Найти в Дзене
BBTAPE.RU

Применение кинезио тейпов при сколиозе

На кафедре реабилитации и спортивной медицины РНИМУ с марта 2013 г. проводилась работа по практическому применению метода кинезиотейпирования в реабилитации пациентов с ортопедической и невро­логической патологией. Варианты тейпирования при сколиотической болезни, рекомендуемые на многочисленных курсах обучения кинезиотейпингу, были оставлены, т.к. по нашему мнению, данные подходы кардинально не могут изменить течение основного заболевания. Поиск информации по лечебному тейпированию при сколиозах не дал никаких результатов, связанных с разработанными и обоснованными клиниче­скими подходами. И поскольку, у нас в практике есть методы, которые часто приводят к полному исцелению или выраженной положительной динамике при данной патологии, то тейпирование рассматривалось как вспомогательная процедура, которая с высокой результативностью уби­рает какие-либо негативные последствия комплексной реабилитации. Особенно это касалось применения методики корсетирования по Шено. По нашим данным (ана
Оглавление

На кафедре реабилитации и спортивной медицины РНИМУ с марта 2013 г. проводилась работа по практическому применению метода кинезиотейпирования в реабилитации пациентов с ортопедической и невро­логической патологией. Варианты тейпирования при сколиотической болезни, рекомендуемые на многочисленных курсах обучения кинезиотейпингу, были оставлены, т.к. по нашему мнению, данные подходы кардинально не могут изменить течение основного заболевания. Поиск информации по лечебному тейпированию при сколиозах не дал никаких результатов, связанных с разработанными и обоснованными клиниче­скими подходами. И поскольку, у нас в практике есть методы, которые часто приводят к полному исцелению или выраженной положительной динамике при данной патологии, то тейпирование рассматривалось как вспомогательная процедура, которая с высокой результативностью уби­рает какие-либо негативные последствия комплексной реабилитации. Особенно это касалось применения методики корсетирования по Шено. По нашим данным (анализ опыта 10 лет) до применения тейпирования болевой синдром в начальной фазе использования корсета длился от 1 до 1,5 мес., во многих случаях характеризовался выраженной тяжестью, что иногда приводило к отказу от применения или нарушению режима корсетирования. С применением тейпирования самый длительный период сохранения болевого синдрома был 11 дней. В других случаях тейпирование выступало методом, значительно увеличивающим эффективность других реабилитационных методик. В статье будет показана разносто­ронняя активация мышечных групп, которая приводит к таким положи­тельным результатам.

Цель исследования

Повышение эффективности реабилитационных мероприятий при ско­лиозе на основе использования кинезиотейпирования.

Материалы и методы исследования

Объектом исследований являлись пациенты различных отделений Рос­сийской Детской Клинической Больницы (РДКБ), амбулаторные пациенты в возрасте от 9 до 25 лет с диагнозом сколиоз (Табл. 1). Здесь мы намеренно говорим о пациентах достаточно взрослых, т.к. результаты корсетирования после окончания фазы роста были также очень положительными.

 

Таблица 1. Список основных диагнозов

Заболевания, синдромы, нарушенияDiseases, syndromes, disturbancesСколиозScoliosisКифозKyphosis (gibbus)  

Наблюдаемым пациентам проводился клинический ортопедический осмотр с анализом интенсивности и длительности болевого синдрома позвоночника, определением объёма движений в суставе(ах), анализом динамики изменения различных патологических симптомов, нарушений, анализом результатов стабилометрических исследований.

Методика работы

В работе использовались кинезио тейпы BBTape («Bio Balance Tape») (Корея). Изначально техни­ческое выполнение метода кинезиотейпинга осуществлялось не только согласно классическим теоретическим подходам, но часто, основной за­дачей ставилась ликвидация болевого синдрома при корсетировании по методу Шено,а не лечение основного заболевания тейпированием. Тейпирование проводилось курсом, зависящим от продолжительности го­спитализации больного или был взят промежуток применения тейпирования длительностью 1 месяц, с интервалом между наложением тейпов в 4-7 дней. Мы поставим акцент на том, что многие пациенты не приме­няли повторное тейпирование через 4 дня [7, 9] , поскольку даже 1 сеанса тейпирования в неделю хватало на то, чтобы обеспечить выраженный тот или иной предполагаемый результат.

