Найти в Дзене

Открытый прикус: в чем опасность

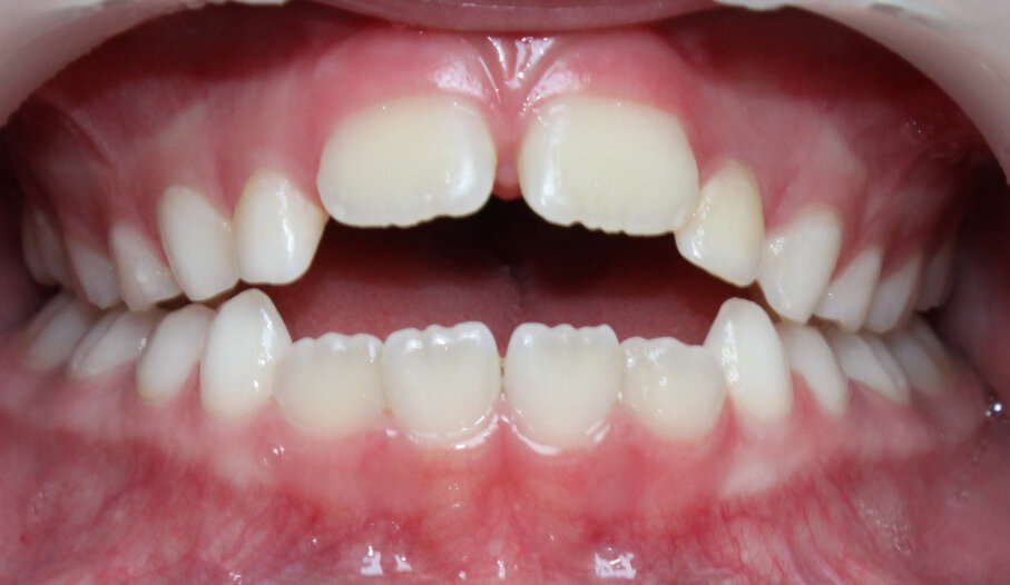
Разглядеть открытый прикус невооруженным взглядом не составит труда: верхние и нижние зубы не соприкасаются, образуя щель. Такой вид прикуса бывает боковым и передним. Что это означает для здоровья в будущем? Одним из вариантов исправления открытого прикуса является установка брекет-системы, после консультации с ортодонтом.

Разглядеть открытый прикус невооруженным взглядом не составит труда: верхние и нижние зубы не соприкасаются, образуя щель. Такой вид прикуса бывает боковым и передним.

Что это означает для здоровья в будущем?

  • Проблема с жеванием и ЖКТ;
  • Неправильная дикция, особенно в произношении глухих согласных и шипящих;
  • Неправильные пропорции лица;
  • При дыхании с открытым прикусом человек дышит ртом, поэтому более подвержен простудным заболеваниям.

Одним из вариантов исправления открытого прикуса является установка брекет-системы, после консультации с ортодонтом.