Найти в Дзене
...От Ума

Циркулирующая мРНК как маркер для ранней диагностики рака мочевого пузыря???

Рак мочевого пузыря является девятой по распространенности причиной смертности от опухолей в мире и затрагивает около 3,4 миллиона человек; в 2015 году он привел к 188 000 смертей. Среди мужчин рак мочевого пузыря был 5-м по распространенности раком в 2017 году, а заболеваемость у мужчин в 4 раза выше, чем у женщин. Несмотря на то, что 5-летняя выживаемость рака мочевого пузыря составляет 77%, она снижается в зависимости от типа и стадии заболевания. Если опухоль является инвазивной, но не распространяется за пределы мочевого пузыря, 5 летняя выживаемость составляет 70%. Однако если опухолевые клетки мигрируют в окружающие ткани (регионарные лимфатические узлы) и распространяются на отдаленные органы, 5 летняя выживаемость снижается до 35% и <10%, соответственно. Поэтому раннее выявление рака мочевого пузыря без проксимального и дистального метастазирования имеет решающее значение для повышения выживаемости пациентов с опухолевым процессом. Важной проблемой, связанной с диагностикой

Рак мочевого пузыря является девятой по распространенности причиной смертности от опухолей в мире и затрагивает около 3,4 миллиона человек; в 2015 году он привел к 188 000 смертей.

Среди мужчин рак мочевого пузыря был 5-м по распространенности раком в 2017 году, а заболеваемость у мужчин в 4 раза выше, чем у женщин. Несмотря на то, что 5-летняя выживаемость рака мочевого пузыря составляет 77%, она снижается в зависимости от типа и стадии заболевания.

Если опухоль является инвазивной, но не распространяется за пределы мочевого пузыря, 5 летняя выживаемость составляет 70%.

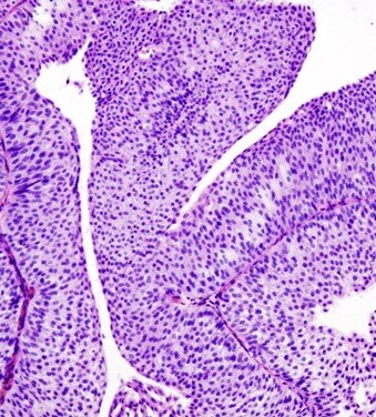
https://upload.wikimedia.org/wikipedia/commons/2/2c/Bladder_urothelial_carcinoma_%281%29_pT1.JPG
https://upload.wikimedia.org/wikipedia/commons/2/2c/Bladder_urothelial_carcinoma_%281%29_pT1.JPG

Однако если опухолевые клетки мигрируют в окружающие ткани (регионарные лимфатические узлы) и распространяются на отдаленные органы, 5 летняя выживаемость снижается до 35% и <10%, соответственно. Поэтому раннее выявление рака мочевого пузыря без проксимального и дистального метастазирования имеет решающее значение для повышения выживаемости пациентов с опухолевым процессом.

Важной проблемой, связанной с диагностикой рака мочевого пузыря, является то, что стандартные методы, такие как цитология мочи, ультразвук и цистоскопия, остаются неудовлетворительными из-за низкой точности или высокой инвазивности.

Например, цитология мочи является минимально инвазивной, но не столь точной (чувствительность 40%-60% и специфичность 90%-100%), а цистоскопия - наоборот, даже при гибкой цистоскопии риск развития инфекции мочевыводящих путей составляет около 10%.