Результаты исследования

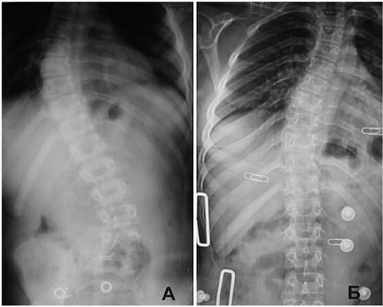
Пример №1. Пациент П., возраст 13 лет. Диагноз: ДЦП, спастическая диплегия. Комбинированный сколиоз III ст. Жалобы: Выраженные боли в нижней части грудной клетки справа по средне-ключичной и подмышеч­ной линии и в поясничном отделе позвоночника. На рис. 1 (А - Без кор­сета, Б - в корсете) показана сравнительная рентгенография первичного корсетирования по методу Шено (Первая неделя применения, промежу­ток между снимками 5 мин.).

-2

Рис. 1. Рентгенография позвоночного столба, пациент П

Как уже было сказано, такая выраженная коррекция почти всегда со­провождается болевым синдромом, который в данном случае очень силь­но ограничил другую реабилитацию, направленную на лечение как ДЦП, так и сколиоза. Пациенту было проведено тейпирование (Рис. 2).

-3

Рис. 2. Вариант тейпирования

Техника тейпирования: Послабляющая коррекция (натяжение - 30%) на поясничный отдел позвоночника с лимфотейпированием (натяжение - 5%) к паховым лимфоузлам. Результат первичного тейпирования: Пол­ное купирование боли в области поясничного отдела позвоночника, выра­женное уменьшение болевого синдрома в области нижней части грудной клетки через 24 часа. Полное купирование болевого синдрома в области грудной клетки через 38 часов. В течение всего остального периода по­сле первичного тейпирования болевой синдром отсутствовал как в покое, так и при нагрузке. Тейпирование было повторно проведено через 7 дней на основе появления слабых начальных проявлений болевого синдрома. На приведенных результатах стабилометрического исследования (табл. 2, рис. 3), проведенного перед тейпированием и через сутки после тейпи- рования, отмечается выраженная положительная динамика, связанная с централизацией пациента, уменьшение показателя «~ X» с 14,9 до 4,36, усилением стабильности и повышением опороспособности: уменьшение «V» с 9,28 до 8,46; «S» - с 92,0 до 76,9; увеличение индекса стабильно­сти, уменьшение энергоиндекса.

Таблица 2. Результаты стабилометрического исследования

-4

анный пример показан первым специально для того, чтобы проде­монстрировать тяжесть всей клинической картины, поскольку в рассма­триваемом случае диагноз и течение сколиотической болезни были силь­но осложнены основным диагнозом ДЦП. Но, несмотря на сочетание двух тяжелых патологий, проведенное тейпирование дало хороший по­ложительный результат, который сразу же был отмечен специалистами, выполнявшими другие методы ЛФК, в виде увеличения двигательного паттерна пациента, появления способности к выполнению новых упраж­нений, введение в реабилитацию новых вариантов выполнения методик, более сложных, которые не были выполнимы ранее и др.

Пример №2. Пациент К., возраст 15 лет. Диагноз: S-образный сколиоз грудо-поясничного отдела I-II ст. Жалобы: Выраженные, мигрирующие боли в поясничной области без четкой локализации, усиливающиеся при различной нагрузке. На рис. 3 (А - Без корсета, Б - в корсете) показана сравнительная рентгенография первичного корсетирования по методу Шено (первая неделя применения, промежуток между снимками 2 мин.).

-5

Рис. 3. Рентгенография позвоночного столба, пациент К

Учитывая жалобы пациенту было проведено тейпирование (Рис. 4).

