Найти в Дзене

Все о ретейнерах: что это и для чего?

Лечение у ортодонта не заканчивается в тот день, когда вам сняли брекеты. Ретенционный период – закрепление – не менее важен, ведь именно от него зависит, как сохранится результат. В последние месяцы лечения зубы уже, как правило, не двигаются, а только находятся в зафиксированном с помощью дуги положении. В это время костная ткань вокруг корней укрепляется, чем обеспечивает сохранение результата. Почему же тогда после снятия нужно продолжать удерживать зубы в правильном положении? Причина первая: привычка. Много лет корни зубов находились в неправильном положении. Человек мог обратиться к ортодонту в 25 лет или даже в 35 (сейчас это не редкость), значит, его постоянные зубы не одно десятилетие были неровными. А лечение длится всего 12–18 месяцев. За этот срок костная ткань не может стать достаточно плотной, чтобы навсегда сохранить на новом месте корни зубов. Если пропустить ретенционный период, зубы вернутся в неправильное положение за короткий срок. Причина вторая: факторы, из-за ко
Оглавление

Лечение у ортодонта не заканчивается в тот день, когда вам сняли брекеты. Ретенционный период – закрепление – не менее важен, ведь именно от него зависит, как сохранится результат.

В последние месяцы лечения зубы уже, как правило, не двигаются, а только находятся в зафиксированном с помощью дуги положении. В это время костная ткань вокруг корней укрепляется, чем обеспечивает сохранение результата. Почему же тогда после снятия нужно продолжать удерживать зубы в правильном положении?

Ретенционный период нужен, чтобы сохранить результат лечения
Ретенционный период нужен, чтобы сохранить результат лечения

Причина первая: привычка. Много лет корни зубов находились в неправильном положении. Человек мог обратиться к ортодонту в 25 лет или даже в 35 (сейчас это не редкость), значит, его постоянные зубы не одно десятилетие были неровными. А лечение длится всего 12–18 месяцев. За этот срок костная ткань не может стать достаточно плотной, чтобы навсегда сохранить на новом месте корни зубов.

Если пропустить ретенционный период, зубы вернутся в неправильное положение за короткий срок.

Причина вторая: факторы, из-за которых зубы изначально стали неровными. Если у пациента так и осталась неправильная осанка, то и после лечения привычное положение (например, сутулость) будет заставлять зубы «тянуться» в прежнее положение. Поэтому комплексный подход (лечебная физкультура, помощь остеопата) во время лечения очень эффективен.

Ретенционный этап начинается в день снятия брекетов. Ретейнер можно установить до снятия брекет-системы, чтобы исключить даже микроскопическое сдвигание зубов. Сразу же после снятия изготавливаются прозрачные капы (по слепкам зубов). Использовать и то и другое одновременно обязательно.

Зачем нужны ретейнеры, если есть капы?

Капы изготавливаются на обе челюсти и надеваются в основном на ночь. Ретейнер же устанавливается только на нижние зубы. Часто – только на шесть (1-й, 2-й, 3-й слева и справа), но в некоторых случаях и на другие, это определяется в процессе лечения.

Сочетание двух способов удерживания зубов очень важно в ретенционном периоде. Иначе весь результат работы врача и пациента может быть испорчен.

Как их устанавливают и носят?

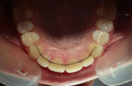
Ретейнер – тонкая проволока, похожая на дугу брекетов. Помещается с обратной стороны зубов и закрепляется на каждому зубе светоотверждаемым клеем.

Так крепится несъемный ретейнер
Так крепится несъемный ретейнер

Место соединения гладкое, никак не ощущается, не мешает дикции, приему пищи, не наносит вред эмали. В отличие от брекетов, привыкания к ретейнеру обычно нет. Частички пищи могут попадать между зубами и ретейнером, но не налипают так, как на брекеты. В целом чистка зубов не становится сложнее. Также ретейнер невозможно оторвать: в отличие от брекета, его нельзя зацепить, если откусывать яблоки, жевать жвачку. Все пищевые ограничения, связанные с брекетами (орехи, жевательные конфеты, твердые фрукты), можно не соблюдать.

Единственное ограничение – применение зубной нити. Ее невозможно активно использовать на тех зубах, где установлен ретейнер, так как нить не пройдет в межзубное пространство и завести ее, как под дугу брекета, не получится. В этом случае можно порекомендовать чистку в домашних условиях либо ирригатором, либо звуковой электрической щеткой: струя воды или воздействие звука буквально выбивают все загрязнения из труднодоступных мест, при этом не травмируя десны.

Звуковая электрическая зубная щетка
Звуковая электрическая зубная щетка
Для тех, кто носит несъемные ортодонтические конструкции, рекомендуют звуковые, а не ультразвуковые щетки. Последние своим воздействием могут сделать крепление менее прочным.

Установка несъемного ретейнера – простая процедура, которая поможет сохранить достигнутый результат. О том, сколько часов в сутки и как долго вам нужно носить капы, подробно расскажет врач.

Зубы требуют внимания и ухода – но если вы уделяете им время, то сохраните их здоровыми на долгие годы. Если вам необходима помощь врача-ортодонта, запишитесь к нам на прием, позвонив по телефону +7 (812) 389-61-80. С нами начнется ваш путь к здоровью!

Понравилась статья? Делитесь с друзьями, ставьте лайк и подписывайтесь на канал, чтобы не пропустить новые статьи!