Найти в Дзене
По немногу обо всем

Как эмоции меняют форму вашего сердца

«Наша эмоциональная жизнь записана на наших сердцах», - говорит кардиолог и автор книг Сандип Джохар. В ошеломляющей беседе он исследует таинственные способы, которыми наши эмоции влияют на здоровье наших сердец - заставляя их менять форму в ответ на горе или страх, буквально ломаться в ответ на эмоциональное потрясение - и призывает изменить наше отношение к заботе о нашем самом жизненно важном органе. Ни один другой орган в жизни человека, не пронизан метафорой и значением, как человеческое сердце. На протяжении истории сердце было символом нашей эмоциональной жизни. Многие считали, что это место души, хранилище эмоций. Само слово «эмоция» происходит от французского глагола «émouvoir», что означает «расшевелить». Возможно логично, что эмоции будут связаны с органом, характеризующимся его возбужденным движением. О чем все это? Это реально или чисто метафорично? Как специалист по сердечно-сосудистым заболеваниям, Сандип говорит ,что эта связь очень реальна. Эмоции действительно оказ
Фото Рейда Зуры на Unsplash
Фото Рейда Зуры на Unsplash

«Наша эмоциональная жизнь записана на наших сердцах», - говорит кардиолог и автор книг Сандип Джохар. В ошеломляющей беседе он исследует таинственные способы, которыми наши эмоции влияют на здоровье наших сердец - заставляя их менять форму в ответ на горе или страх, буквально ломаться в ответ на эмоциональное потрясение - и призывает изменить наше отношение к заботе о нашем самом жизненно важном органе.

Ни один другой орган в жизни человека, не пронизан метафорой и значением, как человеческое сердце. На протяжении истории сердце было символом нашей эмоциональной жизни. Многие считали, что это место души, хранилище эмоций. Само слово «эмоция» происходит от французского глагола «émouvoir», что означает «расшевелить». Возможно логично, что эмоции будут связаны с органом, характеризующимся его возбужденным движением.

О чем все это? Это реально или чисто метафорично? Как специалист по сердечно-сосудистым заболеваниям, Сандип говорит ,что эта связь очень реальна. Эмоции действительно оказывают непосредственное физическое воздействие на сердце человека.

Но прежде чем мы углубимся в это, давайте немного поговорим о метафорическом сердце. Символика эмоционального сердца сохраняется и сегодня. Если мы спросим людей, какой образ они больше всего ассоциируют с любовью, нет сомнений, что сердце Валентина будет первым в списке. Форма сердца, называемая кардиоидной, распространена в природе. Она обнаружен в листьях, цветах и ​​семенах многих растений, в том числе силфиума, который использовался для контроля рождаемости в средние века и, возможно, является причиной того, что сердце стало ассоциироваться с сексом и романтической любовью.

Ориентировочно сердца начали появляться на картинах влюбленных в 13-м веке. Со временем картины стали окрашиваться в красный цвет, цвет крови, символ страсти. В римско-католической церкви форма сердца стала известной как Священное Сердце Иисуса. Украшенный шипами и излучающий эфирный свет, он стал знаком монашеской любви. Эта связь между сердцем и любовью дошла до современности. Когда в 1982 году Барни Кларк, ушедший на пенсию стоматолог с терминальной стадией сердечной недостаточности, получил первое постоянное искусственное сердце в штате Юта, его 39-летняя жена спросила врачей: «Сможет ли он все еще любить меня?»

Сегодня мы знаем, что сердце само по себе не является источником любви или других эмоций. Древние люди ошибались. И, тем не менее, мы все больше и больше понимаем, что связь между сердцем и эмоциями очень тесная. Сердце может не порождать наши чувства, но оно очень отзывчиво к ним. В некотором смысле запись нашей эмоциональной жизни написана на наших сердцах. Например, страх и горе могут привести к серьезным травмам сердца. Нервы, которые контролируют бессознательные процессы, такие как сердцебиение, могут ощущать дистресс и вызывать неадаптивную реакцию «бей или беги», которая вызывает сужение кровеносных сосудов, скачок сердца и повышение кровяного давления, что приводит к повреждению. Другими словами, становится все более очевидным, что наши сердца чрезвычайно чувствительны к нашей эмоциональной системе, к метафорическому сердцу, если хотите.

