Добавить в корзинуПозвонить
Найти в Дзене
Stom Today

Виниры. Установка виниров в Москве. Рейтинг клиник.

Современный мир - мир активного движения к своим идеалам и достижения высоких, иногда даже самых амбициозных целей. Сейчас стремление человека к идеалу во всех отношениях вполне логично и объяснимо, а что самое удивительное — реально осуществимо. Улыбка - визитная карточка каждого из нас, она уже давно стала составной частью общего имиджа. С развитием стоматологических технологий способов создания идеальной улыбки появилось великое множество. Одним из наиболее качественных и оправданных методов являются керамические виниры. Установка керамических виниров - не единственный метод изменения внешнего вида вашей улыбки, однако он уже давно успел доказать свою состоятельность и убедить большое количество людей в своих преимуществах. Можно долго спорить о превосходстве данного метода над другими, однако остается фактом, что большинство специалистов-стоматологов Москвы склоняется к тому, что такой метод не имеет недостатков вообще. Сам винир представляет собой тонкую керамическую накладку
Виниры. Установка виниров в Москве. Рейтинг клиник.
Виниры. Установка виниров в Москве. Рейтинг клиник.

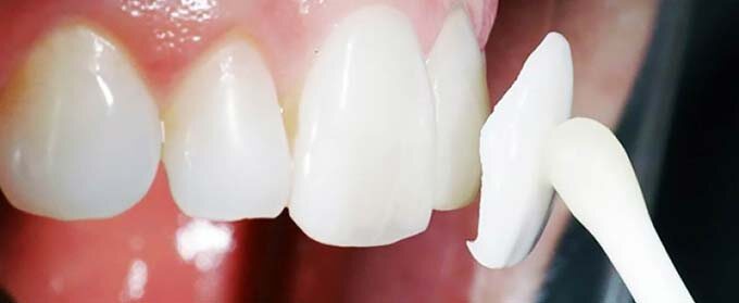
Современный мир - мир активного движения к своим идеалам и достижения высоких, иногда даже самых амбициозных целей. Сейчас стремление человека к идеалу во всех отношениях вполне логично и объяснимо, а что самое удивительное — реально осуществимо. Улыбка - визитная карточка каждого из нас, она уже давно стала составной частью общего имиджа. С развитием стоматологических технологий способов создания идеальной улыбки появилось великое множество. Одним из наиболее качественных и оправданных методов являются керамические виниры.

Установка керамических виниров - не единственный метод изменения внешнего вида вашей улыбки, однако он уже давно успел доказать свою состоятельность и убедить большое количество людей в своих преимуществах. Можно долго спорить о превосходстве данного метода над другими, однако остается фактом, что большинство специалистов-стоматологов Москвы склоняется к тому, что такой метод не имеет недостатков вообще. Сам винир представляет собой тонкую керамическую накладку на поверхность зуба, которая одновременно создает идеальный визуальный эффект линии улыбки и защищает зубы от воздействия внешних факторов. Главным же достоинством виниров является то, что современные технологии позволяют минимизировать воздействие на зуб, так создание потрясающего визуального эффекта абсолютно не связано с ущербом для ваших “родных” зубов и тем более их здоровья. Кроме того, керамическими винирами можно исправить не только цвет ваших зубов, но и скорректировать их форму, таким образом у сильно искривленного зубного ряда также есть шанс на идеальное преображение. Данная технология протезирования практически не имеет минусов и негативных отзывов. Ходит много мифов о винирах, например, такие как: виниры портят родные зубы, изменяют цвет и через пару-тройку их нужно менять. Хочу вас уверить, что виниры носят не 2, 3 и даже не 5 лет. Срок службы керамического виниры от 20 до 40 лет в зависимости от ухода за полостью рта. Также остается фактом, что виниры не окрашиваются, их устанавливают на вылеченные зубы и впоследствии они выполняют защитную функцию для зуба, не давая внешним факторам его разрушить.

