Добавить в корзинуПозвонить
Найти в Дзене
ESTET-PORTAL

Инфекционный мононуклеоз: современные методы диагностики заболевания

Сегодня изучение заболеваний, вызванных вирусом Эпштейна-Барр, представляет интерес для врачей различного профиля. Это обусловлено тропностью вируса к иммунной системе, а также значением вируса в возникновении злокачественных новообразований, в частности лимфом. Инфекционный мононуклеоз – наиболее часто встречающаяся патология, вызванная вирусом Эпштейна-Барр. Она также известна, как «болезнь поцелуев», что связано с преобладающим путем распространения инфекции. В этой статье на estet-portal.com подробно изложена информация о современных подходах к лабораторной диагностике инфекционного мононуклеоза. Роль цитомегаловируса в возникновении инфекционного мононуклеоза Цитомегаловирус вызывает около 3% случаев инфекционного мононуклеоза. Особенность инфекционного мононуклеоза, вызванного цитомегаловирусом, заключается в наличии длительных фебрильных эпизодов, лимфаденопатии, гепатита. Но при этом фарингеальные проявления заболевания отсутствуют в большинстве случаев. Цитомегаловирусная инфе
Оглавление

Сегодня изучение заболеваний, вызванных вирусом Эпштейна-Барр, представляет интерес для врачей различного профиля. Это обусловлено тропностью вируса к иммунной системе, а также значением вируса в возникновении злокачественных новообразований, в частности лимфом.

Инфекционный мононуклеоз – наиболее часто встречающаяся патология, вызванная вирусом Эпштейна-Барр. Она также известна, как «болезнь поцелуев», что связано с преобладающим путем распространения инфекции.

В этой статье на estet-portal.com подробно изложена информация о современных подходах к лабораторной диагностике инфекционного мононуклеоза.

Роль цитомегаловируса в возникновении инфекционного мононуклеоза

Цитомегаловирус вызывает около 3% случаев инфекционного мононуклеоза. Особенность инфекционного мононуклеоза, вызванного цитомегаловирусом, заключается в наличии длительных фебрильных эпизодов, лимфаденопатии, гепатита. Но при этом фарингеальные проявления заболевания отсутствуют в большинстве случаев.

Цитомегаловирусная инфекция особенно опасна в период беременности: риск возникновения тяжёлых патологий у плода составляет около 10%.

О возможности цитомегаловируса инициировать возникновение инфекционного мононуклеоза следует помнить при проведении лабораторной диагностики заболевания. Определение ДНК вируса методом ПЦР подтверждает его роль в развитии инфекционного мононуклеоза.

Читайте нас в Telegram.

Изменения общего анализа крови при инфекционном мононуклеозе

Изменения общего анализа крови при инфекционном мононуклеозе являются достаточно характерными. В первые дни заболевания может наблюдаться лейкопения. В последующем она сменяется на лейкоцитоз с преобладанием одноядерных клеток: в общем анализе крови лимфоциты составляют больше 50%. Тромбоцитопения и гранулоцитопения довольно часто встречаются на фоне инфекционного мононуклеоза. На фоне поражения печени может наблюдаться повышение уровней трансаминаз: АЛТ (аланинаминотрансферазы) и АСТ (аспартатаминотрансферазы).

Читайте также: FDA предупреждает: повышен риск развития крупноклеточной лимфомы после имплантации груди

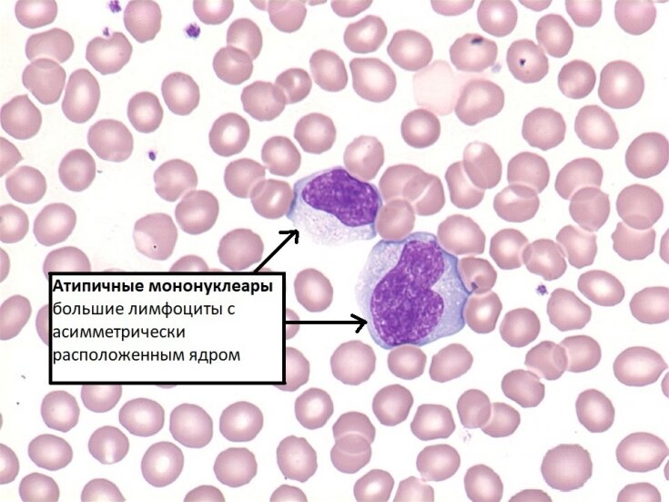
Инфекционный мононуклеоз: что собой представляют атипичные мононуклеары

Для пациентов с инфекционным мононуклеозом очень характерным лабораторным признаком является появление в картине крови атипичных мононуклеаров.

Атипичные мононуклеары – это одноядерные клетки с большим ядром, широкой протоплазмой и поясом просветления на границе ядра и цитоплазмы (последнее не обязательно). Ядро клеток большое и расположено в клетке асимметрично. Атипичные мононуклеары являются молодыми лимфоцитами, морфологически сходными с моноцитами. Они также известны под названием «вироциты».

-2

Инфекционный мононуклеоз: современные методы диагностики заболевания

Сегодня изучение заболеваний, вызванных вирусом Эпштейна-Барр, представляет интерес для врачей различного профиля. Это обусловлено тропностью вируса к иммунной системе, а также значением вируса в возникновении злокачественных новообразований, в частности лимфом.