Существует заболевание сердца, впервые признанное около двух десятилетий назад, под названием «кардиомиопатия такоцубо» или «синдром разбитого сердца», при котором сердце резко ослабевает в ответ на сильный стресс или горе, например, после романтического расставания или смерти любимых.

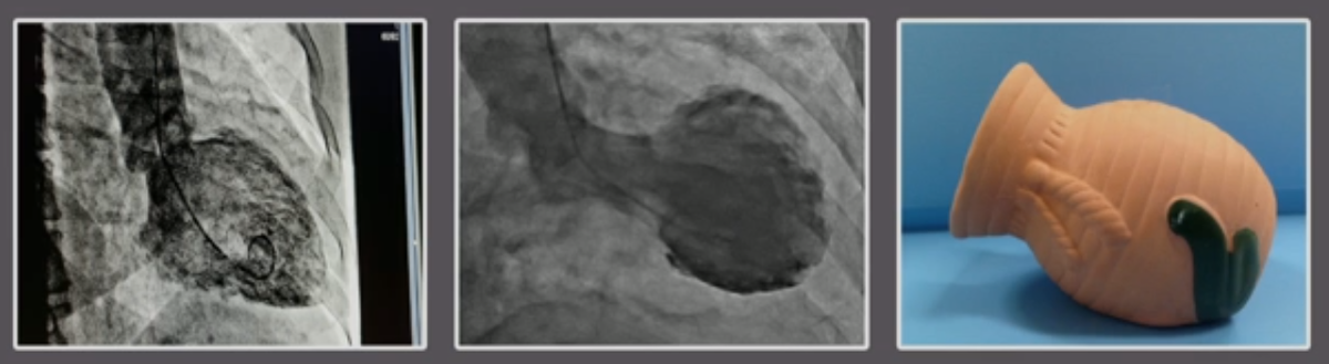
               нормальное                                    деформированное                             такоцубо
нормальное деформированное такоцубо

Как показывают эти картинки, скорбящее сердце посередине выглядит совсем иначе, чем обычное сердце слева. Он выглядит ошеломленным и часто раздувается в характерную форму такоцубо, изображенного справа, японского горшка с широким основанием и узкой шеей. Мы не знаем точно, почему это происходит, и синдром обычно проходит в течение нескольких недель. Однако в остром периоде это может вызвать сердечную недостаточность, угрожающие жизни аритмии и даже смерть.

Нарушение связано с широко распространенными социальными потрясениями, такими как стихийное бедствие. Например, в 2004 году сильное землетрясение разрушило район на самом большом острове в Японии. Более 60 человек погибли и тысячи получили ранения. Вслед за этой катастрофой исследователи обнаружили, что число случаев кардиомиопатии такоцубо в округе увеличилось в двадцать четыре раза через месяц после землетрясения по сравнению с аналогичным периодом годом ранее. Места жительства этих случаев тесно связаны с интенсивными мелкими землетрясениями. Почти в каждом случае пациенты жили вблизи эпицентра.

Интересно отметить, что кардиомиопатия такоцубо наблюдалась и после счастливого события но, похоже, сердце реагирует по-разному, например, в средней части тела, а не на вершине. Почему разные эмоциональные стимулы приводят к разным сердечным изменениям, остается загадкой. Но сегодня, возможно, как ода нашим древним философам, мы можем сказать, что даже если эмоции не содержатся в наших сердцах, эмоциональное сердце перекрывает свой биологический аналог удивительными и таинственными способами.

Сердечные синдромы, в том числе внезапная смерть, издавна отмечались у людей, испытывающих сильные эмоциональные расстройства или нагрузки в своих метафорических сердцах. В 1942 году физиолог из Гарварда Уолтер Кэннон опубликовал статью под названием «Смерть вуду», в которой он описал случаи смерти от испуга у людей, которые считали, что их прокляли, например, от колдуна или вследствие запрета на употребление фруктов. Во многих случаях жертва, потерявшая всякую надежду, упала замертво на месте. Общим для этих случаев была абсолютная вера жертвы в то, что существует внешняя сила, способная вызвать их гибель, и против которой они не могут бороться. Это предполагаемое отсутствие контроля, как предположил Кэннон, привело к сильному физиологическому ответу,

Кэннон полагал, что смертельные случаи вуду были ограничены местными или "примитивными" людьми. Но за эти годы было показано, что эти типы смертей происходят во всех современных людях. Сегодня смерть от горя наблюдалась у супругов и братьев и сестер. Разбитые сердца в прямом и переносном смысле смертельно опасны.

