Добавить в корзинуПозвонить
Найти в Дзене
Ступино

В Ступино врачи спасли пациентку с тяжелой и редкой болезнью

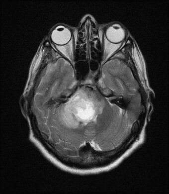
В Ступинскую центральную районную клиническую больницу экстренно поступила 53-летняя женщина с подозрением на инсульт. Пациентка жаловалась на двоение в глазах, онемение правой половины лица и левых конечностей, нарушение речи. «Изначально мы заподозрили инсульт. Однако выяснилось, что в начале октября женщина перенесла ОРВИ с высокой температурой, кашлем и катаральными явлениями, после чего и возникли симптомы, характерные для инсульта. Коллегиально мы провели пациентке углубленную нейровизуализацию. Мультидисциплинарный подход в диагностическом поиске позволил выявить абсцесс мозга редкой локализации — в стволе головного мозга», — рассказала заведующая первичным сосудистым отделением больницы Татьяна Ануфриева. В результате пациентка была маршрутизирована в МОНИКИ имени М.Ф. Владимирского в нейрохирургическое отделение третьего уровня для оперативного лечения. Женщина уже успешно прооперирована и в настоящее время проходит первый этап реабилитации. «Абсцесс мозга — тяжелое, чрезвыча

В Ступинскую центральную районную клиническую больницу экстренно поступила 53-летняя женщина с подозрением на инсульт. Пациентка жаловалась на двоение в глазах, онемение правой половины лица и левых конечностей, нарушение речи.

«Изначально мы заподозрили инсульт. Однако выяснилось, что в начале октября женщина перенесла ОРВИ с высокой температурой, кашлем и катаральными явлениями, после чего и возникли симптомы, характерные для инсульта. Коллегиально мы провели пациентке углубленную нейровизуализацию. Мультидисциплинарный подход в диагностическом поиске позволил выявить абсцесс мозга редкой локализации — в стволе головного мозга», — рассказала заведующая первичным сосудистым отделением больницы Татьяна Ануфриева.

В результате пациентка была маршрутизирована в МОНИКИ имени М.Ф. Владимирского в нейрохирургическое отделение третьего уровня для оперативного лечения. Женщина уже успешно прооперирована и в настоящее время проходит первый этап реабилитации.

«Абсцесс мозга — тяжелое, чрезвычайно опасное, но редкое заболевание. Возникает при распространении бактерий из очагов хронической инфекции на фоне сниженного иммунитета. Такими хроническими инфекционными очагами часто являются ЛОР-органы, кариозные зубы. Поэтому так важно вовремя лечить синуситы и регулярно посещать стоматолога», — отмечает заведующая рентгенологическим отделением больницы Екатерина Кобякова.