Добавить в корзинуПозвонить
Найти в Дзене
Полезно знать

Организм сам предупредит Вас об Инсульте

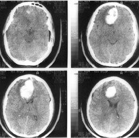
Инсу́льт (лат. insultus «наскок, нападение, удар»), устар. апопле́кси́я (др.-греч. ἀποπληξία«паралич») — острое нарушение кровоснабжения головного мозга (острое нарушение мозгового кровообращения, ОНМК), характеризующееся внезапным (в течение нескольких минут, часов) появлением очаговой и/или общемозговой неврологической симптоматики, которая сохраняется более 24 часов или приводит к смерти больного в более короткий промежуток времени вследствие цереброваскулярной патологии. источник wikipedia.org Эта болезнь совершенно безразлична к возрасту, ею подвержены как взрослые люди, так и молодежь. Но важно помнить, что своевременное лечение спасет человеку жизнь. Ваш организм предупредит вас о имеющихся проблемах, которые ведут к инсульту, примерно за месяц. Не прозевайте эти симптомы! 1. Высокое давление Высокое давление это всегда плохо. Этот симптом наносит сильный удар по нервным окончаниям и сосудам. Но что более страшнее - формирование тромбов в кровотоке. Если эти тромбы доберутс
Инсу́льт (лат. insultus «наскок, нападение, удар»), устар. апопле́кси́я (др.-греч. ἀποπληξία«паралич») — острое нарушение кровоснабжения головного мозга (острое нарушение мозгового кровообращения, ОНМК), характеризующееся внезапным (в течение нескольких минут, часов) появлением очаговой и/или общемозговой неврологической симптоматики, которая сохраняется более 24 часов или приводит к смерти больного в более короткий промежуток времени вследствие цереброваскулярной патологии.
источник wikipedia.org

Эта болезнь совершенно безразлична к возрасту, ею подвержены как взрослые люди, так и молодежь. Но важно помнить, что своевременное лечение спасет человеку жизнь.

Ваш организм предупредит вас о имеющихся проблемах, которые ведут к инсульту, примерно за месяц. Не прозевайте эти симптомы!

1. Высокое давление

Высокое давление это всегда плохо. Этот симптом наносит сильный удар по нервным окончаниям и сосудам. Но что более страшнее - формирование тромбов в кровотоке. Если эти тромбы доберутся к головному мозгу, то может произойти микроинсульт, который зачастую служит некоторым сигналом о приближении самого инсульта.

2. Проблемы со зрением

  • резкое ухудшение зрения на оба глаза, либо на один;
  • двоение в глазах;
  • помутнение в глаза

Если вы заметили, что с вашим зрением резко что-то случилось, немедленно обратитесь к врачу.

Большинство пациентов указывали на резкие проблемы со зрением до того как случился инсульт. Даже, если это не инсульт, то резкое ухудшение зрения не может свидетельствовать о чем-то хорошем.

3. Онемение с одной стороны тела

Онемение или паралич одной руки, ноги или части лица является общеизвестным признаком надвигающегося инсульта. Такие признак сложно не заметить и стоит немедленно обратиться к врачу.

4. Головокружение или усталость без причины

Научные исследования, проведенные в коледже штата Мичиган показали, что необычная усталость, дезориентация или головокружение может предупреждать о надвигающемся инсульте.

Будьте здоровы и берегите себя!