Добавить в корзинуПозвонить
Найти в Дзене

Перелом руки у ребенка: особенности, причины и первая помощь

Дети более активны, поэтому травматизм в детском возрасте – это распространенное явление. Но важно не растеряться, правильно оказать ребенку первую помощь и своевременно обратиться за специализированной помощью. Это поможет избежать крайне неприятных осложнений в виде повреждения области роста кости, которая находится в непосредственной близости от суставов. По статистическим данным - переломы костей верхних конечностей у детей встречаются чаще, чем ног. При этом самой распространенной локализацией переломов считаются кости предплечья и локтевой сустав. Тяжелые множественные травмы в детском возрасте наиболее часто встречаются при падении с большой высоты или ДТП и составляют от 2,5 до 10% всех переломов в детском возрасте. Особенности переломов у детей В большинстве случаев переломы конечностей у детей происходят по типу перелома «зеленой ветви». Внешне такой перелом выглядит в виде надломанной и согнутой кости. Отличительной чертой такого вида травм является односторонний перелом с
Оглавление

Дети более активны, поэтому травматизм в детском возрасте – это распространенное явление. Но важно не растеряться, правильно оказать ребенку первую помощь и своевременно обратиться за специализированной помощью. Это поможет избежать крайне неприятных осложнений в виде повреждения области роста кости, которая находится в непосредственной близости от суставов.

По статистическим данным - переломы костей верхних конечностей у детей встречаются чаще, чем ног. При этом самой распространенной локализацией переломов считаются кости предплечья и локтевой сустав.

Они могут возникать:
Они могут возникать:
  • при нетяжелых травмах (бытовых, спортивных или уличных);
  • во время бега или ходьбы;
  • при активных подвижных играх на детской площадке или в доме;
  • при падении с  различной высоты.

Тяжелые множественные травмы в детском возрасте наиболее часто встречаются при падении с большой высоты или ДТП и составляют от 2,5 до 10% всех переломов в детском возрасте.

Особенности переломов у детей

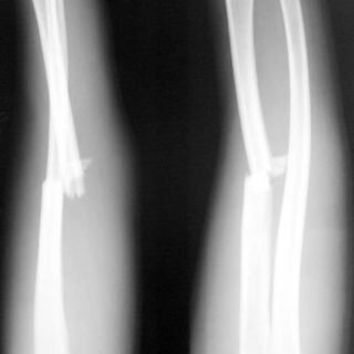
В большинстве случаев переломы конечностей у детей происходят по типу перелома «зеленой ветви».

Внешне такой перелом выглядит в виде надломанной и согнутой кости.

Отличительной чертой такого вида травм является односторонний перелом с небольшим смещением или без него. Это связано с тем, что плотная, но эластичная надкостница как мягкая кора крепко держит оба обломка и не дает им окончательно разделиться.

Также в отличие от взрослых, у детей достаточно часто происходят повреждение выростов, на которых прикрепляются мышцы. Поэтому перелом руки в данном случае будет сочетаться с отрывом связок и мышц от основания кости.

Специфика переломов у детей обусловлена особенностями костно-мышечной системы детского организма:

  • надкостница (оболочка, покрывающая кости снаружи) толще и лучше кровоснабжается;
  • кости имеют зоны роста;
  • костная ткань содержат больше органических веществ.
-2

Но наряду с этим следует отметить, что перелом руки, перенесенный в детском возрасте, может иметь тяжелые последствия в будущем.

Повреждение этих зон может стать причиной:

  • преждевременного закрытия зон роста;
  • формированием искривления или укорочения конечности в процессе роста ребенка.

Но при этом важным фактором считается то, что костная ткань у детей срастается намного быстрее, чем у взрослых.

Это обусловлено хорошим кровоснабжением надкостницы и более быстрым процессом формирования костной мозоли.

Кроме травм, которые вызывают травматические переломы – открытые (с нарушением целостности кожи) и закрытые.