Данный вид протезирования быстро набирает обороты в Москве и Московской области, уже более 350000 человек запротезировавшихся винирами, с легкостью развеют ваши сомнения, а главное поразят вас своей уверенной улыбкой.

Большинство клиник уже давно используют инновационный метод протезирования и могут похвастаться не только объемом выполненных работ, но и высочайшим качеством материалов для изготовления виниров. Как показало независимое исследование, к сожалению, не все клиники Москвы могут похвастаться наличием такого качества материалами, из которых изготавливаются непосредственно виниры.

В связи с этим, было бы логично оценить наиболее популярные стоматологии Москвы по основным для потребителей критериям.

-2

Наличие необходимого оборудования.

Здесь стоит отметить клиники ДентаВита, располагающие широким спектром оборудования для диагностики, лечения, протезирования и эстетики зубного ряда. Заслуженное серебро в данной категории принадлежит московской клинике CERECON, которая может предложить пусть не столь широкий выбор оборудования, однако новинки рынка стоматологических “гаджетов” здесь внедряют быстрее и намного активнее. Стоматологическая клиника AGAMI также располагает довольно хорошим оборудованием, однако оно в основном ориентировано на имплантологию, из-за чего не совсем универсально. Стоматологии под громким названием “Все свои” позиционируют себя как семейные, однако оборудования им явно не хватает.

-3

Наличие специалистов с опытом работы и обучение

Выделить явного лидера в данной категории довольно сложно, т.к. все топовые стоматологии Москвы не имеют избытка в квалифицированных специалистов, в связи с чем активно повышают их уровень и наличие опыта. При этом почти все клиники обучают специалистов путем участия в тематических мероприятиях на территории Москвы и за рубежом. В отличие от большинства клиник, стоматология CERECON открыла базе учебный центр на своей базе, в котором преподают не только специалисты России, но и специалисты Европы, Америки и Японии.

-4

Комплексность услуг

Здесь явным лидером является клиники CERECON и AGAMI, которые на протяжении длительного времени фигурируют на рынке стоматологических услуг Москвы, в связи с чем модифицировались в универсальные. Здесь оказывается весьма широкий комплекс стоматологических услуг: начиная от диагностики и эстетики линии улыбки, до сложной ортодонтии и челюстной хирургии. Сеть стоматологий “Все свои”, активно позиционирующая себя в качестве семейных, имеет довольно широкий спектр оказываемых услуг, однако в то же время явно ориентируется на наиболее распространенные проблемы зубов.

-5

Месторасположение и комфорт клиники.

Данная категория вызвала наибольшее количество споров в среде редакционного коллектива, т.к. нужно было оценить наибольшее количество факторов.

Клиники ДентаВита располагают широкой сетью, которая располагается по всей Москве, однако все они расположены в довольно “активных” районах столицы, в связи с чем довольно часто возникают проблемы с транспортной развязкой и парковкой. Проанализировав информацию ЯндексПробок, можно в этом убедиться. Станции метро, в местах нахождения клиник сети, довольно загружены и это также может создавать проблемы для клиентов. Сеть “Все свои” имеет иные проблемы - ее клиники расположены в значительном отдалении от станций метро, зачастую располагают недостаточным количеством места на парковках и неудобную транспортную развязку. Анализируя все “за и против” - приходим к выводу, что лидером по данному критерию становится стоматология CERECON. Клиника расположена в наименьшем удалении от станций метро, что обеспечивает удобный доступ к центру. Клиника на станции “Технопарк” расположена всего в 200 метрах от метро на территории большого торгового центра, где клиенты не испытают проблем с парковкой и досугом. К слову, 4 часа на крытой парковке центра стоят всего 50 рублей.

Проанализировав все показатели, можно сделать вывод о том, что стоматология CERECON, хоть и не хватает звезд с неба, но вполне уверенно чувствует себя на рынке стоматологических услуг Москвы и помимо всего спектра стоматологических услуг может предложить большое количество приятных бонусов.