поорет, мы подержим - зато без всяких наркозов» 😡
Качество лечения при таком подходе нулевое вне зависимости от опыта стоматолога. Ну невозможно вылечить КАЧЕСТВЕННО, когда ребёнок кричит и пытается вырваться.
Стоит ли вообще говорить, какой психологический вред наносит такое лечение? 🤦‍♀️
Родители, поймите, врач не назначит наркоз там, где можно обойтись без него, и не возьмётся за такое лечение, если есть хоть малейшее сомнение в 100% успешности операции‼️
Совсем недавно к нам приходили родители с ребёнком 10 лет, которые ПРОСИЛИ полечить зубы под наркозом. Но из-за сопутствующих заболеваний, которые могут повлиять на ход процедуры, врач отказал 🙅‍♂️ в её проведении и направил в стационар.
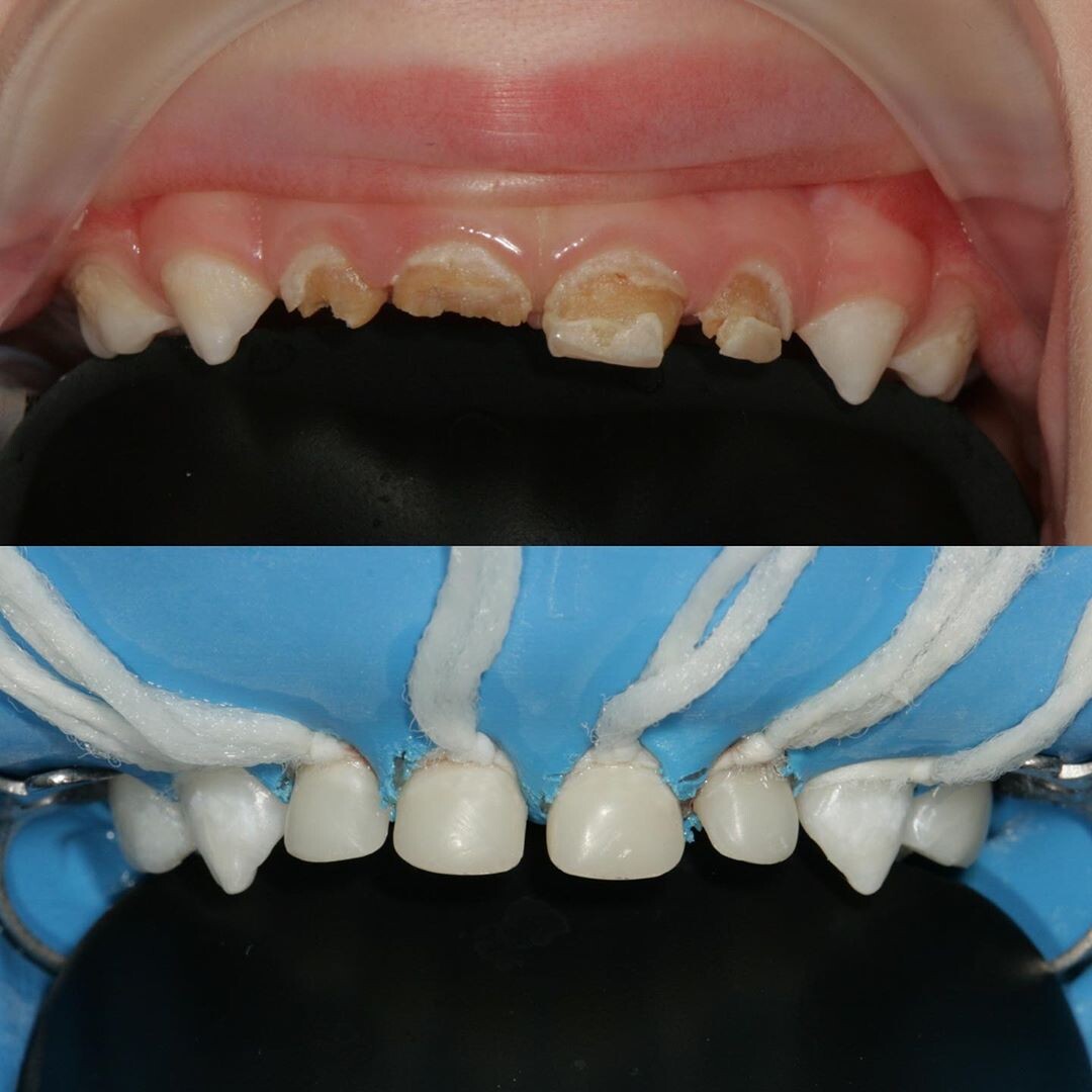
⠀ На фото вы видите результат трехчасового наркоза, за время которого было вылечено 4 пульпита и 2 кариеса... Улыбка засияла ✨ ✅Безопасность в это время

Из-за каких-то зубов, которые через 3-4 года выпадут?! 😲

☝️Наверное такая мысль пробегает у всех родителей, когда их детям по показаниям назначают лечение во сне.

«Да лечили раньше как-то, ну поорет, мы подержим - зато без всяких наркозов» 😡
Качество лечения при таком подходе нулевое вне зависимости от опыта стоматолога. Ну невозможно вылечить КАЧЕСТВЕННО, когда ребёнок кричит и пытается вырваться.
Стоит ли вообще говорить, какой психологический вред наносит такое лечение? 🤦‍♀️

Родители, поймите, врач не назначит наркоз там, где можно обойтись без него, и не возьмётся за такое лечение, если есть хоть малейшее сомнение в 100% успешности операции‼️

Совсем недавно к нам приходили родители с ребёнком 10 лет, которые ПРОСИЛИ полечить зубы под наркозом. Но из-за сопутствующих заболеваний, которые могут повлиять на ход процедуры, врач отказал 🙅‍♂️ в её проведении и направил в стационар.

На фото вы видите результат трехчасового наркоза, за время которого было вылечено 4 пульпита и 2 кариеса... Улыбка засияла ✨

✅Безопасность в это время контролирует анестезиолог-реаниматолог и его ассистенты. Они непрерывно следят за всеми показателями, контролируют глубину наркоза, чтобы в организм ребёнка поступало ровно столько препарата, сколько нужно именно ему, исходя из индивидуальных особенностей.

Все лечение прошло в один визит. После пробуждения ребёнок отдохнул в комнате сна, получил приятный подарок и в хорошем настроении уехал домой 🙌
Теперь мы с ним будем видеться на профилактических осмотрах раз в полгода 😉