Найти в Дзене
all world

Малярия перешла от горилл к людям 50 000 лет назад

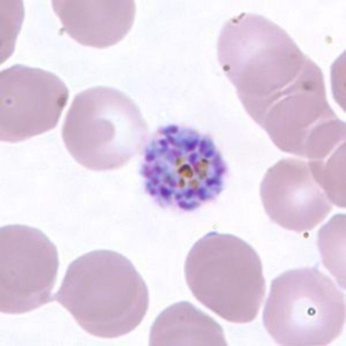
Плазмонадий фальципарум, несомненно, является одним из самых влиятельных организмов в истории человечества. Этот одноклеточный паразит является одним из основных видов, ответственных за малярию, заболевание, которое убивает десятки миллиардов людей и продолжает ежегодно заражать более 200 миллионов человек. Но как начались наши неудачные отношения с этим паразитом? В новом исследовании раскрывается важная глава этой истории, которая восходит к маловероятной встрече двух паразитов около 50 000 лет назад и редкому генетическому событию, которое позволило инфекции перейти от горилл к человеку. Все малярийные паразиты произошли от африканских обезьян. Однако они научились переключать хозяев с горилл на людей. Существует семь видов плазменных паразитов, вызывающих малярию, и пять видов, которые могут инфицировать человека, хотя только два из них - P. falciparum и P. vivax - являются причиной подавляющего большинства человеческих инфекций. В 2017 году 99,7% случаев заболевания малярией в

Плазмонадий фальципарум, несомненно, является одним из самых влиятельных организмов в истории человечества. Этот одноклеточный паразит является одним из основных видов, ответственных за малярию, заболевание, которое убивает десятки миллиардов людей и продолжает ежегодно заражать более 200 миллионов человек.

https://pin.it/llbkrqqypz4cvk
https://pin.it/llbkrqqypz4cvk

Но как начались наши неудачные отношения с этим паразитом? В новом исследовании раскрывается важная глава этой истории, которая восходит к маловероятной встрече двух паразитов около 50 000 лет назад и редкому генетическому событию, которое позволило инфекции перейти от горилл к человеку.

Все малярийные паразиты произошли от африканских обезьян. Однако они научились переключать хозяев с горилл на людей. Существует семь видов плазменных паразитов, вызывающих малярию, и пять видов, которые могут инфицировать человека, хотя только два из них - P. falciparum и P. vivax - являются причиной подавляющего большинства человеческих инфекций. В 2017 году 99,7% случаев заболевания малярией в Африке приходилось на P. falciparum.

Чтобы понять, как произошел этот решающий скачок от гориллы к человеку, ученые из Wellcome Sanger Institute использовали   для Реконструкцию наследственных последовательностей изучения молекулярной эволюции предка P. falciparum 50 000 лет  . 

Реконструкция наследственных последовательностей (ASR) широко используется для понимания эволюции, структуры и функции белка.

В журнале Плос по биологии, исследователи рассказали,что сосредоточены на RH5 гене , кодируеющий белок , который связывается с рецептором белка в красных клетках крови человека и позволяет паразиту вторгаться.

По-видимому, наследственный белок RH5 обладает двойной способностью связываться как с гориллой, так и с человеческим организмом, что позволяет паразиту инфицировать эритроциты обоих видов. 

https://pin.it/xw7dbzkfgbxrbc
https://pin.it/xw7dbzkfgbxrbc

Исследователи утверждают , что два различных типа Plasmodium  паразитов случилось и заразить горилл клетки  одновременно , и они обменялись некоторые генетического материала между собой с помощью процесса , известного как интрогрессией. Результатом стал паразит Plasmodium, снабженный генами, которые позволяли ему заражать как горилл, так и людей. 

Дальнейший анализ затем показал, что мутации означали, что паразит больше не мог связываться с гориллой, объясняя, как P. falciparum стал ограниченным только для людей.

https://pin.it/oiftdrnu7y7luz
https://pin.it/oiftdrnu7y7luz

«Удивительно иметь возможность« воскрешать »наследственные гены, такие как тот, который позволял  Plasmodium falciparum  прыгать с горилл на людей. Мы обнаружили не только то, как происходило переключение видов-хозяев, но и индивидуальная мутация, которая затем ограничивала  P . фальципарум  к одному виду хозяина,»  сказал д - р Франк Prugnolle, со-ведущий автор из университета Монпелье.

Это открытие не только подчеркивает историю того, как одна из самых смертельных болезней в мире заразила человека, но и дает представление о том, как патогенные микроорганизмы могут совершить роковой скачок от одного вида к другому.

Конечно, малярия - далеко не единственное заболевание, которое люди приобрели от наших великих родственников обезьян. Другие примеры современных зоонозных заболеваний, которые преодолели разрыв от приматов, не являющихся людьми, к людям, включаютвирусы Эбола, Зика и - возможно, наиболее известные-вирусы иммунодефицита человека(ВИЧ).