Добавить в корзинуПозвонить
Найти в Дзене

Рабочий способ избавления от кариеса без стоматолога, рассказываю

И так начну с предыстории, чтобы было понятно как я узнал об этом и как на себе убедился что от кариеса легко избавиться. В 2001 году, когда мне было восемнадцать лет, мне попалась книга Поля Брэгга «Чудо голодания», там было написано про голодание, про диеты, и вообще про здоровье. Тогда я понял что от питания очень многое зависит плане здоровья, силы и вообще успешности в жизни. Начал периодически голодать, потихоньку отказываться от вредной пищи, заменяя её более полезной. На нескольких зубах оставалось несколько пятнышек кариеса, но зубы перестали портится, и за последующие 15 лет я потерял только один зуб, но он оказался молочный, успешно потемнел и рассыпался, как раз во время. На его месте уже ничего не выросло в виду зрелого возраста организма. Остальные зубы хоть и не сыпались, но кариес не проходил. Со временем после практики голодания и нескольких диет я вышел на сыроедение, где пара человек говорили о том что на сыроедение у них исчез кариес. Я очень заинтересовался эт

И так начну с предыстории, чтобы было понятно как я узнал об этом и как на себе убедился что от кариеса легко избавиться.

В 2001 году, когда мне было восемнадцать лет, мне попалась книга Поля Брэгга «Чудо голодания», там было написано про голодание, про диеты, и вообще про здоровье.

Тогда я понял что от питания очень многое зависит плане здоровья, силы и вообще успешности в жизни.

Начал периодически голодать, потихоньку отказываться от вредной пищи, заменяя её более полезной.

На нескольких зубах оставалось несколько пятнышек кариеса, но зубы перестали портится, и за последующие 15 лет я потерял только один зуб, но он оказался молочный, успешно потемнел и рассыпался, как раз во время.

На его месте уже ничего не выросло в виду зрелого возраста организма.

Остальные зубы хоть и не сыпались, но кариес не проходил.

Со временем после практики голодания и нескольких диет я вышел на сыроедение, где пара человек говорили о том что на сыроедение у них исчез кариес.

Я очень заинтересовался этой информацией.

Попробовал на себе три месяца сыроедения, не получил нужного результата в плане зубов, хотя в плане оздоровления сыроедение конечно временно хорошая диета.

И так, я старался хорошо питаться, не есть вредного, кариес не увеличивался но и не уменьшался.

Друг сыроедил несколько лет и отметил то же, что кариес не увеличивался, но и не уменьшился.

Я решил искать причину дальше, ведь если несколько человек утверждали что избавились от кариеса, а если предположить что это правда значит должна быть причина.

Искал в интернете, но не натыкался на подобную информацию, а современная медицина, к сожалению, не лечит полноценно кариес.

Я хотел найти способ именно полного восстановления зубов естественным путем.

В интернете хоть и много информации, но толкового мало.

И вот поехал я как-то на лето в Испанию на два с половиной месяца.

А вот приехав оттуда, я заметил что кариес в 2 раза уменьшился.

Я сначала подумал что это из-за питания, продукты там очень свежие, очень хорошего качества, не то что в Украине.

Начал искать информацию в инете о проблемах с зубами в разных странах, хотел это связать с уровнем питания.

Статистика показывает что в экваториальных регионах Африки и Азии кариес менее распространен чем в северных областях Скандинавии и Северной Америке.

Оказалась во многих развитых северных странах, несмотря на хорошее питание, проблем с кариесом и зубами в целом больше.

Тогда я начал думать о том что отличает южные страны от северных.

Подумал еще о солнце и выработке витамина Д в коже, в Испании я загорал почти каждый день.

Решил поискать информацию в интернете о витамине Д и есть ли связь с кариесом.

И тут пазл сложился.

Стало все понятно, википедия, но и многие официальные источники говорят о том, что причина кариеса это процесс развивающийся в результате комплексного взаимодействия неблагоприятных внешних и внутренних факторов, то есть виновники от части конечно же бактерии, но получится у них разрушить зуб или нет, зависит не только от чистки зубов, но и от внутреннего здоровья зуба, а также действия продуктов питания на внешнее покрытие зубов.

Так как некоторые продукты плохо влияют на эмаль зубов, особенно кислые, то очень многое зависит от возможности восстановления зубов самим организмом после их повреждения.

Почему например сахар считается вредным для зубов?

Бактерий в ротовой полости потребляют сахар и перерабатывая его выделяют кислоту, которая впоследствии действует разрушительно на эмаль зубов.

Кстати животные не чистят зубы при этом страдают кариесом очень редко и основная причина это конечно же сахар.

А по оценкам глобального исследования болезни в 2016 году, половина мирового населения страдает заболеваниями ротовой полости, причем самым распространенным из них является кариес.

Обязательно прочтите эту статью(1 мин), там я рассказываю о кальции, добавках и их влиянии на зубы :

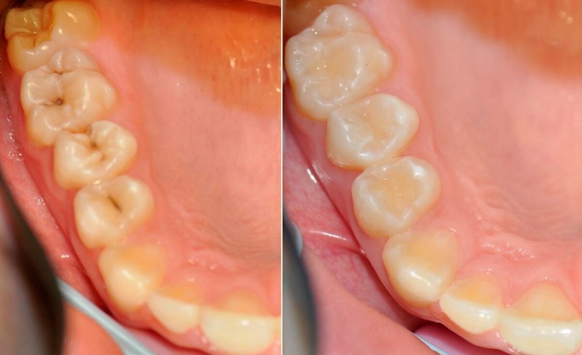
Начал принимать Витамин Д и от кариеса за пару месяцев почти ничего не осталось
-2