Добавить в корзинуПозвонить
Найти в Дзене

Сколько служит зубной мост???

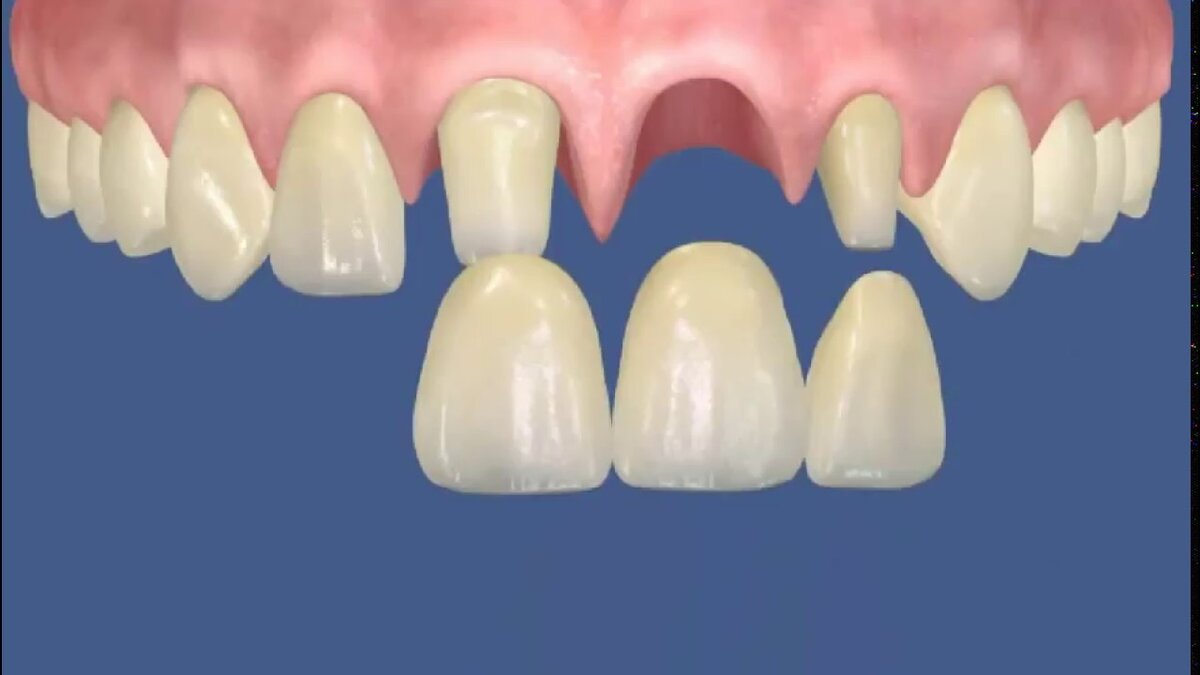
Мостовидный протез в полости рта - это несъемная ортопедическая конструкция, представляющая собой несколько соединенных в ряд искусственных зубов.  Может выполняться из разных материалов: металлокерамики, диоксида циркония и других. Конструкция фиксируется на опорные зубы. ➕Преимущества мостовидных протезов: 🔸естественный внешний вид; 🔸полное восстановление жевательной функции — до 4 зубов подряд; 🔸сохранение дикции; 🔸срок привыкания минимален — 8-12 часов; 🔸бюджетный и средний ценовой сегмент (в зависимости от материала). ➖Недостатки методики: 🔸обтачивание опорных зубов; иногда опорные зубы надо депульпировать, то есть «удалять из живого зуба НЕРВ» 🔸из-за повышенной нагрузки возможна травматическая окклюзия опорных зубов опорные зубы несут повышенную нагрузку, так как «жуют не только за себя, но и за тех, кого уже удалили» Сколько же может прослужить мостовидный протез❓ Самое главное, что каждому пациенту нужно помнить и понимать, что мостовидный протез соединяет неподвижно 2 и

Мостовидный протез в полости рта - это несъемная ортопедическая конструкция, представляющая собой несколько соединенных в ряд искусственных зубов. 

Может выполняться из разных материалов: металлокерамики, диоксида циркония и других.

Конструкция фиксируется на опорные зубы.

➕Преимущества мостовидных протезов:

🔸естественный внешний вид;

🔸полное восстановление жевательной функции — до 4 зубов подряд;

🔸сохранение дикции;

🔸срок привыкания минимален — 8-12 часов;

🔸бюджетный и средний ценовой сегмент (в зависимости от материала).

-2

➖Недостатки методики:

🔸обтачивание опорных зубов;

иногда опорные зубы надо депульпировать, то есть «удалять из живого зуба НЕРВ»

🔸из-за повышенной нагрузки возможна травматическая окклюзия опорных зубов

опорные зубы несут повышенную нагрузку, так как «жуют не только за себя, но и за тех, кого уже удалили»

Сколько же может прослужить мостовидный протез❓

Самое главное, что каждому пациенту нужно помнить и понимать, что мостовидный протез соединяет неподвижно 2 и более самостоятельно подвижных обьекта. 

ДА, каждый зуб соединяется с костной тканью за счет связочного аппарата зуба -периодонта. Поэтому каждый здоровый зуб имеет свою физиологическую(нормальную) подвижность! 

Соединение мостовидной конструкции происходит на специальный цемент (все стоматологические цементы совершенствуются), однако он является "слабым" связующим звеном между прочным мостовидным протезом и подвижными опорами!

Как правило, в агрессивной среде полости рта цемент постепенно растворяется.

Дальше может происходить попадание слюны с микроорганизмами под коронки с последующим разрушением опорных зубов!

ВАЖНО❗️

Посещать врача стоматолога не реже 2 раз в год!

Проходить процедуры професссиональной гигиены полости рта!

И НЕ ЗАБЫВАТЬ, что через 5-7 лет мост необходимо снять, обработать заново опорные зубы и изготовить новый!

ТОЛЬКО ТАК ВЫ СМОЖЕТЕ СОХРАНИТЬ ОПОРНЫЕ ЗУБЫ достаточно долго!!

Пишите в комментариях стоит ли у ВАС во рту мостовидный протез и как долго?

У нас о стоматологии СЕРЬЕЗНО!