Найти в Дзене
Жизнь

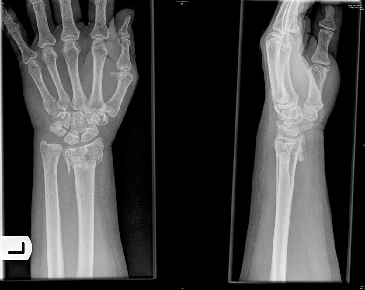
Сегодня я сломал левую лучевую кость в 3 местах.

Всем привет сегодня произошло то, что сподвигло меня нанести первый мой гипс в жизни. Я играя на футбольном поле в футбол, сломал себе левую лучевую кость аж в 3 местах. Был обычный день, мы с ребятами собрались поиграть в футбол на городском стадионе. Все разогрелись и принялись за игру. Нас играло 14 человек 7 в каждой команде, игра была идеальной, была хорошая сыгранность что у нас что и у соперников. И вот нат настал тот раковой момент. Мне дают длинную передачу с центра поля,убрав мяч под себя я направился к воротам соперника, догоняющий с зади меня защитник был уже близко и я решил подойти к воротам еще ближе дабы не промахнуться. Подхожу ближе к воротам но не увидев что вратарь вышел и прыгнул в мяч, мне оставалось только перепрыгивать через вратаря, что я и сделал. Перепрыгнув я упал но не просто а на вытянутую руку... Так как я некогда не ломал руку и не знав боли что это вообще такое, я не сильно предал этому падению значения и просто продолжил играть. Поиграв еще около 1-

Всем привет сегодня произошло то, что сподвигло меня нанести первый мой гипс в жизни. Я играя на футбольном поле в футбол, сломал себе левую лучевую кость аж в 3 местах.

Был обычный день, мы с ребятами собрались поиграть в футбол на городском стадионе. Все разогрелись и принялись за игру. Нас играло 14 человек 7 в каждой команде, игра была идеальной, была хорошая сыгранность что у нас что и у соперников. И вот нат настал тот раковой момент. Мне дают длинную передачу с центра поля,убрав мяч под себя я направился к воротам соперника, догоняющий с зади меня защитник был уже близко и я решил подойти к воротам еще ближе дабы не промахнуться. Подхожу ближе к воротам но не увидев что вратарь вышел и прыгнул в мяч, мне оставалось только перепрыгивать через вратаря, что я и сделал. Перепрыгнув я упал но не просто а на вытянутую руку...

Так как я некогда не ломал руку и не знав боли что это вообще такое, я не сильно предал этому падению значения и просто продолжил играть. Поиграв еще около 1-1.5 часа резко начала болеть рука, да не просто болеть а она оказывается немного посинела и опухла. Ну я как человек который не придавал значению данному инциденту испугался до смерти, придя в травмпункт мне сказали дружек-перелом и не обычный а в 3 местах...

После этого мне нужно 4 недели проходить в гипсе и еще 2 недели в спец повязке.

Поддержите меня лайком и подпиской на мой канал, мне будет дико приятно!

-2