Таким образом, срочно необходимы более эффективные и менее инвазивные средства диагностики рака мочевого пузыря.

https://s3-us-west-2.amazonaws.com/courses-images/wp-content/uploads/sites/110/2016/05/02185039/Figure_15_01_02.jpg
https://s3-us-west-2.amazonaws.com/courses-images/wp-content/uploads/sites/110/2016/05/02185039/Figure_15_01_02.jpg

Микро-РНК (мРНК) - это небольшая не кодирующая РНК, состоящая из 18-24 пар оснований с одно-цепочечными молекулами. мРНК модулируют экспрессию генов путем снижения стабильности мишени или подавления трансляционной активности. Они могут стабильно существовать в тяжелых условиях (средах), включая мочу, поскольку часть мРНК хотя бы частично упакована во внеклеточные везикулы или включена в состав РНК-индуцированного простого комплекса (RISC(англ.)) с белком Agonature-2 для защиты от элиминации РНКазы. Поэтому циркуляция мРНК, так называемой внеклеточной мРНК, привлекла большое внимание в качестве новой мишени для проведения жидкостной биопсии.

Недавно был продемонстрирован диагностический потенциал циркулирующей мРНК в жидкостях организма при таких заболеваниях как рак молочной железы, рак яичников и рак мочевого пузыря. Несколько других исследовательских групп провели крупномасштабные рандомизированные исследования и подтвердили диагностическое значение в независимых исследовательских когортах по раку мочевого пузыря. В данном обзоре представлены результаты анализа мРНК 972 образцов сыворотки крови (392 образца рака мочевого пузыря, 100 образцов нераковых заболеваний и 480 образцов других типов опухолей)

В одном исследовании было показано что больных раком мочевого пузыря значительно повышены уровни содержания в сыворотке крови miR-6724-5p, miR-1185-1-3p и miR-6831-5p. А такие показатели как miR-6087, miR-3960 и miR-1343-5p значительно снижены по сравнению с пациентами без рака или больными с 12 другими типами солидных опухолей. Комбинация (панель) Fisher’s, основанная на линейном дискриминантном анализе этих уровней мРНК сыворотки крови показала высокую точность в выделении лиц с раком мочевого пузыря из контрольных групп, включая нераковых пациентов (контрольная группа) и других типов раковых больных.

https://images.unsplash.com/photo-1511174511562-5f7f18b874f8?ixlib=rb-1.2.1&ixid=eyJhcHBfaWQiOjEyMDd9&auto=format&fit=crop&w=1350&q=80
https://images.unsplash.com/photo-1511174511562-5f7f18b874f8?ixlib=rb-1.2.1&ixid=eyJhcHBfaWQiOjEyMDd9&auto=format&fit=crop&w=1350&q=80

По сравнению с типичными биомаркерами опухолей мочи, такими как ядерно-матричный протеин 22 (NMP22) и тест состояния BTA, данная модель имела гораздо более высокую чувствительность и специфичность. В тренировочных и валидационных наборах 7-мРНК-панель при раке мочевого пузыря показала высокую чувствительность (95%-98%) и специфичность (87%-91%), тогда как другой тип метода выявления опухолей, цитология мочи, которая также является тестом с низким уровнем инвазивности, показала 48% чувствительность и 86% специфичность.

Примечательно, что 7-мРНК-панель при раке мочевого пузыря также эффективна для выявления как низких, так и высоких оценок (92,7% и 96,1% соответственно), что позволяет предположить, что эффективность панели не зависит от уровня (распространённости опухолевого процесса) опухоли. Аналогичным образом, чувствительность 7-мРНК-панели для выявления больных с Т-стадией <pT2 и ≥pT2 (94,7% и 97,7% соответственно) была сопоставима, поэтому она может применяться для выявления рака как на ранней, так и на поздней стадиях.

Эти данные подчеркивают потенциал 7-мРНК-панели для неинвазивной оценки рака мочевого пузыря на доклинических стадиях.

В последнее время молекулярная характеристика бесклеточной ДНК, циркулирующая ДНК опухоли и циркулирующая мРНК с помощью жидкостной биопсии является привлекательной альтернативой биопсии тканей для диагностики рака и других заболеваний. Для диагностики рака мочевого пузыря методом жидкостной биопсии имеется несколько сообщений о поиске биомаркеров с большими образцами, включая те, которые выявляют мутации в ДНК сыворотки или мРНК в моче у пациентов.