Добавить в корзинуПозвонить
Найти в Дзене

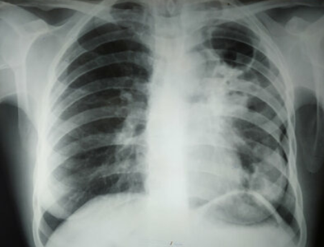
АСКОРБИНОВАЯ КИСЛОТА УБИВАЕТ ТУБЕРКУЛЕЗ..

Израильские ученые выяснили, что Аскорбиновая кислота способна убивать микобактерии туберкулеза... Давайте разбираться с самого начала. Туберкулез, как известно, вызывается легко адаптирующейся бактерией M. tuberculosis. В 2011 году, по статистике ВОЗ, от туберкулеза во всем мире умерли 1,4 миллиона человек, а около 8,7 миллиона заболели. Резистентные микобактерии, которые не поддаются лечению стандартными антибиотиками, представляют большую угрозу даже в 21 веке: около 650 000 во всем мире больны мультирезистентным туберкулезом (MDR-TB), 9% из которых имеют особо устойчивую форму (XDR-TB) Открытие израильских ученых повысило интерес к проблеме микобактерий туберкулеза, резистентных к изониазиду – мощному препарату первого ряда. Главным автором исследования стал доктор Уильям Джейкобс, профессор микробиологии, иммунологии и генетики в Колледже медицины имени А. Эйнштейна. Доктор Джейкобс является также членом Национальной академии наук и сотрудником Медицинского института Говарда Хьюз

Израильские ученые выяснили, что Аскорбиновая кислота способна убивать микобактерии туберкулеза...

Как это возможно??
Как это возможно??

Давайте разбираться с самого начала. Туберкулез, как известно, вызывается легко адаптирующейся бактерией M. tuberculosis. В 2011 году, по статистике ВОЗ, от туберкулеза во всем мире умерли 1,4 миллиона человек, а около 8,7 миллиона заболели. Резистентные микобактерии, которые не поддаются лечению стандартными антибиотиками, представляют большую угрозу даже в 21 веке: около 650 000 во всем мире больны мультирезистентным туберкулезом (MDR-TB), 9% из которых имеют особо устойчивую форму (XDR-TB)

Открытие израильских ученых повысило интерес к проблеме микобактерий туберкулеза, резистентных к изониазиду – мощному препарату первого ряда. Главным автором исследования стал доктор Уильям Джейкобс, профессор микробиологии, иммунологии и генетики в Колледже медицины имени А. Эйнштейна. Доктор Джейкобс является также членом Национальной академии наук и сотрудником Медицинского института Говарда Хьюза.

-2

Как пишет доктор Джейкобс:

«Мы предположили, что бактерии, которые не продуцируют микотиол, могут содержать больше аминокислоты цистеина. Мы подумали, что если добавить в культуру чувствительной микобактерии изониазид и цистеин, то разовьется резистентность к изониазиду. Вместо этого произошло неожиданное – мы убили всю культуру бактерий».

-3

Ученые заподозрили, что цистеин помогает убивать микобактерии, действуя как «восстанавливающий агент», который усиливает продукцию химически активных свободных радикалов. Это могло повреждать ДНК бактерий. Доктор рассказывает дальше: «Чтобы проверить эту гипотезу, мы повторили эксперимент, используя изониазид и другой восстанавливающий агент – витамин С. Комбинация этих веществ стерилизовала культуру M. tuberculosis. Мы были поражены тем фактом, что обыкновенный витамин С подавил не только чувствительные штаммы, но и резистентные штаммы, включая XDR-TB». После этого замечательного открытия доктор Джейкобс попытался разобраться в молекулярном механизме воздействия витамина С на микобактерии. Дальнейшие исследования дали ответ: витамин С индуцировал так называемую реакцию Фентона с участием железа, в результате которой образуются агрессивные радикалы – они и убивают бактерию. Авторы сказали в заключение: «Мы не знаем, будет ли эффективен витамин С у людей, но мы уже имеем представление, как это проверить в клинических испытаниях. Нам очень помогает и то, что витамин С дешевый, доступный и очень безопасный для людей. Эта работа, как минимум, открыла нам новый механизм, который можно использовать для уничтожения туберкулеза».

Таким образом, будем верить и надеяться только на лучшее, и, возможно, уже в ближайшем будущем туберкулез будет лечится как самая обычная простуда)

Спасибо за внимание! Не забудьте подписаться😉

-4