Найти в Дзене
София Софий

Почему современные девушкине не жалеют денег на маникюр,но ходят с черными зубами?

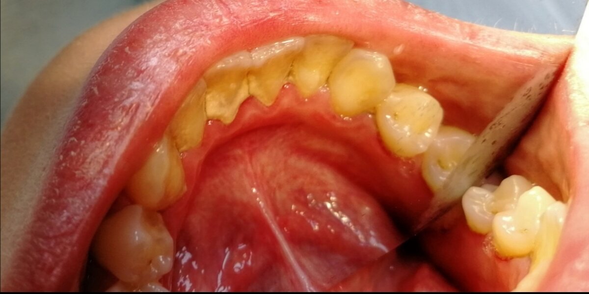
Работая стоматологом,невольно проводишь свою статистику пациентов. Все люди разные:разное социальное положение,разный иммунитет и организм. Но есть отдельные граждане,под нее попадают в основном девушки. Кто они? Расскажу про таких девушек: они всегда хорошо выглядят. Обязательно айфон,приятные духи,реснички и ноготочки. Но, при осмотре полости рта- имеются камни,налет,часто от кофе или курения . Все это молодые девушки до 30 лет. Спрашиваешь: как давно делали профессиональную гигиену? Можно услышать разные ответы-от несколько лет до "никогда" На вопрос "Почему?" Ответ "Дорого". К слову , цена профессиональной гигиены варьируется в разных клиниках,и можно найти от 1500 до 5000 и больше. Как бы,можно найти свою ценовую категорию. И не пойти месяц на ресницы и ноготочки,если все так плохо. Таких девушек много.Почему пишу именно о женском поле? А все потому,что при наличии ноготочков и ресничек,желая быть самой самой , они имеют неудовлетворительное состояние полости рта. Да,это не т

Работая стоматологом,невольно проводишь свою статистику пациентов.

Все люди разные:разное социальное положение,разный иммунитет и организм. Но есть отдельные граждане,под нее попадают в основном девушки. Кто они?

Расскажу про таких девушек:

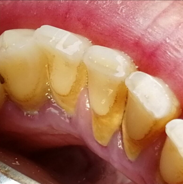
они всегда хорошо выглядят. Обязательно айфон,приятные духи,реснички и ноготочки. Но, при осмотре полости рта- имеются камни,налет,часто от кофе или курения .

-2
-3

Все это молодые девушки до 30 лет.

Спрашиваешь: как давно делали профессиональную гигиену? Можно услышать разные ответы-от несколько лет до "никогда"

-4

На вопрос "Почему?" Ответ "Дорого".

К слову , цена профессиональной гигиены варьируется в разных клиниках,и можно найти от 1500 до 5000 и больше. Как бы,можно найти свою ценовую категорию. И не пойти месяц на ресницы и ноготочки,если все так плохо.

Таких девушек много.Почему пишу именно о женском поле? А все потому,что при наличии ноготочков и ресничек,желая быть самой самой , они имеют неудовлетворительное состояние полости рта.

-5

Да,это не так видно,не так заметно,поэтому пытаюсь докричаться до каждой,что с таким состоянием зубов,к 40 годам придется посещать ортопеда,чтобы вставлять различные конструкции.

Такая профилактика помогает,и девушки включают голову.

Поэтому,подумайте над тем,что действительно важно:жевать до старости своими зубами,или с ресничками и ноготочками ходить в 50 лет на примерку коронок и мостов и ждать приживется имплант или нет?