Инфекционный мононуклеоз – наиболее часто встречающаяся патология, вызванная вирусом Эпштейна-Барр. Она также известна, как «болезнь поцелуев», что связано с преобладающим путем распространения инфекции.

В этой статье на estet-portal.com подробно изложена информация о современных подходах к лабораторной диагностике инфекционного мононуклеоза.

Роль цитомегаловируса в возникновении инфекционного мононуклеоза

Цитомегаловирус вызывает около 3% случаев инфекционного мононуклеоза. Особенность инфекционного мононуклеоза, вызванного цитомегаловирусом, заключается в наличии длительных фебрильных эпизодов, лимфаденопатии, гепатита. Но при этом фарингеальные проявления заболевания отсутствуют в большинстве случаев.

Цитомегаловирусная инфекция особенно опасна в период беременности: риск возникновения тяжёлых патологий у плода составляет около 10%.

О возможности цитомегаловируса инициировать возникновение инфекционного мононуклеоза следует помнить при проведении лабораторной диагностики заболевания. Определение ДНК вируса методом ПЦР подтверждает его роль в развитии инфекционного мононуклеоза.

Читайте нас в Telegram.

Изменения общего анализа крови при инфекционном мононуклеозе

Изменения общего анализа крови при инфекционном мононуклеозе являются достаточно характерными. В первые дни заболевания может наблюдаться лейкопения. В последующем она сменяется на лейкоцитоз с преобладанием одноядерных клеток: в общем анализе крови лимфоциты составляют больше 50%. Тромбоцитопения и гранулоцитопения довольно часто встречаются на фоне инфекционного мононуклеоза. На фоне поражения печени может наблюдаться повышение уровней трансаминаз: АЛТ (аланинаминотрансферазы) и АСТ (аспартатаминотрансферазы).

Читайте также: FDA предупреждает: повышен риск развития крупноклеточной лимфомы после имплантации груди

Инфекционный мононуклеоз: что собой представляют атипичные мононуклеары

Для пациентов с инфекционным мононуклеозом очень характерным лабораторным признаком является появление в картине крови атипичных мононуклеаров.

Атипичные мононуклеары – это одноядерные клетки с большим ядром, широкой протоплазмой и поясом просветления на границе ядра и цитоплазмы (последнее не обязательно). Ядро клеток большое и расположено в клетке асимметрично. Атипичные мононуклеары являются молодыми лимфоцитами, морфологически сходными с моноцитами. Они также известны под названием «вироциты».

-3

Атипичные мононуклеары могут присутствовать не только при инфекционном мононуклеозе, но и других вирусных заболеваниях. Но именно в случае инфекционного мононуклеоза их количество составляет более 10%, что практически не встречается на фоне других вирусных инфекций и поэтому является диагностическим признаком инфекционного мононуклеоза. В картине крови вироциты появляются уже на 2-3 день заболевания и могут наблюдаться до двух месяцем и больше.

Коварные TORCH-инфекции: чем опасен токсоплазмоз при беременности

В чем заключается серологическая диагностика инфекционного мононуклеоза

Серологическая диагностика инфекционного мононуклеоза заключается в проведении иммуноферментного анализа (ИФА), который дает возможность идентифицировать специфические антитела.

С целью серологической диагностики инфекционного мононуклеоза используется метод иммуноферментного анализа.

К антителам, которые являются маркерами инфекционного мононуклеоза, относятся:

1.    анти-VCA Ig M (viral-capsid antigen с англ. – вирусный капсидный антиген): присутствуют в крови с самого начала заболевания в 100% случаев и определяются в последующие 3 недели в высоких титрах. Анти-VCA IgM исчезают к 1-6 месяцу заболевания. Выявление их специфично как для диагностики острой первичной инфекции, так и её реактивации;

2.    анти-VCA Ig G – могут появляться с 1-4 недели заболевания, количество их снижается с выздоровлением. Наличие их в большинстве случаев свидетельствует о перенесенном инфекционном мононуклеозе. Повышение титра в 4 и более раз в динамике говорит об остром инфекционном процессе.

3.    анти-EBNA Ig G (Epstein–Barr nuclear antigen с англ. – ядерный антиген Епштейн-Барр вируса) – идентифицируются позже всего (через 4-6 месяцев после начала заболевания) и могут сохраняться в течении многих лет и даже пожизненно.

4.    анти EBV EA-D IgG ( early D antigen с англ. – ранние антигены D) – представляют собой антитела к D-компоненту белка, необходимого для репликации вируса. Характерны для острой первичной инфекции, появляются в первые две недели заболевания и быстро исчезают с выздоровлением. Увеличение титра анти EBV EA-D IgG указывает на реактивацию инфекции.

Для определения этиологии инфекционного мононуклеоза можно также использовать ПЦР. Идентификация ДНК Епштейн-Барр вируса в крови и соскобах слизистых оболочек подтверждает его роль в развитии заболевания. Определение гетерофильных антител в наше время практически не используется ввиду технических сложностей и низкой специфичности анализов.

Спасибо, что Вы остаетесь с estet-portal.com. Читайте другие интересные статьи в разделе Инфекционные болезни». Возможно, Вас также заинтересует: Почему важно диагностировать воспалительные поражения кожи кольцевидной формы.