Найти в Дзене
21 век

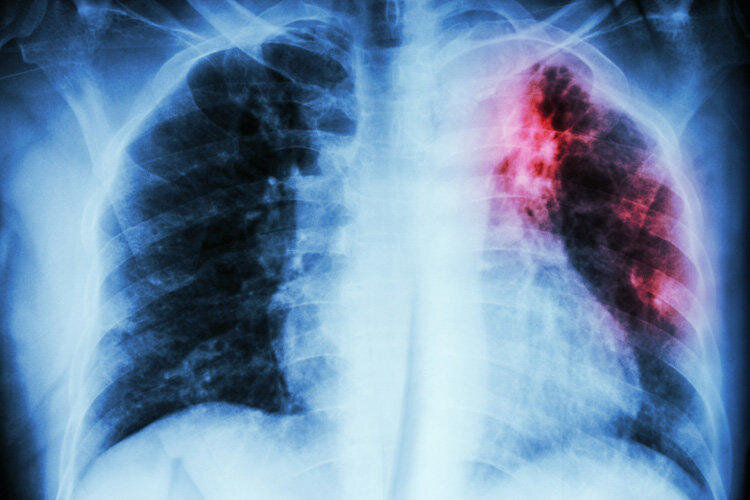
8 общеизвестных, но тем не менее забытых фактов о туберкулёзе! ПОЛЕЗНО ЗНАТЬ КАЖДОМУ

Доброго времени суток уважаемые читатели, сегодня хотел бы остановиться на таком заболевании как туберкулёз, а точнее на фактах, которые должны быть известны всем, но ввиду каких-то причин это не так. 1. Туберкулёз - заболевание бактериальное, т.е это не вирус, а бактерия ( бацилла Коха). 2. Туберкулёз поражает не только лёгкие, но и другие внутренние органы и даже кости! 3. Прививка БЦЖ ставится для формирования иммунитета к туберкулёзу, ее не стоит бояться. 4. Такая полюбившаяся, проба Манту - не является прививкой. Это диагностическая проба, которая показывает наличие антител к бактериям туберкулёза в Вашем организме. 5. Туберкулёз не чума, не стоит воспринимать его, как безумно заразное заболевание! Если у Вас нормальный иммунитет, то Вам не стоит так его опасаться! 6. Тем не менее, бацилла Коха очень распространена. 7. Если так вышло, что Вы заразились( имели слабый иммунитет, но потом он восстановился), Ваш организм способен самостоятельно себя вылечить. Для этого Ваш орга

Доброго времени суток уважаемые читатели, сегодня хотел бы остановиться на таком заболевании как туберкулёз, а точнее на фактах, которые должны быть известны всем, но ввиду каких-то причин это не так.

1. Туберкулёз - заболевание бактериальное, т.е это не вирус, а бактерия ( бацилла Коха).

2. Туберкулёз поражает не только лёгкие, но и другие внутренние органы и даже кости!

3. Прививка БЦЖ ставится для формирования иммунитета к туберкулёзу, ее не стоит бояться.

4. Такая полюбившаяся, проба Манту - не является прививкой. Это диагностическая проба, которая показывает наличие антител к бактериям туберкулёза в Вашем организме.

5. Туберкулёз не чума, не стоит воспринимать его, как безумно заразное заболевание! Если у Вас нормальный иммунитет, то Вам не стоит так его опасаться!

6. Тем не менее, бацилла Коха очень распространена.

7. Если так вышло, что Вы заразились( имели слабый иммунитет, но потом он восстановился), Ваш организм способен самостоятельно себя вылечить. Для этого Ваш организм перераспределяет кальций и заключает бактерии в кальциевую оболочку.

8. Рентген лёгких и флюорография не гарантирует Вам абсолютную диагностику туберкулёза.

Надеюсь Вам было интересно прочесть эти факты о всемирно известном заболевании. Переходите на канал, там много полезной информации о том как распознать различные заболевания, а также самопомощи. Подписывайтесь!

Отличного Вам дня уважаемые читатели!