Добавить в корзинуПозвонить
Найти в Дзене
Поиск

Девушка 17 лет прожила с “близнецом” в животе

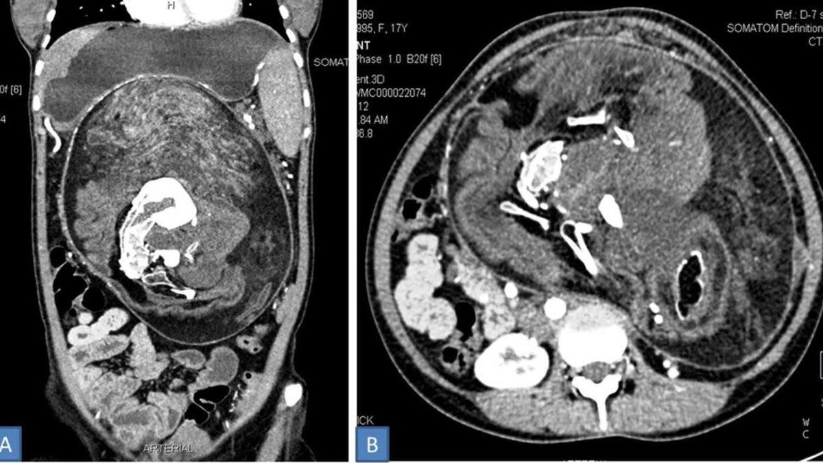
Удивительный медицинский случай произошел в Индии. Почти два десятилетия молодая женщина жила с «близнецом» в животе, не подозревая об этом. Родители заподозрили неладное, когда девочки было 12 лет. У нее начала прощупываться в районе живота твёрдая бесформенная шишка. С течением времени она постепенно увеличивалась в размерах, начиная периодически причинять боль своей хозяйке. К 17-ти годам, когда девушка решилась обратиться к врачам, она не могла уже нормально принимать пищу. Фото Kumar, et al (BMJ Case Reports). Компьютерная томография утробного плода в плоде. Сначала медики заподозрили у пациентки опухоль, но углубленное исследование показало наличие отложений кальция в форме позвонков, рёбер и длинных костей. Эта аномалия известна в медицине как утробный плод в плоде. Считается, что она возникает на раннем этапе беременности близнецами. В это время оба плода имеют общую плаценту, и один из них "оборачивает" собой другого. Обычно такая ситуация заканчивается выкидышем. После

Удивительный медицинский случай произошел в Индии. Почти два десятилетия молодая женщина жила с «близнецом» в животе, не подозревая об этом. Родители заподозрили неладное, когда девочки было 12 лет. У нее начала прощупываться в районе живота твёрдая бесформенная шишка. С течением времени она постепенно увеличивалась в размерах, начиная периодически причинять боль своей хозяйке. К 17-ти годам, когда девушка решилась обратиться к врачам, она не могла уже нормально принимать пищу.

-2

Фото Kumar, et al (BMJ Case Reports).

Компьютерная томография утробного плода в плоде.

Сначала медики заподозрили у пациентки опухоль, но углубленное исследование показало наличие отложений кальция в форме позвонков, рёбер и длинных костей. Эта аномалия известна в медицине как утробный плод в плоде. Считается, что она возникает на раннем этапе беременности близнецами. В это время оба плода имеют общую плаценту, и один из них "оборачивает" собой другого. Обычно такая ситуация заканчивается выкидышем.

После того, как девушку прооперировали, она быстро пошла на поправку и сейчас чувствует себя хорошо. Но медики все равно регулярно осматривают ее, чтобы избежать возникновения рака.

Всего в мире зарегистрировано семь таких случаев, когда взрослые люди долгое время прожили с эмбриональным близнецом. Причем все они были мужчинами.

А вот британскому мальчику повезло меньше: врачи встали в тупик перед его загадочной болезнью. Родители потратили 35 тысяч фунтов на диагностику, но врачи так и не смогли понять, почему у него сначала началось жжение в груди, а потом стали отниматься ноги. Вот уж действительно - задачка для доктора Хауса!