Найти в Дзене

Чёрные дыры в зубах

Чёрные дыры в зубах являются проявлением такого известного заболевания, как кариес На ранней стадии кариес выглядит как белое пятно. Со временем процесс распространяется вглубь, и пятно становится коричневым или черным. На этом этапе поверхностные ткани зуба разрушены незначительно, зато под ними идёт активное поражение глубоких тканей зуба. В тот момент,когда глубокие слои твёрдых тканей зуба будут разрушены настолько, что внутри зуба образуется большая полость, сохранившийся над этой дырой поверхностный слой тканей может просто сколоться под действием жевательной нагрузки. В итоге на зубе появляется большая дырка, о которой, казалось бы, ничего не предвещало. Поэтому, когда вы приходите к стоматологу залечить безобидную маленькую дырку в зубе, врач может увидеть обширные кариозные поражения в более глубоких слоях. Это обязывает его удалять значительное количество твёрдых тканей зуба, поражённых болезнью. У многих пациентов это несоответствие изначальных размеров чёрной дырки в з
Оглавление

Чёрные дыры в зубах являются проявлением такого известного заболевания, как кариес

На ранней стадии кариес выглядит как белое пятно. Со временем процесс распространяется вглубь, и пятно становится коричневым или черным. На этом этапе поверхностные ткани зуба разрушены незначительно, зато под ними идёт активное поражение глубоких тканей зуба.

В тот момент,когда глубокие слои твёрдых тканей зуба будут разрушены настолько, что внутри зуба образуется большая полость, сохранившийся над этой дырой поверхностный слой тканей может просто сколоться под действием жевательной нагрузки. В итоге на зубе появляется большая дырка, о которой, казалось бы, ничего не предвещало.

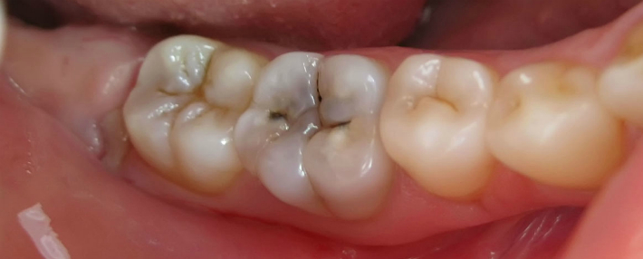
Предпоследний зуб кроме чёрных ямок на жевательной поверхности имеет потемневшую область в центре зуба. Это так называемая "тень" кариеса, которая указывает, что под неразрушенными поверхностными тканями зуба уже есть распространившийся кариозный процесс
Предпоследний зуб кроме чёрных ямок на жевательной поверхности имеет потемневшую область в центре зуба. Это так называемая "тень" кариеса, которая указывает, что под неразрушенными поверхностными тканями зуба уже есть распространившийся кариозный процесс

Поэтому, когда вы приходите к стоматологу залечить безобидную маленькую дырку в зубе, врач может увидеть обширные кариозные поражения в более глубоких слоях. Это обязывает его удалять значительное количество твёрдых тканей зуба, поражённых болезнью. У многих пациентов это несоответствие изначальных размеров чёрной дырки в зубе и более крупных конечных размеров пломбы вызывает когнитивный диссонанс.

Но нужно понимать, что, когда в зубе появляется большая, хорошо заметная полость, это говорит о уже запущенной стадии кариеса, которую можно было бы избежать и обойтись меньшей кровью. Именно поэтому необходимо посещать стоматолога раз в полгода, т. к. это позволит врачу замечать кариозные дефекты на ранней стадии и избегать их распространения. Всё это сэкономит ваши деньги, которые не придётся тратить на зубные протезы в ближайшие годы, и, что самое главное, это значительно поможет сохранить собственные зубы.

Кариес может появляться во многих местах зуба, но чаще всего он развивается между зубами и в ямках зубов, где застревает еда

Также очень часто кариес образуется под пломбой, искусственной коронкой. Вернее будет сказать, что в таких местах он образуется всегда.

Насколько рано или поздно кариес появится под пломбой или коронкой зависит не только от качества работы врача, но и от самого пациента.

Под последним подразумевается качество и периодичность чистки зубов.

Разумеется, если ваша гигиена полости рта не является образцом для подражания, врач должен вас обучить правильно чистить зубы и использовать дополнительные средства гигиены. Особенно это важно, если стоматолог собирается поставить вам керамическую коронку или просто эстетичную пломбу под цвет зуба.

А от пациента требуется только осознание того, что это нужно прежде всего ему (пациенту), и отсюда должно возникнуть желание научиться правильно ухаживать за полостью рта.

И я вам искренне советую обзавестись этим желанием. Даже самый лучший стоматолог без содействия своего пациента не сможет достичь надёжного и долговременного результата в его лечении.

Спасибо, что прочли статью до конца. Оставляйте комментарии, чтобы я мог понимать, насколько для вас эта тема интересна.

Всем красивых улыбок!