Добавить в корзинуПозвонить
Найти в Дзене
Best Treatment

В этом стоматологическом центре зубные импланты делают лучше всех в Европе

По материалам www.best-treatment.ru Зубные имплантанты — серьезная терапевтическая альтернатива классическим протезам. Именно они способны восстановить как эстетических вид, так и основные функции зубов. В Академии оральной имплантологии, расположенной в Вене, работают стоматологи международного уровня, которые постоянно повышают свой профессионализм и используют на практике новые достижения терапии в имплантологии. Что такое зубной имплантант Вместо отсутствующего зуба в кости закрепляется винт из керамики или титана. Это и называется имплантантом. Имплантанты используют для фиксации мостов, коронок или зубных протезов. Их основное назначение — улучшение эстетического вида и восстановление функции жевания. Наиболее распространенный материал для имплантантов — титан. Вместе с тем, успешно используется и другой материал — оксид циркония (керамика). Основные специализации Академии оральной имплантологии Академия известна как центр комплексных хирургико-имплантологических процедур, допо
Оглавление

По материалам www.best-treatment.ru

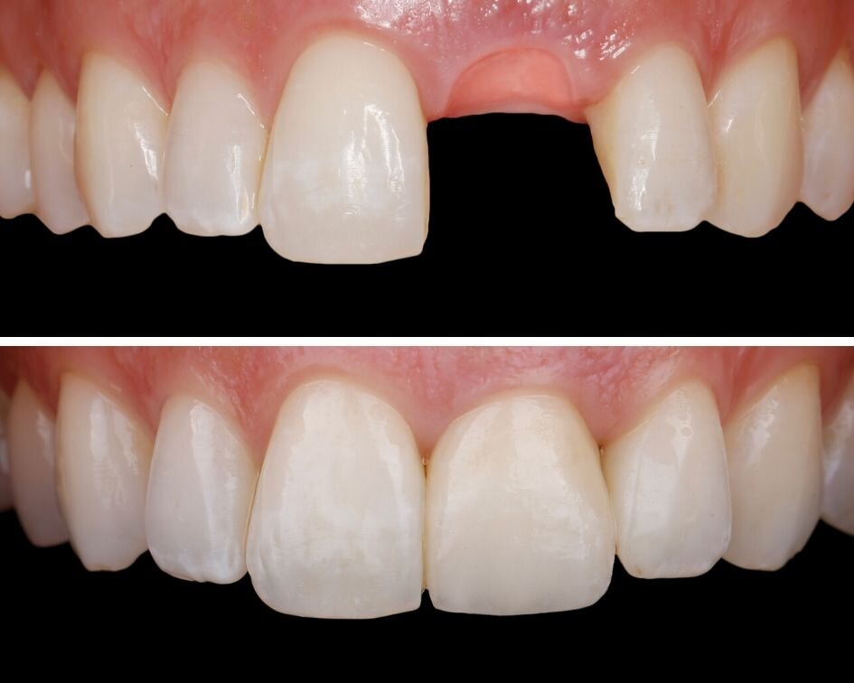
Фото ©Richard Varadappa, ©Johanna Ringler
Фото ©Richard Varadappa, ©Johanna Ringler

Зубные имплантанты — серьезная терапевтическая альтернатива классическим протезам. Именно они способны восстановить как эстетических вид, так и основные функции зубов. В Академии оральной имплантологии, расположенной в Вене, работают стоматологи международного уровня, которые постоянно повышают свой профессионализм и используют на практике новые достижения терапии в имплантологии.

Фото ©Академия оральной имплантологии
Фото ©Академия оральной имплантологии

Что такое зубной имплантант

Вместо отсутствующего зуба в кости закрепляется винт из керамики или титана. Это и называется имплантантом. Имплантанты используют для фиксации мостов, коронок или зубных протезов. Их основное назначение — улучшение эстетического вида и восстановление функции жевания.

Наиболее распространенный материал для имплантантов — титан. Вместе с тем, успешно используется и другой материал — оксид циркония (керамика).

Основные специализации Академии оральной имплантологии

Академия известна как центр комплексных хирургико-имплантологических процедур, дополняющих традиционные услуги стоматологов. С момента основания Академии удачно проведенные операции составляют свыше 96%. Врачи центра — уважаемые во всем мире специалисты. Для получения прогнозируемых и точных результатов каждому пациенту назначается 3D-рентген. Среди основных процедур:

оперативные вмешательства с применением компьютерных технологий;
малоинвазивные хирургические и терапевтические методы;
цифровой способ снятие слепка, благодаря которому ускоряется время установки несъемного зубного протеза;
одномоментная имплантация — сохранение естественного контура десен, выполняется сразу после удаления зуба;
специальный метод имплантации, который предотвращает регенерацию кости.

Фото ©Katharina Jeram
Фото ©Katharina Jeram

Преимущества

  • Строгое соблюдение правил технической и гигиенической безопасности.
  • Отдельные помещения для проведения хирургических вмешательств.
  • Современное оборудование.
  • Рентгеновский аппарат 3D.
  • Сопровождение медицинским персоналом на всем протяжении «операционного дня».
  • Филиальная стоматологическая лаборатория.
  • Источник бесперебойного питания для оборудования.
  • Уютные комнаты для отдыха после процедуры.
  • Круглосуточная служба скорой помощи, состоящая из высококвалифицированных специалистов.
  • Помещения оборудованы с учетом посещения центра пациентами с инвалидностью.
Фото ©Академия оральной имплантологии
Фото ©Академия оральной имплантологии

Контактный адрес для дополнительной информации можно найти здесь.

Если вам понравился материал, будем признательны за лайки и подписку на наш канал!