У детей могут возникать еще и патологические переломы - нарушение целостности и структуры кости с изменением непрерывности и прочности костной ткани в результате различных болезненных процессов. Это повреждение малыш может получить в результате даже небольшого усилия (удара или легкого толчка).

Поэтому эти переломы еще называют спонтанными.

Они возникают в связи с дефицитом кальция, врожденными и приобретенными нарушениями обмена минералов, которые приводят к возникновению остеопороза и повышенной ломкости костей.

Признаки патологии в детском возрасте

Отличительной чертой детей раннего и дошкольного возраста является:

  • практически полное отсутствие страха и очень низкая скорость реакции;
  • невозможность оценить риск поступков;
  • плохая координация движений.

Поэтому малыши часто получают травмы и иногда сочетанные и даже тяжелые переломы.

-3

Симптомами перелома руки являться:

  • сильный болевой синдром в поверженной руке;
  • в месте травмы появляются и нарастают отек и припухлость;
  • отмечается деформация руки (не всегда);
  • крепитация – специфический хруст, который возникает при трении отломков друг о друга.

Дополнительными признаками являются:

  • невозможность движения в поврежденной конечности;
  • усиление боли при изменении положения руки;
  • появление через несколько минут гематом на коже  месте травмы.

Поэтому при минимальном подозрении на перелом руки у ребенка необходима срочная консультация специалиста – абсолютная достоверность наличия перелома определяется только при рентгеновском исследовании.

Первая помощь и дальнейшее наблюдение – что нужно знать

Необходимо знать, что первой помощью на доврачебном этапе и для профилактики осложнений являются:
Необходимо знать, что первой помощью на доврачебном этапе и для профилактики осложнений являются:
  • фиксация и обездвиживание поврежденной конечности;
  • адекватное обезболивание (болеутоляющие средства в детских формах с обязательным выполнением инструкции и разовой дозы).

Зафиксировать руку нужно не только в месте травмы, но и в соседних суставах.

Это нужно проводить путем наложения шины из подручных материалов:

  • линейка;
  • палка;
  • прямая ветка.

Это позволит уменьшить риск дальнейшего смещения костей и снизить болевые ощущения.

Даже если рука выглядит неестественно, нельзя ее ровнять.

Если костные отломки деформированы и находятся под углом – нужно поставить под место искривления валик из мягкой ткани и прибинтовать шину на всем ее протяжении. При этом все действия должны быть очень аккуратны – существует возможность, что каждое движение причиняет малышу сильную боль.

При открытом переломе руки достаточно часто наблюдается кровотечение. В данной ситуации необходимо остановить кровь и наложить стерильную повязку.

Родителям необходимо знать, что только своевременное обращение за медицинской помощью и комплексное обследование ребенка позволяет избежать тяжелых осложнений в будущем.
-5

Нужно правильно провести лечение перелома и добиться скорейшего выздоровления ребенка.

При этом нужно знать, что в детской травматологии нет определенного времени полного восстановления ребенка после перелома – это индивидуально.

На сроки сращения лучевой, локтевой и плечевой кости влияю следующие факторы:

  • возраст ребенка;
  • характер и локализация перелома.

В среднем на реабилитацию после перелома руки уходит максимум два месяца, но в сложных случаях со смещением костных отломков может занять и больше времени.

При нормальном самочувствии пациента и срастании костей верхних конечностей детского травматолога нужно посещать раз в неделю.

После снятия гипса возможно назначение реабилитационных мероприятий:

  • массаж;
  • физиотерапевтические процедуры;
  • ЛФК.

Они назначаются для улучшения циркуляции крови, оживления мышц и разработке суставов.

Нужно обязательно следить за питанием ребенка – включить в рацион ребенка минералы и витамины, овощи, фрукты и кисломолочные продукты.

При патологических переломах лечение длительное, проводиться в специализированном стационаре под постоянным наблюдением специалистов и уточнением причины возникновения остеопороза и других нарушения обмена веществ и минералов, гормональных изменений или наличия более серьезных заболеваний (наследственных заболеваний и новообразований).

врач-педиатр Сазонова Ольга Ивановна