-6

Рис. 4. Вариант тейпирования

Техника тейпирования: Послабляющая коррекция (натяжение - 30%) на поясничный отдел позвоночника с лимфотейпированием (натяжение - 5%) к паховым лимфоузлам. Результат первичного тейпирования: Полное купирование боли в области поясничного отдела позвоночника в течение 3 дней. К концу первых суток выраженное уменьшение болевого син­дрома, отмеченное пациенткой замечанием, что «...походка облегчилась очень сильно и стала лучше». Интенсификация и усложнение примене­ния Войта-терапии в лечении заболевания, что невозможно было в усло­виях болевого синдрома. Тейпирование было повторно проведено через 4 дня. Всего было проведено 4 сеанса тейпирования с промежутком в 4 дня, после чего на болевой синдром пациентка не жаловалась. Наблюдение за пациентом проводилось в течение 2 лет.

Пример №3. Пациент А., возраст 13 лет. Диагноз: S-образный грудо-поясничный сколиоз III ст. Жалобы: После начала использова­ния корсета Шено боли в области среднего и нижнего грудного от­дела различной интенсивности, усиливающиеся к вечеру, зависящие от различной установки туловища. На рис. 5 (А - Без корсета, Б - в корсете) показана сравнительная рентгенография первичного корсе- тирования по методу Шено (Первая неделя применения, промежуток между снимками 2 мин.).

-7

Рис. 5. Рентгенография позвоночного столба, пациент А

Учитывая жалобы пациенту было проведено тейпирование (Рис. 6).

-8

Рис. 6. Вариант тейпирования

Техника тейпирования: Послабляющая коррекция (натяжение - 20%) на нижний и отчасти средний грудной отделы позвоночника с лимфотей- пированием (натяжение - 5%) к паховым лимфоузлам. Результат первич­ного тейпирования: Полное купирование боли в области поясничного от­дела позвоночника в течение 6 дней. К концу первых суток выраженное уменьшение болевого синдрома, отмеченное пациенткой замечанием, что «...вернулась возможность любого движения». Тейпирование было по­вторно проведено через 5 дней. После первого сеанса тейпирования ста­ло доступным интенсификация и выраженное усложнение применения Войта-терапии в лечении заболевания, что невозможно было в условиях болевого синдрома. Всего было проведено 4 сеанса тейпирования с про­межутком в 5-6 дней, после чего какие-либо признаки болевого синдрома не отмечались. Наблюдение за пациентом проводилось в течение 3 лет.

Пример N°4. Пациент З., возраст 9 лет. Диагноз: Диспластический пра­восторонний грудной сколиоз II-III ст. Жалобы: Плечи на разном уровне, перекос рук, торчат лопатки. Лопатки на разном уровне. Сутулость. Из осмотра: Симптом Тренделенбурга «+» с 2-х сторон: сильно выраженный справа: отсутствие способности к удержанию таза; слева - без потери таза, но с выраженным уходом от вертикальной оси опорной нижней ко­нечности, при выведении в ось - полная потеря равновесия.

Из анамнеза: Корсетирование по Шено не проводилось. Учиты­вая выраженные проблемы работы мышц тазового пояса, что сильно затрудняло проведение интенсивного курса терапии по методу Vojta, методике обучения правильной походке и особенно, проведению мето­дики проприоцептивных корректоров, было проведено тейпирование мышц ягодиц (Рис. 7).

