Добавить в корзинуПозвонить
Найти в Дзене
#ЯЖЕВРАЧ

Рак мозга: кто в группе риска

Все мы видели, что один за другим знаменитости умирают от рака мозга. Да и само это название вызывает почему-то больше трепета, чем, допустим, рак почки. Но так ли страшен черт? И насколько велик шанс заболеть именно раком мозга? В том числе и у меня... А еще расскажу о том, как заподозрить рак мозга, как его выявить. И что делаю лично я. Читайте дальше! Статистика неумолима По статистике, опухоли головного мозга встречаются достаточно редко, в среднем 0,7-1,5%. Если учесть, что общая онкологическая заболеваемость в 2018 году по данным официальной статистики составляла 425 на 100 000 населения, то грубо опухоли мозга выявляли у 4-5 человек из 100 тысяч. У мужчин и женщин шанс заболеть примерно одинаковый. Особых "предпочтений" по возрасту тоже нет. Из-за этого и происходят трагедии из разряда "такая молодая, а уже...". Увы, но факт. Опухоль или метастаз Очень важно, что метастазы в головной мозг встречаются в 10 (!) раз чаще, чем первичные опухоли. В десять! Почему так происходит - я
Оглавление

Все мы видели, что один за другим знаменитости умирают от рака мозга. Да и само это название вызывает почему-то больше трепета, чем, допустим, рак почки.

Но так ли страшен черт? И насколько велик шанс заболеть именно раком мозга? В том числе и у меня...

А еще расскажу о том, как заподозрить рак мозга, как его выявить. И что делаю лично я. Читайте дальше!

Статистика неумолима

По статистике, опухоли головного мозга встречаются достаточно редко, в среднем 0,7-1,5%.

Если учесть, что общая онкологическая заболеваемость в 2018 году по данным официальной статистики составляла 425 на 100 000 населения, то грубо опухоли мозга выявляли у 4-5 человек из 100 тысяч.

У мужчин и женщин шанс заболеть примерно одинаковый. Особых "предпочтений" по возрасту тоже нет. Из-за этого и происходят трагедии из разряда "такая молодая, а уже...". Увы, но факт.

Опухоль или метастаз

Очень важно, что метастазы в головной мозг встречаются в 10 (!) раз чаще, чем первичные опухоли. В десять! Почему так происходит - я писала тут.

Чаще всего они встречаются при раке легкого, молочной железы и при меланоме. Клетки опухоли попадают с током крови и остаются на границе серого и белого вещества, где калибр кровеносных сосудов относительно узкий. А это примерно в 80% - большие полушария головного мозга.

При этом если есть метастазы в головном мозге, то у 3 из 5 людей они будут и в легких.

Как выявить опухоль

Самый точный метод диагностики - это до сих пор МРТ, томография. При этом исследовании можно достаточно хорошо рассмотреть структуру мозга и выявить опухоль даже если она еще не начала давать симптомы.

Но каждый год "профилактически" МРТ делать вряд ли кто-то будет. Обычно его проводят при каких-то подозрениях на объемный процесс. Или просто на "проблемы с головой", как любят говорить некоторые пациенты.

Могу сказать лично про себя - я делаю МРТ головного мозга раз в 2-3 года примерно. Но немного по другой причине. У меня есть доброкачественная опухоль, за которой надо "следить". Слишком маленькая, чтобы ее удалить, и слишком большая, чтобы можно было махнуть на нее рукой. Увы, но от этого никуда не денешься.
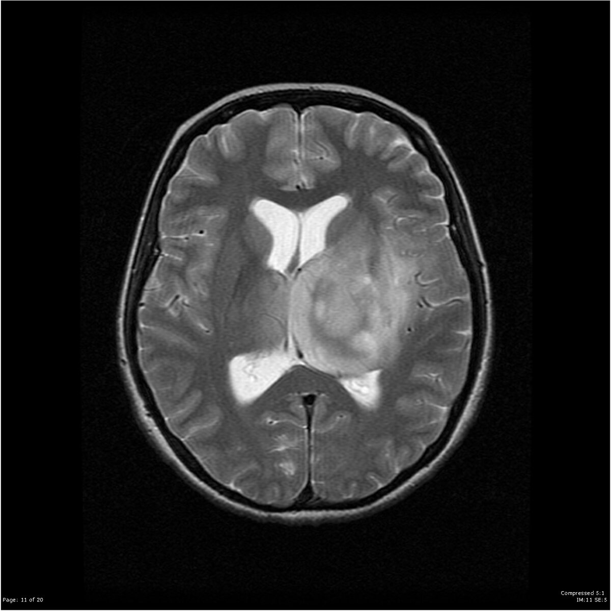
Вот так выглядит результат МРТ. Radiopedia.org
Вот так выглядит результат МРТ. Radiopedia.org

Когда стоит бить тревогу

Подробнее о первых признаках опухолей головного мозга я расскажу в следующей статье. Сейчас только перечислю.

Из общих симптомов, характерных для любых опухолей (не только злокачественных):

  • Головная боль (70-90%);
  • Рвота (65-70%);
  • Головокружение (40-50%);
  • Нарушения психики (60-80%);
  • Эпилепсия (20-30%);
  • Повышенное внутричерепное давление (все перечисленное + изменение глазного дна и специфические симптомы).

Не слишком настораживает, правда? Ну у кого из нас не болела голова. Это ведь не повод сразу же бежать обследоваться.

Если же появились специфические симптомы поражения участков мозга (парезы, параличи, судорожные припадки, нарушение чувствительности в какой-то зоне, нарушение речи, изменение полей зрения и много чего еще) - человек уже и сам от страха побежит на обследование. Только вот чаще всего уже поздновато.

Так какой же шанс лично у вас? Или лично у меня?

Есть ли повод для паники?
Есть ли повод для паники?

По статистике - весьма небольшой.

Но! Статистика - прекрасная вещь в "общемировом масштабе". Понять важность проблемы и оценить тенденции... Только вот когда дело касается конкретного человека, она уже не работает. Даже если шанс один на миллион, и этот "один" выпадает на тебя или на близкого человека - статистика будет слабым утешением.

Так что... следите за своим здоровьем. В погоне за временем, работой и делами не забывайте, что вы нужны своей семье.

Подпишитесь на мой канал, чтобы не пропустить новые интересные публикации.

Всегда Ваша, #докторлена