Добавить в корзинуПозвонить
Найти в Дзене
sortmozg

Диагностика рака мозга

Диагностика рака головного мозга проходит такие этапы: Первичное обследование, сбор анамнеза жизни и болезни Пациент приходит к врачу и жалуется на ноющие головные боли, нарушение сна, раздражительность и постоянную тошноту. Врач оценивает состояние человека: сознание, цвет кожи, как говорит, какую позу принимает. Это первичный осмотр, позволяющий установить общее состояние – удовлетворительное, среднее или тяжелое. Важно понять, что при первой встрече врач ничего не знает о пациенте. Сбор анамнеза жизни – это выяснение биографии больного: паспортные данные, когда и где родился, где учился, где работает, родители, сколько братьев и сестер, наличие детей, есть ли хронические болезни или онкологические недуги у ближайших родственников. Анамнез болезни – это сбор информации о симптомах: когда начались, выраженность головных болей, ноющие или давящие, снимаются ли обезболивающими, связана ли рвота с приемом пищи, есть ли галлюцинации, голоса в голове (слуховые), видит ли пациент то, чего
Оглавление

Диагностика рака головного мозга проходит такие этапы:

  •  Первичное обследование, сбор анамнеза жизни и болезни.
  • Объективный осмотр неврологом.
  • Инструментальная диагностика и общеклинические методы.
  • Дополнительная, уточняющая диагностика.

Первичное обследование, сбор анамнеза жизни и болезни

Пациент приходит к врачу и жалуется на ноющие головные боли, нарушение сна, раздражительность и постоянную тошноту. Врач оценивает состояние человека: сознание, цвет кожи, как говорит, какую позу принимает. Это первичный осмотр, позволяющий установить общее состояние – удовлетворительное, среднее или тяжелое. Важно понять, что при первой встрече врач ничего не знает о пациенте.

Сбор анамнеза жизни – это выяснение биографии больного: паспортные данные, когда и где родился, где учился, где работает, родители, сколько братьев и сестер, наличие детей, есть ли хронические болезни или онкологические недуги у ближайших родственников.

Анамнез болезни – это сбор информации о симптомах: когда начались, выраженность головных болей, ноющие или давящие, снимаются ли обезболивающими, связана ли рвота с приемом пищи, есть ли галлюцинации, голоса в голове (слуховые), видит ли пациент то, чего не видят другие люди (зрительные), происходит ли с ним, по меркам пациента, странные явления (дереализация), ощущает ли он свое тело (деперсонализация), бывали ли эпилептические припадки (это должны знать родственники, так как в момент приступа теряется сознание и пациент ничего не помнит).

Объективный осмотр

На этом этапе невролог детально изучает физиологические и патологические феномены. Измеряет артериальное давление, пульс, частоту дыхательных движений. Затем переходит к специфическим методам, используя тупые иглы и неврологический молоточек.

При помощи молоточка изучается рефлекторная деятельность нервной системы. Снижение рефлексов (гипорефлексия), их отсутствие (арефлексия) или повышение (гиперрефлексия) может свидетельствовать о наличии патологии в стволе мозга.

Врач проверяет силу мышц. Для этого он просит пациента надавить руками в ладошки врача, пожать руку или сопротивляться, пока врач пытается разжать руки в локтевом суставе. То же происходит с ногами. Это позволяет выявить паралич или парез на одной стороне тела, одной или обеих конечностей.

Чувствительность проверяется при помощи тупой иглы или ватной палочки, которая прикладывается к разным участкам тела. Это дает информацию о экстероцептивной чувствительности – восприятие боли, тактильных ощущений и температуры.

В диагностике участвует не только невролог. Ему помогает офтальмолог. Опухоли головного мозга клинически проявляются не только нарушением высшей нервной и психической деятельности, но и изменениями в глазном дне. Результаты диагностики бывают разными: у одного снижается точность зрения, у другого возникает односторонняя слепота, у третьего отмечаются признаки ангиопатии и сужение артериол на глазном дне.

В тяжелых случаях, когда опухоль сдавливает мозг и повышается внутричерепное давление, у пациентов в глазах наблюдается ангиопатия и поражение ретинальных артерий. У пациентов с отеком мозга на фоне опухоли отмечается расширение мелких вен на дне глаза.

Офтальмолог проводит периметрию. У пациентов с раком мозга снижаются периферические границы, сужается зрение по битемпоральному типу или присутствуют скотомы по парацентральному типу.

Инструментальная диагностика и общеклинические методы

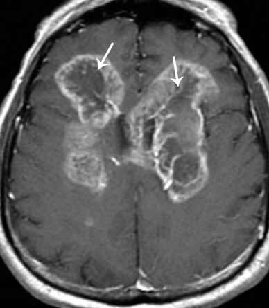
Магнитно-резонансная и компьютерная томография – наиболее информативные методы исследования. МРТ головного мозга позволяет выявить очаг опухоли или перифокального отека как реакцию на опухолевый рост. МРТ безопасный для пациента метод, так как во время сканирования организм не облучается. У магнитной томографии есть недостаток: снимок рака мозга не позволяет отличать доброкачественные опухоли от злокачественных. Рак мозга на МРТ выглядит как очаг ограниченный темный очаг, окруженный воспалительным валом.

Разновидности МРТ, такие как SWI/SWAN, трактогарфия или МРС позволяют выполнить дифференциальную диагностику между злокачественными опухолями и доброкачественными. Они также способны установить степень злокачественности и оценить эффективность лечения.

Для уточнения и детализации кровотока используют контрастирование в режиме ангиографии. Компьютерная томография позволяет оценить степень повреждения гематоэнцефалического барьера. Ангиография всегда используется, если есть подозрение на опухоль.

Лабораторные методы – определение онкомаркеров рака. Онкомаркер – белок, образующийся после смерти опухолевидной клетки или как продукт ее жизнедеятельности. Онкомаркеры на рак головного мозга – это метод ранней диагностики, который способен диагностировать онкологию на ранних стадиях развития. Виды онкомаркеров для опухоли мозга:

  • S-100 Protein. Он появляется в крови, когда в головном мозге растет опухоль из клеток астроцитов или глии. По количеству белка можно спрогнозировать динамику опухоли и степень повреждения мозга.
  • Tumor M2-pyruvatkinase. Этот онкомаркер появляется в крови, когда нормальные клетки переключаются на режим бесконечного деления, в результате чего выделяется большое количество пируваткиназы – фермент, расщепляющий глюкозу, которая нужна для роста новообразования.
  • Neuron specific enolase (NSE). Уровень белка повышается при нейроэктодермальных опухолях, в особенности при нейробластоме. Не совсем специфический, так как его уровень повышается и при раке легких.
  • Chromogranin A. Повышается в крови при нейроэндокринных опухолях, преимущественно при гормонально активных новообразованиях (соматостанома).

Дополнительная диагностика

Проводится для уточнения диагноза или гистологического строения опухоли. Основной метод – биопсия головного мозга. Он заключается в том, что в мозг в очаг опухоли под контролем рентгенографии в реальном времени вводят иголку, которая забирает часть ткани и отправляется в лабораторию для выяснения гистологической природы новообразования.

Оригинал статьи размещён здесь: https://sortmozg.com/zabolevaniya/rak-mozga-diagnostika