Добавить в корзинуПозвонить
Найти в Дзене
Сергей Лоншаков

Черные зубы, почему они темнеют и как с этим бороться

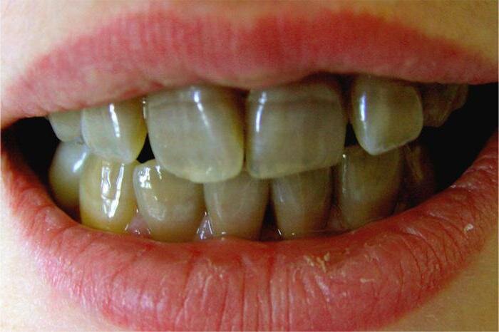
Почему зубы темнеют? Это один из наиболее часто задаваемых вопросов в стоматологических кабинетах. Причины, которые могут повлиять на изменение цвета зубов, подразделяются на внешние и внутренние. Внутренние причины – это те, которые вмешиваются в фазу формирования зубов, прежде чем они прорезаются. Пятна, которые возникают в этой фазе, могут быть вызваны приемом определенных антибиотиков, таких как тетрациклин, высоким уровнем фтора или плохой минерализацией зубной эмали. Естественное старение зуба также входит в эту группу факторов. Чем старше человек, тем зубы становятся темнее. Внешние причины – это те, которые возникают при приеме с пищей красителей, консервантов, усилителей вкуса, заменителей сахара, пестицидов и т.п. Кроме того, избыточное употребление чая, кофе, красного вина, а также курение и бактерицидные средства, используемые при полоскании ротовой полости, могут привести к изменению цвета зубов. Черны пятна на зубах, наиболее распространенные причины: Лечение почерневши
Оглавление

Почему зубы темнеют? Это один из наиболее часто задаваемых вопросов в стоматологических кабинетах. Причины, которые могут повлиять на изменение цвета зубов, подразделяются на внешние и внутренние.

Внутренние причины – это те, которые вмешиваются в фазу формирования зубов, прежде чем они прорезаются. Пятна, которые возникают в этой фазе, могут быть вызваны приемом определенных антибиотиков, таких как тетрациклин, высоким уровнем фтора или плохой минерализацией зубной эмали. Естественное старение зуба также входит в эту группу факторов. Чем старше человек, тем зубы становятся темнее.

Внешние причины – это те, которые возникают при приеме с пищей красителей, консервантов, усилителей вкуса, заменителей сахара, пестицидов и т.п. Кроме того, избыточное употребление чая, кофе, красного вина, а также курение и бактерицидные средства, используемые при полоскании ротовой полости, могут привести к изменению цвета зубов.

Черны пятна на зубах, наиболее распространенные причины:

  • Алкоголь и употребление напитков способствуют появлению на зубах черных пятен. К таким напиткам относятся: красное вино, кока-кола, пепси-кола, кофе, черный чай, уксус, цитрусовые соки и другие.
  • Табак. Смола и никотин являются двумя элементами, входящими в состав табака. Курение, как и алкоголь, могут привести к появлению черных пятен на зубах.
  • Бактерии. Присутствующие в полости рта бактерии образуют зубной камень, который появляется по линии десен и способствует образованию кариеса, и развитию пародонта. Зубной камень – твердое отложение желтоватого или черного цвета.
  • Лекарственные препараты. Черные зубы или пятна любого типа на зубах также могут появиться при приеме некоторых лекарств.
  • Травма. В случае травмы лечение почерневшего зуба основано на терапии и последующем отбеливании.

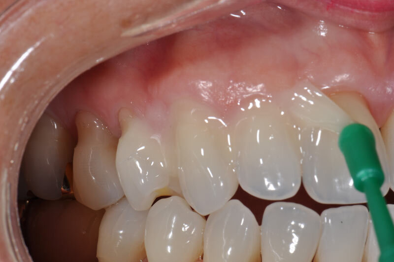
Лечение почерневших зубов

Существуют определенные проблемы, которые необходимо учитывать для поддержания хорошей гигиены полости рта. Чтобы сохранить естественный цвет зубов нужно употреблять продукты богатые кальцием, магнием и витамином С и D. Кроме того, требуется периодически посещать стоматолога.

Своевременное выявление проблем позволяет специалистам Центра современной стоматологии доктора Лоншакова проводить эффективное лечение. Для восстановления цвета зубов назначается рентгенологическое исследование, чтобы проверить состояние корня.

Для лечения черных зубов используются различные методы, в зависимости от выявленной причины:

-2

  • в случае травмы, проводится обработка корневого канала с последующим отбеливанием зуба;
  • при переломе корня, зуб удаляется;
  • когда дело касается глубокого кариеса, предоставляется эндодонтическое лечение, если корень не поврежден и кость не повреждена. После устранения инфекции, зуб восстанавливается ​​с помощью коронки.

Врачи Центра современной стоматологии доктора Лоншакова помогут найти лучшее решение для удаления черных пятен и восстановления красивой улыбки. Профессиональные гарантированные услуги предоставляются опытными докторами.