Найти в Дзене
Нейроновости

Подростку всё едино: что лайк, что шоколадка

Специалисты Калифорнийского университета в Лос-Анджелесе просканировали мозг подростков, пока те листали ленту соцсетей. Выяснилось, что когда подростки видят много лайков на своих фото или фото сверстников, активируется тот же контур мозга, что и при поедании шоколада или выигрыше крупной суммы денег. Результат опубликовали в Psychological Science в 2016 году. Два снимка мозга. Зеленым выделено прилежащее ядро, центр системы вознаграждения мозга. Эта область была более активна, когда подростки видели фотографии себя и других подростков, лайкнутые  множеством ровесников. Прошлое исследование предполагает, что эта область наиболее активна в юности. Участниками исследования стали 32 подростка в возрасте от 13 до 18 лет. Им сказали, что исследование посвящено маленькой соцсети вроде Инстаграм (популярное приложение для публикации фотографий). В эксперименте, поставленном сотрудниками Центра картирования головного мозга Амансона-Лавлейса, исследователи за 12 минут показали подросткам 148

Специалисты Калифорнийского университета в Лос-Анджелесе просканировали мозг подростков, пока те листали ленту соцсетей. Выяснилось, что когда подростки видят много лайков на своих фото или фото сверстников, активируется тот же контур мозга, что и при поедании шоколада или выигрыше крупной суммы денег. Результат опубликовали в Psychological Science в 2016 году.

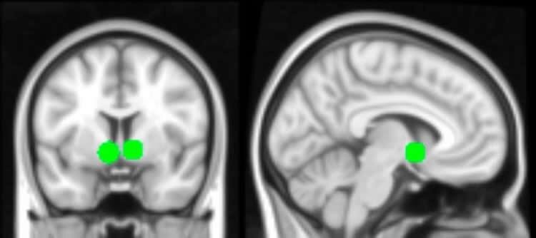
Два снимка мозга. Зеленым выделено прилежащее ядро, центр системы вознаграждения мозга. Эта область была более активна, когда подростки видели фотографии себя и других подростков, лайкнутые  множеством ровесников. Прошлое исследование предполагает, что эта область наиболее активна в юности.

Участниками исследования стали 32 подростка в возрасте от 13 до 18 лет. Им сказали, что исследование посвящено маленькой соцсети вроде Инстаграм (популярное приложение для публикации фотографий). В эксперименте, поставленном сотрудниками Центра картирования головного мозга Амансона-Лавлейса, исследователи за 12 минут показали подросткам 148 фотографий, включая 40, на которых были изображены сами подопытные, одновременно анализируя их мозговую активность с помощью  функциональной МРТ. Рядом с каждой фотографией отображалось количество лайков.

Особенно активна была часть полосатого тела, называемая прилежащим ядром — элемент системы вознаграждения мозга. Считается, что в юности она особенно чувствительна. Когда подростки видели свои фото со множеством лайков, исследователи так же замечали активность в области «социального мозга» и областях, связанных со зрительным вниманием.

На решение поставить лайк сильно влияло количество лайков, которое уже стояло.

Половине испытуемых авторы показывали фото с большим количеством лайков, а другой половине — те же самые фото, где лайков было всего несколько. Когда они видели фото, где было много лайков, они намного более часто ставили лайк сами. Они по-разному реагировали на информацию в зависимости от количества ровесников (даже незнакомых) которые одобряли ее.

«Когда подросткам попадалось их собственное фото с большим количеством лайков, мы наблюдали всплеск активности, проходящей через различные области мозга»,  — рассказала ведущий автор работы Лорен Шерман (Lauren E. Sherman), исследователь Центра картирования головного мозга и Детского цифрового медиа-центра в Лос-Анджелесе.

В реальной жизни подростков мнение друзей оказывает на них значительное влияние, считает Мирелла Дапретто, профессор психиатрии и поведенческих наук Института Семела нейронаук и поведения человека Калифорнийского университета в Лос-Анджелесе.

В исследовании использовалась группа виртуалов, не знакомых испытуемым, но при этом они все еще находились под влиянием сверстников. Их желание соглашаться с мнением других пользователей проявлялась и на уровне мозга, и при выборе фотографий, которым они ставили лайк. Авторы предполагаот, что этот эффект будет выражен еще сильнее в реальной жизни подростки обращают внимание на лайки, поставленные важными для них людьми.

Стоит ли родителям беспокоиться насчет социальных сетей? Исследователи считают, что соцсети имеют более выраженные позитивные и негативные черты, чем прочие СМИ.

Многие подростки и молодые люди дружат онлайн с людьми, которых знают недостаточно хорошо, и родители переживают не зря, считает Дапретто.

«Если ребенок сильно подвержен влиянию со стороны, то такие люди могут втянуть его в неприятности»,  — говорит она.

Патриция Гринфилд, директор Детского цифрового медиа-центра Калифорфнийского университета и другой главный автор исследования, добавляет: «Родители считают, что они знают, с кем дружат их дети. Но когда у них несколько сотен друзей, родители точно не могут знать, кто все эти люди».

Тем не менее Шерман указывает на возможные преимущества соцсетей.

«Если друзья вашего ребенка ведут себя положительно, то прекрасно, что ваш ребенок это видит и попадает под их влияние, — считает она. — Родителям следует быть в курсе, с кем их дети дружат в сети, и что эти люди постят и лайкают. К тому же, ранние исследования показывают, что восприятие самих себя у подростков зависит от мнения окружающих. Наши данные, безусловно, это отражают».

Зависимость от мнения ровесников известна давно, но с лайками несколько иная ситуация.

«В прошлом подростки сами делали выводы о том, как на них реагируют окружающие, — говорит Шерман. — Лайки же донельзя однозначны».

В исследовании использовались «нейтральные» фото, еды или друзей, например, и «провокативные» — сигарет, алкоголя и подростков в откровенной одежде.

«Независимо от типа фото — нейтральных, провокативных или своих собственных — подростки были более склонны их лайкать, если это сделали уже многие люди, чем если несколько, — рассказывает Гринфилд, профессор психологии. — Эффект подчинения, который особенно выражен для их собственных фото, показывает, насколько важно одобрение ровесников».

Когда подростки смотрели на провокативные фото в сравнении с нейтральными, у них в меньшей степени были активны зоны мозга, связанные с «когнитивным контролем» и «cнижением ответственности», включая переднюю поясную кору, билатеральную префронтальную кору и латеральную теменную кору

По словам Дарпетто, эти области мозга отвечают за принятие решений и могут удержать нас от каких-либо действий, или наоборот дать зеленый свет.

Рассматривание изображающих рискованное поведение фотографий, кажется, снижает активность в областях мозга, которые отвечают за осторожное поведение.

Текст: Neuronovosti.Ru

The Power of the Like in Adolescence: Effects of Peer Influence on Neural and Behavioral Responses to Social Media by Lauren E. Sherman, Ashley A. Payton, Leanna M. Hernandez, Patricia M. Greenfield, and Mirella Dapretto in Psychological Science. Published online May 31 2016 doi:10.1177/0956797616645673