Добавить в корзинуПозвонить
Найти в Дзене
Юлия Селютина

Как лечить кариес у малышей?

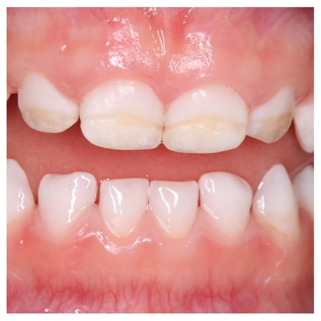
Не устану рассказывать вам о кариесе раннего детского возраста. Самый агрессивный и быстросъедающий зубы ребенка! Мальчику 3 года. В первый раз он пришел к нам в 1 год. Классический пример кариеса раннего детского возраста на 4х передних зубках. До этого они с мамой обошли множество клиник в Москве и все специалисты твердили, что ничего не поможет, нужно пломбировать и только в условиях глубокой седации, т.к. ребенок ну совсем малыш. К сожалению, таких случаев много, когда врачи не берутся за маленьких пациентов и не пытаются найти альтернативу или иной подход. У этого мальчика зубки прорезались нормальными, а потом появились пятна, несчищаемый налет и все стало разрушаться. Но вот уже третий год как мы встречаемся с ним, и результат, как говорится, налицо! ✔В кабинете - каждые три месяца делаем глубокое фторирование; ✔Дома - маниакальный уход и качественная гигиена. Сейчас кариес настолько стабилизировался, что когда зондируешь его специальным инструментом, там все ткани твердые, к

Не устану рассказывать вам о кариесе раннего детского возраста.

Самый агрессивный и быстросъедающий зубы ребенка!

Мальчику 3 года.

В первый раз он пришел к нам в 1 год.

Классический пример кариеса раннего детского возраста на 4х передних зубках.

До этого они с мамой обошли множество клиник в Москве и все специалисты твердили, что ничего не поможет, нужно пломбировать и только в условиях глубокой седации, т.к. ребенок ну совсем малыш.

К сожалению, таких случаев много, когда врачи не берутся за маленьких пациентов и не пытаются найти альтернативу или иной подход.

У этого мальчика зубки прорезались нормальными, а потом появились пятна, несчищаемый налет и все стало разрушаться.

Но вот уже третий год как мы встречаемся с ним, и результат, как говорится, налицо!

✔В кабинете - каждые три месяца делаем глубокое фторирование;

✔Дома - маниакальный уход и качественная гигиена.

Сейчас кариес настолько стабилизировался, что когда зондируешь его специальным инструментом, там все ткани твердые, как камень.

Кариес не прогрессирует и речи о спасении зуба пломбой никакой нет.

В силу возраста, когда они в первый раз пришли на прием, малыш сильно плакал.

Но родители трезво оценили последствия и решили лечить.

В кресле мальчик лежал на маме, были крики, но вместе с тем и похвала, и подарки после приема.

Но после лечения успокаивался, получал свой презент и говорил (точнее показывал жестами), что придет снова.

Сейчас уже абсолютно спокойно приходит с улыбкой, разговаривает, дает провести все процедуры, потому что элементарно подрос и зубы мы ему сохранили.

В вопросе эстетики родители пока не определились - пломбу можно поставить, просто чтобы скорректировать внешний вид зубов.

А можно и не ставить и "дотянуть" до момента смены.

Помните, что вы - родители, и только вам решать, какой способ лечения выбрать.

А врач всегда должен рассказать все варианты и последствия.

ИМЕЮТСЯ ПРОТИВОПОКАЗАНИЯ. НЕОБХОДИМА КОНСУЛЬТАЦИЯ СПЕЦИАЛИСТА.