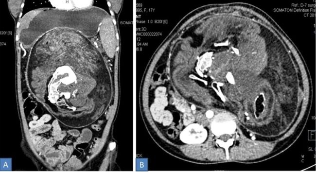
Согласно новому сообщению, у подростка в Индии была обнаружена странная масса костей, зубов и «волосатого сырного материала» в ее животе. Это был ее собственный "близнец", растущий внутри нее, в результате крайне редкого состояния, называемого " плод в плоде ". Согласно отчету, опубликованному 12 августа в журнале BMJ Case Reports, 17-летняя девочка обратилась к врачу после того, как у нее образовался опухоль в животе, который постепенно увеличивался в размерах в течение последних пяти лет . Подросток сказал врачам, что иногда она испытывала боль в животе и чувство сытости, даже когда она не ела много еды. КТ показала, что у подростка была большая масса в животе, которая, по-видимому, содержала множественные кости, «напоминающие форму позвонков, ребер и длинных костей», пишут авторы. Врачи поставили диагноз подростку с плодом у плода, состояние, которое, по оценкам, встречается только у 1 из 500 000 человек во всем мире. Новый случай еще более необычен, потому что он был диагностир
Врачи находят массу костей, зубов и волос в животе подростка. Это был ее собственный близнец
28 декабря 201928 дек 2019
4
3 мин
