Добавить в корзинуПозвонить
Найти в Дзене
Chiplanaka

Comment fonctionne la radiography?

Les examens radiographiques fournissent des images de l'intérieur du corps. Malheureusement, ce n'est pas complètement sûr. Les examens radiographiques font partie des procédures médicales standard depuis de nombreuses décennies. Ils servent à confirmer une suspicion de maladie, à examiner le cœur et les poumons, à détecter des tumeurs ou à rendre visibles les occlusions vasculaires. Qu'est ce que la radiographie? La radiographie est une méthode d'examen dans laquelle un corps est irradié avec un rayonnement radiographique et, par conséquent, une image de ce rayonnement est produite. Dans le passé, ces images étaient enregistrées sur du matériel de film. Aujourd'hui, cela est également possible par voie électronique. Les rayons X qui traversent le corps sont plus ou moins fortement "absorbés" (absorbés) en fonction du type de tissu. Un os transmet moins de radiations, un autre muscle. Dans la radiographie d'un bras, nous voyons donc l'os comme une structure blanche, le muscle comme une
Оглавление

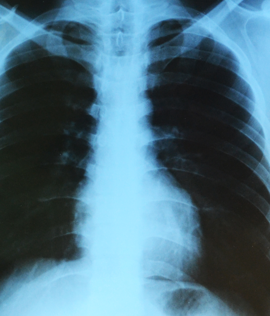
Les examens radiographiques fournissent des images de l'intérieur du corps. Malheureusement, ce n'est pas complètement sûr.

Les examens radiographiques font partie des procédures médicales standard depuis de nombreuses décennies. Ils servent à confirmer une suspicion de maladie, à examiner le cœur et les poumons, à détecter des tumeurs ou à rendre visibles les occlusions vasculaires.

Qu'est ce que la radiographie?

La radiographie est une méthode d'examen dans laquelle un corps est irradié avec un rayonnement radiographique et, par conséquent, une image de ce rayonnement est produite. Dans le passé, ces images étaient enregistrées sur du matériel de film. Aujourd'hui, cela est également possible par voie électronique.

Les rayons X qui traversent le corps sont plus ou moins fortement "absorbés" (absorbés) en fonction du type de tissu. Un os transmet moins de radiations, un autre muscle. Dans la radiographie d'un bras, nous voyons donc l'os comme une structure blanche, le muscle comme une structure sombre.

Qu'est-ce que le rayonnement X?

Ce type de rayonnement est créé dans un "tube à rayons X". Au cours du processus, les électrons sont accélérés dans le vide (c'est-à-dire à l'abri de l'air) et frappent une électrode ("l'anode"). Au moment de la décélération, le rayonnement est généré, les physiciens l’appellent "bremsstrahlung". Les rayons X sont des ondes "électromagnétiques", tout comme la lumière visible. La différence avec la lumière visible réside dans la "longueur d'onde".

Les rayons X ne sont pas sans danger et ne devraient être utilisés que si cela est vraiment médicalement nécessaire. Il représente un rayonnement de haute énergie pouvant endommager le matériel génétique des cellules. Le facteur décisif est la "dose", i. la quantité de rayonnement que le tissu absorbe. Différents types de tissus réagissent également avec une sensibilité différente à une possible exposition excessive aux rayonnements. Aucun médecin n'aura une radiographie juste "pour le plaisir". Les enfants sont moins susceptibles d'entrer en contact avec cet examen que les adultes.

Que se passe-t-il lors d'un examen radiographique?

Les vêtements dans les parties du corps examinées doivent être préservés, ainsi que tout bijou. Dans certaines études, les parties du corps qui doivent être protégées par des rayons X sont recouvertes d'un tablier en plomb. Cela peut être gênant pour les enfants, car cette protection est assez difficile.

La radiographie elle-même ne prend que très peu de temps, mais vous devez vous asseoir ou rester immobile, même les petits mouvements vous apportent comme sur les bonnes photos en prises de vue "floues".

Il existe des études dans lesquelles un soi-disant "agent de contraste" doit d'abord être avalé. Cela implique souvent des examens de l'œsophage, de l'estomac ou des intestins.

Où est utilisé l'examen radiographique?

En cas de suspicion de fracture, le médecin doit souvent être en sécurité et procéder à un examen radiographique.

Une méthode moderne est la "tomographie informatisée", dans laquelle il est possible de produire des images en coupe transversale sans rayons X de n'importe quelle région du corps. Le résultat est "images en coupe".

Les dentistes utilisent les rayons X pour traiter les dents mortes et enflammées ou les maladies du lit dentaire et pour planifier les prothèses.

Le rayonnement X est utilisé depuis longtemps dans la recherche et la technologie. Un exemple est "l'analyse de la structure des rayons X" pour explorer les structures cristallines. Dans les tests de matériaux, les rayons X permettent de détecter des fissures ou des vides dans les pièces critiques.

Même en tant qu’art indépendant, la photographie aux rayons X est établie: des photos de serpents avec un repas qui vient d’être avalé, l’intérieur d’une montre ou d’un aspirateur attirent l’attention et contribuent à la compréhension des contextes scientifiques et scientifiques. techniciens.