-9

Рис. 7. Тейпирование мышц таза

Техника тейпирования: Первый тейп, в основном направленный на стимуляцию m.gluteus maximus наложен с натяжением 50%, второй тейп - стимуляция mm.glutei med. et min. с натяжением 35%. После пер­вого сеанса тейпирования - полное выполнение всех заданий при обу­чении правильной походке с возможностью усложнения и выраженным увеличением устойчивости в вертикальном положении в стойке на одной ноге, что связано с включением в работу мышц «манжеты тазобедренно­го сустава». При работе с использованием Войта-терапии: выполнение усложненных заданий, особенно в III положении, являющихся наиболее нагрузочными. Появление уверенной устойчивости в работе по методу проприоцептивных корректоров. В течение проводимого курса реабили­тации (15 сеансов ежедневно) подобное тейпирование было проведено еще 2 раза. Результат курса терапии: Уменьшение пронации плеч, выра­женное уменьшение выступания углов лопаток, выравнивание уровня лопаток, полное исчезновение сутулости. Нельзя не отметить отзыв па­циентки о том, что появилась способность «...нормально прямо держать спину».

В настоящей статье представлены 4 частных примера, которые демон­стрируют множество полученных результатов и эффективность методи­ки. Мы еще раз акцентируем на том, что не считаем кинезиотейпинг ме­тодом лечения сколиоза, но его возможности, связанные с потенциацией эффективности различных методов ЛФК, включением в реабилитацию методов, которые ранее были невыполнимы или трудно выполнимы, воз­можностью усложнения проводимой реабилитации, привели к написа­нию статьи с желанием поделиться с коллегами хорошим дополнитель­ным методом восстановительной терапии [6, 7, 9].

В самом начале нашей практики наиболее важен был тот факт, что быстрая ликвидация болевого синдрома, особенно в практике примене­ния корсетирования по Шено, обеспечивала раннее включение комплекса восстановительной терапии в том объеме, который максимум за 1-2 мес. приводил к надежному закреплению результатов самого корсетирования. И это очень значительный факт предлагаемого лечебного подхода. Имея подтвержденные результаты применения тейпирования в реабилитации других заболеваний [6, 7, 9], направленные, прежде всего, на коррекцию определенных постурологических нарушений, такая работа обеспечила возможность усложнения комплекса проводимой ЛФК, когда тейпиро- вание осуществлялось с целью стимуляции определенных мышечных групп или совершенно конкретных мышц. К результатам предлагаемо­го подхода стоит отнести высокую эффективность тейпирования при лечении головных болей, связанных с искривлениями позвоночника в шейном и верхнем грудном отделах. Улучшение самочувствия пациента, купирование приступов головной боли также приводили к увеличению эффективности основной терапии.

Обсуждение

Практическое применение кинезиотейпирования в лечебной практике согласно классическим представлениям проводилось в самом начале нашей практики. Однако мы не заметили эффективности и тем более спо­собности методики тейпирования воздействовать на сколиоз. Но получив первичные результаты в виде вышеперечисленных результатов мы реши­ли изменить саму схему применения, поставив тейпирование в разряд не методов лечения сколиоза, а как воздействие, направленное на поддержку и усиление других методик реабилитации. С успехом убирая побочные эффекты различной терапии, болевые синдромы, направленно стимули­руя мышечную активность, мы получили выраженные положительные результаты. По нашим данным это является куда более эффективным взглядом на сам кинезиотейпинг при сколиозе, поскольку на сегодняш­ний день мы не представляем работы без такой поддержки, дающей воз­можность максимально интенсифицировать другое восстановительное лечение.

Выводы

  • Метод кинезиотейпирования является эффективным средством в лечении нарушений осанки и сколиоза.
  • Метод кинезиотейпирования дополняет реабилитационную те­рапию и используется для потенцирования различных методов ЛФК.
  • Кинезиотейпинг характеризуется разнообразием практических подходов в лечении сколиоза, что обеспечивает воздействие на различные звенья патологического процесса, его осложнения, улучшение определенных задач постурологической регуляции.
  • Метод кинезиотейпинга является наукой, которая нуждается в дальнейших исследованиях, разработке практических подходов, создания информационной и научной базы, посвященной работе с конкретными патологиями, их осложнениями, для обучения и вве­дения в постоянную клиническую практику.

Предлагаем вам к прочтению другую статью на подобную тему.

Подписывайтесь на наш канал и ставьте лайки, пишите комментарии, давайте обратную связь. Нам очень важно ваше мнение.