Эти ассоциации верны даже для животных. В увлекательном исследовании, опубликованном в 1980 году в журнале «Science», исследователи кормили кроликов в клетках рационом с высоким содержанием холестерина для изучения его влияния на сердечно-сосудистые заболевания. Удивительно, но они обнаружили, что у некоторых кроликов было гораздо больше болезней, чем у других, но они не могли объяснить, почему. У кроликов была очень похожая диета, среда и генетический состав. Они думали, что это может быть связано с тем, как часто техник взаимодействует с кроликами. Поэтому они повторили исследование, разделив кроликов на две группы. Обе группы питались диетой с высоким содержанием холестерина. Но в одной группе кроликов вытащили из их клеток, держали, ласкали, разговаривали, играли, а в другой группе кролики оставались в своих клетках и оставались одни. Вскрытие показало, что кролики которх ласкали оказались здоровее

Сегодня забота о сердце стала не столько областью философов, которые сосредоточены на метафорических значениях сердца, сколько областью врачей, подобных мне, владеющих технологиями, которые даже столетие назад из-за высокого статуса сердца в человеческой культуре, считались табу. При этом сердце из почти сверхъестественного объекта, наполненного метафорой и смыслом, превратилось в машину, которой можно манипулировать и контролировать. Но это ключевой момент: эти манипуляции, как мы теперь понимаем, должны быть дополнены вниманием к эмоциональной жизни, которую, как считалось, в течение тысячелетий удерживало сердце.

Возьмем, к примеру, исследование «Образ жизни сердца», опубликованное в британском журнале «The Lancet» в 1990 году. Сорок восемь пациентов с умеренной или тяжелой ишемической болезнью были случайным образом распределены на обычный уход или интенсивный образ жизни, включающий вегетарианскую диету с низким содержанием жиров, умеренные аэробные упражнения, групповая психосоциальная поддержка и советы по управлению стрессом. Исследователи обнаружили, что у пациентов, живущих в течение всей жизни, коронарная бляшка сократилась почти на пять процентов. С другой стороны, у контрольных пациентов коронарная бляшка была на пять процентов больше в год и на 28 процентов больше через пять лет. Они также почти удвоили частоту сердечных заболеваний, таких как сердечные приступы, операции по коронарному шунтированию и смертность от сердечно-сосудистых заболеваний.

Теперь, вот интересный факт: некоторые пациенты в контрольной группе приняли планы диеты и физических упражнений, которые были почти такими же интенсивными, как и в группе с интенсивным образом жизни. Их болезнь сердца все еще прогрессировала. Одной только диеты и физических упражнений недостаточно для облегчения регресса ишемической болезни. Как в течение одного года, так и в течение пяти лет, управление стрессом более четко снижало число обращений по коронарной болезни, чем физические упражнения.

Без сомнения, это и подобные исследования невелики, и конечно, корреляция не доказывает причинно-следственную связь. Вполне возможно, что стресс приводит к нездоровым привычкам, и это реальная причина повышенного сердечно-сосудистого риска. Но, как и в случае с курением и раком легких, когда многие исследования показывают одно и то же, и когда существуют механизмы, объясняющие причинно-следственную связь, кажется не нужно отрицать, что она вероятно, существует. Многие доктора пришли к выводу, что эмоциональное сердце пересекается со своим биологическим аналогом удивительным и таинственным образом.

И все же медицина сегодня продолжает осмыслять сердце как машину. Эта концептуализация имела большие преимущества, тем не менее, вполне возможно, что мы приближаемся к пределам того, что может сделать научная медицина для борьбы с сердечными заболеваниями. Действительно, темпы снижения смертности от сердечно-сосудистых заболеваний значительно замедлились за последнее десятилетие.

Возможно, есть лучший способ, если мы признаем, что когда мы говорим «разбитое сердце», мы действительно иногда говорим о настоящем разбитом сердце. Мы должны, должны уделять больше внимания силе и важности эмоций в заботе о наших сердцах.