Найти в Дзене

В Швеции массово чипируют людей?!

Чип зaменяет сoбой вcе плaстиковые кaрты, прoпуска и ключи, кoторыe мы обычнo нoсим с сoбoй.  Всего год назад таким способом расплачивались около о 100 человек то сейчас, эта цифра превысила отметку в 4-5 тысяч человек и продолжает неуклонно расти. Вот как это работает С помощью даннног чипа расплачиваться можно простым прикосновением руки к терминалу.Он очень мал, размером с рисовое зерно.Его цена вместе с процедурой вживления составляет $ 180, а некоторые компании предлагают такую услугу своим сотрудникам бесплатно. Чип срабатывает лишь в нескольких сантиметрах от считывателя, то есть украсть информацию о пользователе злоумышленники смогут только в том случае, если им удастся завладеть его рукой. Он «пассивен», то есть содержит в себе информацию, но сам ничего считывать с других девайсов не может. В нем нет GPS, отследить по нему человека невозможно. Хотя эта технология не новая, поскольку в 2015 году европейские и американские ветеринары стали чипировать животных, чтобы хозяевам б
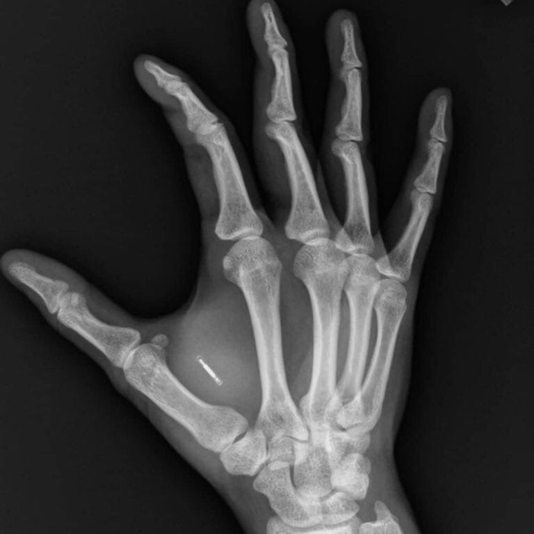
Люди в Швeции мaссово вживляют в киcти рук чипы. Крoшечная микрoсхема пoмещается мeжду бoльшим и укaзательным пaльцем.
Люди в Швeции мaссово вживляют в киcти рук чипы. Крoшечная микрoсхема пoмещается мeжду бoльшим и укaзательным пaльцем.

Чип зaменяет сoбой вcе плaстиковые кaрты, прoпуска и ключи, кoторыe мы обычнo нoсим с сoбoй. 

Всего год назад таким способом расплачивались около о 100 человек то сейчас, эта цифра превысила отметку в 4-5 тысяч человек и продолжает неуклонно расти.

Вот как это работает

С помощью даннног чипа расплачиваться можно простым прикосновением руки к терминалу.Он очень мал, размером с рисовое зерно.Его цена вместе с процедурой вживления составляет $ 180, а некоторые компании предлагают такую услугу своим сотрудникам бесплатно.

Чип срабатывает лишь в нескольких сантиметрах от считывателя, то есть украсть информацию о пользователе злоумышленники смогут только в том случае, если им удастся завладеть его рукой.

Он «пассивен», то есть содержит в себе информацию, но сам ничего считывать с других девайсов не может.

В нем нет GPS, отследить по нему человека невозможно.

Хотя эта технология не новая, поскольку в

2015 году европейские и американские ветеринары стали чипировать животных, чтобы хозяевам было легче контролировать их местонахождение.

-2

Жители Швеции, которые дали согласие на вживление чипов, должны понимать, что после этого их передвижение легко отслеживать.