Найти в Дзене
Ktaros

Сравнение КТ и МРТ: что это и для чего лучше использовать то и другое

Сначала немного физики (простыми словами), а потом про разницу. Что есть что Компьютерная томография (КТ) это метод лучевой диагностики, при котором с помощью рентгеновского излучения получают послойные поперечные снимки организма человека. Собственно, томография это и есть послойное сканирование объекта. Термин происходит от греческого слова tomo - сечение. В основе метода КТ обычная рентгеновская трубка, которая есть в любом рентгеновском аппарате (включая флюорограф). Принцип послойности достигается синхронным вращением трубки и воспринимающего экрана вокруг исследуемого тела (в МРТ тоже датчики вращаются). А компьютер обрабатывает снимки, делает их более четкими, помогает различить ткани между собой. С его помощью также можно сделать объемное изображение какого-либо участка тела человека (трехмерная обработка или трехмерное моделирование). Для усиления контраста между разными тканями и органами используют специальные контрастные вещества (вводятся в пищеварительный тракт, в кровь и
Оглавление

Сначала немного физики (простыми словами), а потом про разницу.

Что есть что

Компьютерная томография (КТ) это метод лучевой диагностики, при котором с помощью рентгеновского излучения получают послойные поперечные снимки организма человека.

Собственно, томография это и есть послойное сканирование объекта. Термин происходит от греческого слова tomo - сечение.

В основе метода КТ обычная рентгеновская трубка, которая есть в любом рентгеновском аппарате (включая флюорограф). Принцип послойности достигается синхронным вращением трубки и воспринимающего экрана вокруг исследуемого тела (в МРТ тоже датчики вращаются). А компьютер обрабатывает снимки, делает их более четкими, помогает различить ткани между собой. С его помощью также можно сделать объемное изображение какого-либо участка тела человека (трехмерная обработка или трехмерное моделирование). Для усиления контраста между разными тканями и органами используют специальные контрастные вещества (вводятся в пищеварительный тракт, в кровь и так далее).

Разные ткани имеют разную плотность, и по-разному поглощают рентгеновское излучение. На простом рентгеновском снимке, например, мы четко увидим белые кости, поскольку они больше всего поглощают лучей, а, скажем, в кишечнике и желудке увидим черные просветы, то есть воздух - он пропускает почти все рентгеновские лучи. (Помните, что изображение получается негативное.)

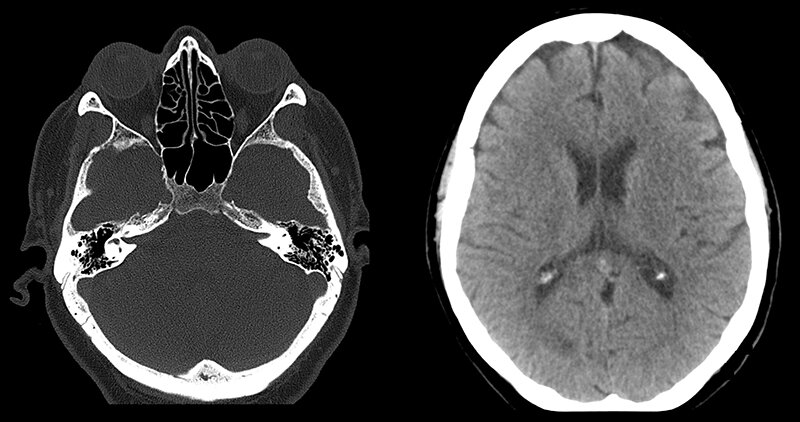
КТ головы. Источник: hospitalfts.ru
КТ головы. Источник: hospitalfts.ru

Магнитно-резонансная томография (МРТ) это метод лучевой диагностики, при котором также получают послойные изображения тела человека, но с помощью принципа ядерного магнитного резонанса.

Явление ядерного магнитного резонанса на пальцах объяснить довольно сложно. Это физика атомного ядра. Если в двух словах, то в МРТ в условиях сильного постоянного магнитного поля измеряют электромагнитный отклик ядер атомов водорода на разные электромагнитные волны. Соответственно, в разных тканях этот отклик разный. Его регистрируют с помощью датчиков и визуализируют на компьютере. В МРТ тоже иногда используют специальные контрастные вещества.
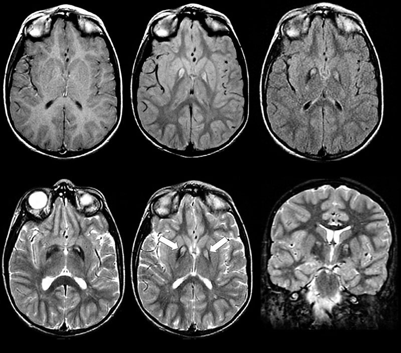
МРТ головного мозга. Источник: vsemrt.ru
МРТ головного мозга. Источник: vsemrt.ru

Теперь о разнице между КТ и МРТ

Главное отличие:

  • КТ лучше "видит" кости. На МРТ кальций в костях (основной элемент) не виден (хотя отлично видны межпозвоночные диски и их грыжи). Поэтому при переломах, любых травмах следует делать КТ. Кроме того, если ситуация экстренная, то тоже рекомендуется КТ (МРТ делается гораздо дольше).
  • МРТ лучше "видит" мягкие ткани и - главное - нервную ткань. На МРТ хорошо видны любые образования в головном и спинном мозге (опухоли, кисты и так далее). Для головного мозга МРТ - лучший метод диагностики. Опухоли других органов тоже лучше выявлять с помощью МРТ.
  • КТ с контрастированием с успехом применяется при исследовании сосудов (ангиография) и полых органов (желудочно-кишечный тракт, мочеполовая система).

Главные противопоказания

  • При КТ используется определенная доза рентгеновского излучения, поэтому главное противопоказание это беременность (тератогенное воздействие на плод, то есть усиливающее мутации в генах).
  • При МРТ применяют сильное магнитное поле. Поэтому на теле и в самом теле (кардиостимуляторы, клапаны, импланты, протезы) не должно быть металла, иначе могут быть травмы и ожоги.
  • КТ делается быстро, МРТ долго (до 30 минут и даже часа, и лежать надо неподвижно!), поэтому склонность к клаустрофобии (боязнь замкнутых пространств) это важное противопоказание к МРТ.
Еще важный нюанс: КТ гораздо дешевле МРТ. Часто МРТ не входит в стандарты диагностики и лечения, поэтому пациенту, даже если он лечится по ОМС или ДМС, МРТ нужно делать за свой счет.

Консультация врача перед любым исследованием обязательна!

Спасибо, что дочитали! Если статья понравилась, ставьте лайк. Если есть вопросы, задавайте в комментариях. Если хотите больше информации на медицинские темы, подписывайтесь на канал!